购物车
  • TargetMol
    您的购物车当前为空

Anti-53BP1 Antibody (3K586)

Synonyms: Tumor suppressor p53 binding protein 1, Tumor protein p53 binding protein 1, tumor protein 53-binding protein, 1, Tumor protein 53 binding protein 1, TP53BP1, TP53B, TP53 BP1, p53 BP1, p53 binding protein 1, p202, MGC138366, FLJ41424, 53 BP1
货号 TMAC-00030Cas号 一键复制产品信息纯度:
Rating icon 还可以

Anti-53BP1 Antibody (3K586) 是一种 Rabbit 抗体,靶向 53BP1。Anti-53BP1 Antibody (3K586) 可用于 FCM,ICC/IF,IHC,WB。

Anti-53BP1 Antibody (3K586)

一键复制产品信息
Rating icon 还可以
货号 TMAC-00030

别名 Tumor suppressor p53 binding protein 1, Tumor protein p53 binding protein 1, tumor protein 53-binding protein, 1, Tumor protein 53 binding protein 1, TP53BP1, TP53B, TP53 BP1, p53 BP1, p53 binding protein 1, p202, MGC138366, FLJ41424, 53 BP1

Anti-53BP1 Antibody (3K586) 是一种 Rabbit 抗体,靶向 53BP1。Anti-53BP1 Antibody (3K586) 可用于 FCM,ICC/IF,IHC,WB。

Anti-53BP1 Antibody (3K586)
规格价格库存数量
50 μL
¥ 1,495
5日内发货
100 μL
¥ 2,495
5日内发货
库存状态实时更新,以官网显示为准,现货产品可直接加购物车下单
大包装 & 定制
加入购物车

