购物车
  • 全部删除
  • TargetMol
    您的购物车当前为空

Anti-ABCC1 Antibody (2I585)

Rating icon 还可以
产品编号 TMAC-02647
别名 Multidrug resistance-associated protein 1, MRP1, MRP, Leukotriene C(4) transporter (LTC4 transporter), Glutathione-S-conjugate-translocating ATPase ABCC1, ATP-binding cassette sub-family C member 1, ABCC1

Anti-ABCC1 Antibody (2I585) 是一种 Rabbit 抗体,靶向 ABCC1。Anti-ABCC1 Antibody (2I585) 可用于 FCM,IHC,WB。

Anti-ABCC1 Antibody (2I585)

Anti-ABCC1 Antibody (2I585)

一键复制产品信息
Rating icon 还可以
产品编号 TMAC-02647 别名 Multidrug resistance-associated protein 1, MRP1, MRP, Leukotriene C(4) transporter (LTC4 transporter), Glutathione-S-conjugate-translocating ATPase ABCC1, ATP-binding cassette sub-family C member 1, ABCC1

Anti-ABCC1 Antibody (2I585) 是一种 Rabbit 抗体,靶向 ABCC1。Anti-ABCC1 Antibody (2I585) 可用于 FCM,IHC,WB。

规格价格库存数量
50 μL
¥ 1,485
5日内发货
100 μL
¥ 2,480
5日内发货
大包装 & 定制
加入购物车
TargetMol 的所有产品仅用作科学研究或药证申报,不能被用于人体,我们不向个人提供产品和服务。请您遵守承诺用途,不得违反法律法规规定用于任何其他用途。
实验操作小课堂
常见问题解答
查看更多
联系我们获取更多批次信息
资源下载

