购物车
  • TargetMol
    您的购物车当前为空

Anti-Acetyl-Histone H4 (Lys12) Antibody (8Z904)

Synonyms: Histone H4K12-acetylated, HIST1H4J, HIST1H4I, HIST1H4H, HIST1H4F, HIST1H4E, HIST1H4D, HIST1H4C, HIST1H4B H4/I, HIST1H4A, HIST1, H4K12ac, H4FN, H4FM, H4FK, H4FJ, H4FI, H4FH, H4FG, H4FE, H4FD, H4FC, H4FB, H4FA, H4F2, H4/N, H4/M, H4/K, H4/J, H4/H, H4/G, H4/E, H4/D, H4/C, H4/B, H4/A, H4, FO108, Ac-Histone H4 (Lys12), Ac-Histone H4 (K12), Ac-H4K12, Acetyl-Histone H4 (K12)
货号 TMAB-00036 一键复制产品信息
Rating icon 还可以
202603开学季活动

Anti-Acetyl-Histone H4 (Lys12) Antibody (8Z904) 是一种 Mouse 抗体,靶向 Acetyl-Histone H4 (Lys12)。Anti-Acetyl-Histone H4 (Lys12) Antibody (8Z904) 可用于 ICC/IF, IF, IHC-Fr, IHC-P, WB。

Anti-Acetyl-Histone H4 (Lys12) Antibody (8Z904)

一键复制产品信息
Rating icon 还可以
202603开学季活动
货号 TMAB-00036

别名 Histone H4K12-acetylated, HIST1H4J, HIST1H4I, HIST1H4H, HIST1H4F, HIST1H4E, HIST1H4D, HIST1H4C, HIST1H4B H4/I, HIST1H4A, HIST1, H4K12ac, H4FN, H4FM, H4FK, H4FJ, H4FI, H4FH, H4FG, H4FE, H4FD, H4FC, H4FB, H4FA, H4F2, H4/N, H4/M, H4/K, H4/J, H4/H, H4/G, H4/E, H4/D, H4/C, H4/B, H4/A, H4, FO108, Ac-Histone H4 (Lys12), Ac-Histone H4 (K12), Ac-H4K12, Acetyl-Histone H4 (K12)

Anti-Acetyl-Histone H4 (Lys12) Antibody (8Z904) 是一种 Mouse 抗体,靶向 Acetyl-Histone H4 (Lys12)。Anti-Acetyl-Histone H4 (Lys12) Antibody (8Z904) 可用于 ICC/IF, IF, IHC-Fr, IHC-P, WB。

Anti-Acetyl-Histone H4 (Lys12) Antibody (8Z904)
规格价格库存数量
50 μL
¥ 1,570
5日内发货
100 μL
¥ 2,495
5日内发货
库存状态实时更新,以官网显示为准,现货产品可直接加购物车下单
大包装 & 定制
加入购物车