TargetMol的所有产品仅用作科学研究或药证申报,不能被用于人体,我们不向个人提供产品和服务。请您遵守承诺用途,不得违反法律法规规定用于任何其他用途。

实验操作小课堂
常见问题解答
查看更多

资源下载:产品操作手册

产品介绍


生物活性
产品描述
Anti-53BP1 Antibody (3K586) is a Rabbit antibody targeting 53BP1. Anti-53BP1 Antibody (3K586) can be used in FCM,ICC/IF,IHC,WB.
别名
Tumor suppressor p53 binding protein 1, Tumor protein p53 binding protein 1, tumor protein 53-binding protein, 1, Tumor protein 53 binding protein 1, TP53BP1, TP53B, TP53 BP1, p53 BP1, p53 binding protein 1, p202, MGC138366, FLJ41424, 53 BP1
Ig Type
IgG
克隆号
3K586
反应种属
Human,Mouse,Rat
验证活性
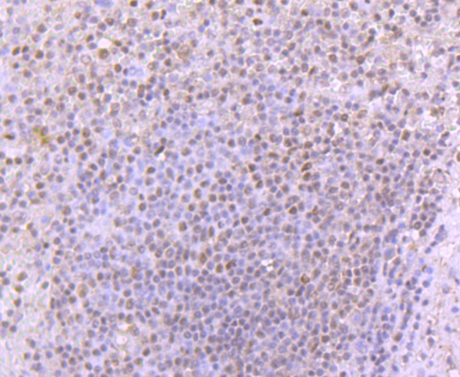
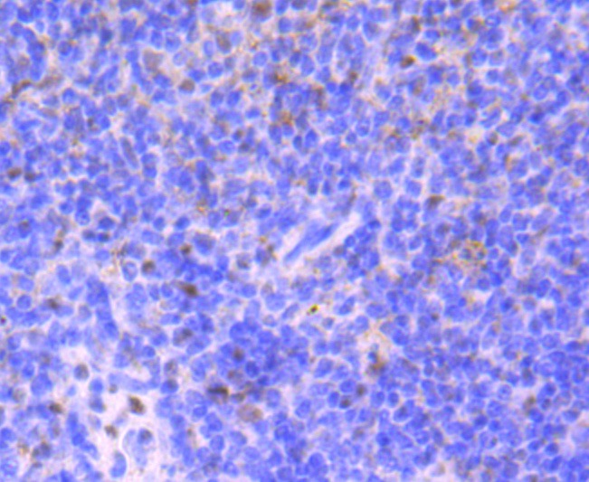
1. Immunohistochemical analysis of paraffin-embedded human spleen tissue using anti-53BP1 antibody. Counter stained with hematoxylin.
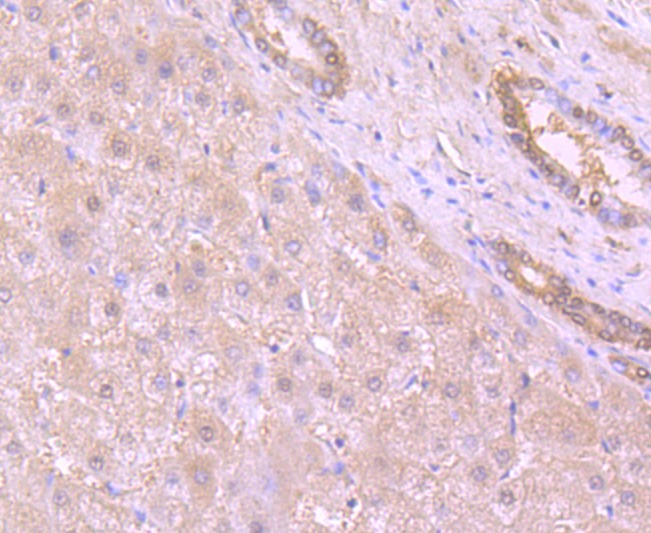
2. Immunohistochemical analysis of paraffin-embedded human liver tissue using anti-53BP1 antibody. Counter stained with hematoxylin.
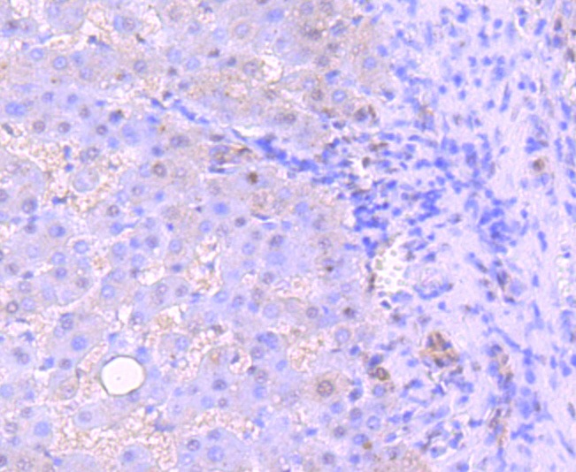
3. Immunohistochemical analysis of paraffin-embedded human liver cancer tissue using anti-53BP1 antibody. Counter stained with hematoxylin.
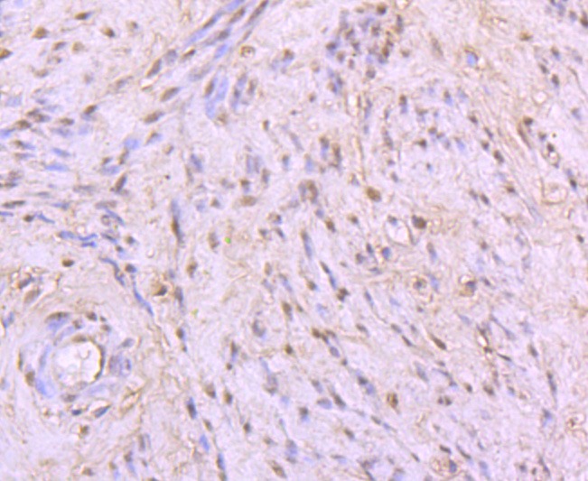
4. Immunohistochemical analysis of paraffin-embedded human cervix tissue using anti-53BP1 antibody. Counter stained with hematoxylin.
5. Immunohistochemical analysis of paraffin-embedded mouse spleen tissue using anti-53BP1 antibody. Counter stained with hematoxylin.
6. ICC staining 53BP1 in HepG2 cells (green). The nuclear counter stain is DAPI (blue). Cells were fixed in paraformaldehyde, permeabilised with 0.25% Triton X100/PBS.
7. ICC staining 53BP1 in 293T cells (green). The nuclear counter stain is DAPI (blue). Cells were fixed in paraformaldehyde, permeabilised with 0.25% Triton X100/PBS.
8. ICC staining 53BP1 in Hela cells (green). The nuclear counter stain is DAPI (blue). Cells were fixed in paraformaldehyde, permeabilised with 0.25% Triton X100/PBS.
9. Flow cytometric analysis of Hela cells with 53BP1 antibody at 1/50 dilution (red) compared with an unlabelled control (cells without incubation with primary antibody; black). Alexa Fluor 488-conjugated goat anti rabbit IgG was used as the secondary antibody.
verifiedActivityverifiedActivityverifiedActivityverifiedActivityverifiedActivityverifiedActivityverifiedActivityverifiedActivityverifiedActivity
应用FCMICC/IFIHCWB
推荐剂量
WB: 1:500-1000; IHC: 1:50-200; ICC/IF: 1:100-500; FCM: 1:50-100
抗体种类
Monoclonal
宿主来源Rabbit
构建方式Recombinant Antibody
纯化方式ProA affinity purified
性状Liquid
缓冲液1*TBS (pH7.4), 1%BSA, 40%Glycerol. Preservative: 0.05% Sodium Azide.
研究背景The p53 binding proteins 53BP1 and 53BP2 (Bbp) bind to the central DNA-binding domain of wild type p53, but do not bind mutant p53. The central DNA-binding domain of p53 is required for site-specific DNA binding and is frequently mutated in malignant tumors. Binding of 53BP1 to the L3 loop of p53 and of 53BP2 to the L2 loop of p53 confirms that the loop is dependent on p53 conformation. Site-specific binding also suggests that 53BP1 and 53BP2 are involved in p53-mediated tumor suppression. 53BP1 was isolated from H258 cells and is expressed in Jurkat cells in both the cytoplasm and the nucleus. The N-terminus of 53BP2 is localized to the cytoplasm, while the C-terminus might be localized in the nucleus. 53BP1 promotes cell proliferation by binding to p202, whereas 53BP2 induces cell death by binding to Bcl2 and NFkB p65.
偶联与修饰
偶联
Unconjugated
抗原信息
免疫原
Recombinant Protein
Uniprot ID
化学信息
分子量Theoretical: 214 kDa.
储存&溶解度
储存方式Store at -20°C or -80°C for 12 months. Avoid repeated freeze-thaw cycles.
运输方式Shipping with blue ice.

计算器

  • 稀释 计算器
  • 配液 计算器
Related Tags: buy Anti-53BP1 Antibody (3K586) | purchase Anti-53BP1 Antibody (3K586) | Anti-53BP1 Antibody (3K586) cost | order Anti-53BP1 Antibody (3K586) | Anti-53BP1 Antibody (3K586) molecular weight