产品介绍

生物活性
产品描述
Anti-ABCC1 Antibody (2I585) is a Rabbit antibody targeting ABCC1. Anti-ABCC1 Antibody (2I585) can be used in FCM,IHC,WB.
别名Multidrug resistance-associated protein 1, MRP1, MRP, Leukotriene C(4) transporter (LTC4 transporter), Glutathione-S-conjugate-translocating ATPase ABCC1, ATP-binding cassette sub-family C member 1, ABCC1
Ig Type
IgG
克隆号
2I585
交叉反应
Human
验证活性
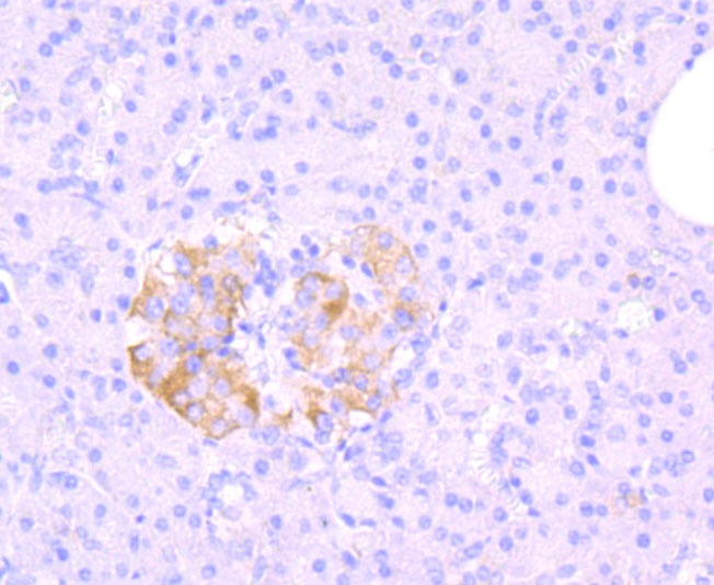
1. Immunohistochemical analysis of paraffin-embedded human pancreas tissue using anti-MRP1 antibody. Counter stained with hematoxylin.
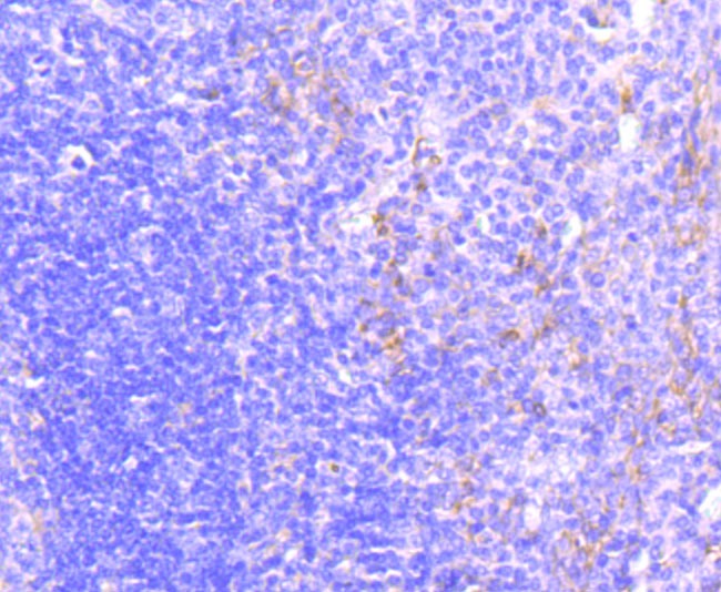
2. Immunohistochemical analysis of paraffin-embedded human tonsil tissue using anti-MRP1 antibody. Counter stained with hematoxylin.
3. Flow cytometric analysis of Hela cells with MRP1 antibody at 1/100 dilution (red) compared with an unlabelled control (cells without incubation with primary antibody; black).
verifiedActivityverifiedActivityverifiedActivity
应用FCMIHCWB
推荐剂量
WB: 1:500; IHC: 1:50-200
抗体种类
Monoclonal
宿主来源Rabbit
构建方式Recombinant Antibody
纯化方式ProA affinity purified
性状Liquid
缓冲液1*TBS (pH7.4), 1%BSA, 40%Glycerol. Preservative: 0.05% Sodium Azide.
研究背景The two members of the large family of ABC transporters known to confer multidrug resistance in human cancer cells are the Mdr-1 P-glycoprotein and the multidrug-resistance protein MRP1. MRP1 is an integral membrane protein that contains an Mdr-like core, an N-terminal membrane-bound region and a cytoplasmic linker, and it is expressed in various cerebral cells, as well as in lung, testis and peripheral blood. The MRP gene family also includes MRP2, which is alternatively designated cMOAT (for canalicular multispecific organic anion transporter) and MRP3, which are both conjugate export pumps expressed predominantly in hepatocytes. MRP2 localizes exclusively to the apical membrane and is constitutively expressed at a high level in normal liver cells. Conversely, MRP3 localizes to the basolateral membrane where it also mediates the transport of the organic anion S-(2,4-dinitrophenyl-) glutathione toward the basolateral side of the membrane. MRP3 is normally expressed at comparatively lower levels than MRP2 and increases only when secretion across the apical membrane by MRP2 is impaired. MRP6 protein is highly expressed in liver and kidney, whereas MRP4 and MRP5 are detected in various tissues yet at much lower levels of expression.
偶联与修饰
偶联
Unconjugated
抗原信息
免疫原
Recombinant Protein
Uniprot ID
化学信息
分子量Theoretical: 171 kDa.
存储&运输
储存方式Store at -20°C or -80°C for 12 months. Avoid repeated freeze-thaw cycles.
运输方式Shipping with blue ice.

计算器

  • 稀释 计算器

关键词

评论列表

4个月前
5.0
Rating icon 很棒

评论内容

Related Tags: buy Anti-ABCC1 Antibody (2I585) | purchase Anti-ABCC1 Antibody (2I585) | Anti-ABCC1 Antibody (2I585) cost | order Anti-ABCC1 Antibody (2I585) | Anti-ABCC1 Antibody (2I585) molecular weight