TargetMol的所有产品仅用作科学研究或药证申报,不能被用于人体,我们不向个人提供产品和服务。请您遵守承诺用途,不得违反法律法规规定用于任何其他用途。

实验操作小课堂
常见问题解答
查看更多

资源下载:产品操作手册

产品介绍


生物活性
产品描述
Anti-Acetyl-Histone H4 (Lys12) Antibody (8Z904) is a Mouse antibody targeting Acetyl-Histone H4 (Lys12). Anti-Acetyl-Histone H4 (Lys12) Antibody (8Z904) can be used in ICC/IF, IF, IHC-Fr, IHC-P, WB.
别名
Histone H4K12-acetylated, HIST1H4J, HIST1H4I, HIST1H4H, HIST1H4F, HIST1H4E, HIST1H4D, HIST1H4C, HIST1H4B H4/I, HIST1H4A, HIST1, H4K12ac, H4FN, H4FM, H4FK, H4FJ, H4FI, H4FH, H4FG, H4FE, H4FD, H4FC, H4FB, H4FA, H4F2, H4/N, H4/M, H4/K, H4/J, H4/H, H4/G, H4/E, H4/D, H4/C, H4/B, H4/A, H4, FO108, Ac-Histone H4 (Lys12), Ac-Histone H4 (K12), Ac-H4K12, Acetyl-Histone H4 (K12)
Ig Type
IgG
克隆号
8Z904
反应种属
Human (predicted:Mouse,Rat)
验证活性
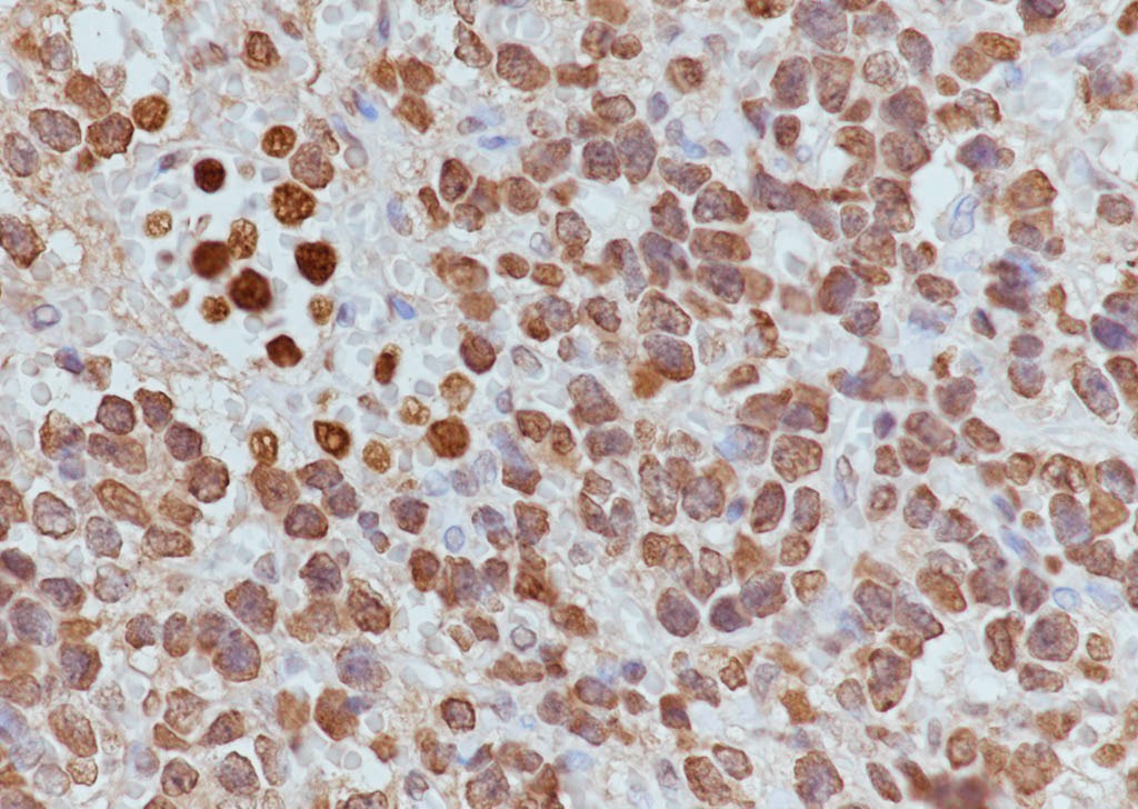
1. Tissue: Human neuroblastoma
Section type: Formalin fixed & Paraffin-embedded section
Retrieval method: High temperature and high pressure
Retrieval buffer: Tris/EDTA buffer, pH9.0 Primary dilution: 1:200
Primary incubation condition: 1 hour at room temperature
Secondary: SP Kit (Mouse)
Counter stain: Hematoxylin (Blue)
Comment: Color brown is the positive signal for TMAB-00036
2. Cell line: HeLa
Fixative: 4% Paraformaldehyde
Permeabilization: 0.1% TritonX-100
Primary dilution: 1:100
Primary incubation condition: 4°C overnight
Secondary: Goat Anti-Mouse IgG
Nuclear counter stain: DAPI (Blue)
Counter stain: Tubulin (Red)
Comment: Color green is the positive signal for TMAB-00036
3. Blocking buffer: 5% NFDM/TBST
Primary dilution: 1:2000
Primary incubation condition: 2 hours at room temperature
Secondary: Goat Anti-Mouse IgG H&L (HRP)
Lysate: (-) HeLa, (+) HeLa+Sodium butyrate (30mM, 4hr)
Protein loading quantity: 20 μg
Exposure time: 60 s
Predicted MW: 11 kDa
Observed MW: 11 kDa
verifiedActivityverifiedActivityverifiedActivity
应用ICC/IFIFIHC-FrIHC-PWB
推荐剂量
ICC/IF=1:50-100; IF=1:100-500; IHC-Fr=1:100-500; IHC-P=1:100-500; WB=1:500-2000
抗体种类
Monoclonal
宿主来源Mouse
亚细胞定位Nucleus. Chromosome.
构建方式Hybridoma Monoclonal Antibody
纯化方式Antigen Affinity purification
性状Liquid
缓冲液0.01M TBS (pH7.4) with 1% BSA, 0.02% Proclin300 and 50% Glycerol.
浓度1 mg/mL
研究背景Histones are basic nuclear proteins that are responsible for the nucleosome structure of the chromosomal fiber in eukaryotes. Nucleosomes consist of approximately 146 bp of DNA wrapped around a histone octamer composed of pairs of each of the four core histones (H2A, H2B, H3, and H4). The chromatin fiber is further compacted through the interaction of a linker histone, H1, with the DNA between the nucleosomes to form higher order chromatin structures. This gene is intronless and encodes a member of the histone H4 family. Transcripts from this gene lack polyA tails; instead, they contain a palindromic termination element. [provided by RefSeq, Jul 2008]
抗原信息
基因名称
H4C1
蛋白名称
Histone H4
研究领域
Acetylated,ChIP antibodies
功能
Core component of nucleosome. Nucleosomes wrap and compact DNA into chromatin, limiting DNA accessibility to the cellular machineries which require DNA as a template. Histones thereby play a central role in transcription regulation, DNA repair, DNA replication and chromosomal stability. DNA accessibility is regulated via a complex set of post-translational modifications of histones, also called histone code, and nucleosome remodeling.
储存&溶解度
储存方式Store at -20°C or -80°C for 12 months. Avoid repeated freeze-thaw cycles.
运输方式Shipping with blue ice.

计算器

  • 稀释 计算器
  • 配液 计算器
Related Tags: buy Anti-Acetyl-Histone H4 (Lys12) Antibody (8Z904) | purchase Anti-Acetyl-Histone H4 (Lys12) Antibody (8Z904) | Anti-Acetyl-Histone H4 (Lys12) Antibody (8Z904) cost | order Anti-Acetyl-Histone H4 (Lys12) Antibody (8Z904)