购物车
  • TargetMol
    您的购物车当前为空

Anti-4-1BB/CD137/TNFRSF9 Antibody (9T808)

Synonyms: TNFRSF9, T cell antigen ILA, ILA, FLJ43501, CDw137, CD137, 4-1BB ligand receptor, 4-1BB, 41BB
货号 TMAC-00657 一键复制产品信息
Rating icon 还可以

Anti-4-1BB/CD137/TNFRSF9 Antibody (9T808) 是一种 Mouse 抗体,靶向 4-1BB/CD137/TNFRSF9。Anti-4-1BB/CD137/TNFRSF9 Antibody (9T808) 可用于 FCM,ICC,IHC,WB。

Anti-4-1BB/CD137/TNFRSF9 Antibody (9T808)

一键复制产品信息
Rating icon 还可以
货号 TMAC-00657

别名 TNFRSF9, T cell antigen ILA, ILA, FLJ43501, CDw137, CD137, 4-1BB ligand receptor, 4-1BB, 41BB

Anti-4-1BB/CD137/TNFRSF9 Antibody (9T808) 是一种 Mouse 抗体,靶向 4-1BB/CD137/TNFRSF9。Anti-4-1BB/CD137/TNFRSF9 Antibody (9T808) 可用于 FCM,ICC,IHC,WB。

Anti-4-1BB/CD137/TNFRSF9 Antibody (9T808)
规格价格库存数量
50 μL
¥ 1,995
5日内发货
100 μL
¥ 2,990
5日内发货
库存状态实时更新,以官网显示为准,现货产品可直接加购物车下单
大包装 & 定制
加入购物车

TargetMol的所有产品仅用作科学研究或药证申报,不能被用于人体,我们不向个人提供产品和服务。请您遵守承诺用途,不得违反法律法规规定用于任何其他用途。

实验操作小课堂
常见问题解答
查看更多

资源下载:产品操作手册

产品介绍


生物活性
产品描述
Anti-4-1BB/CD137/TNFRSF9 Antibody (9T808) is a Mouse antibody targeting 4-1BB/CD137/TNFRSF9. Anti-4-1BB/CD137/TNFRSF9 Antibody (9T808) can be used in FCM,ICC,IHC,WB.
别名
TNFRSF9, T cell antigen ILA, ILA, FLJ43501, CDw137, CD137, 4-1BB ligand receptor, 4-1BB, 41BB
克隆号
9T808
反应种属
Human,Mouse,Rat
验证活性
1. Western blot analysis of CD137 on HepG2 cell lysate using anti-CD137 antibody at 1/500 dilution.
2. Immunohistochemical analysis of paraffin-embedded rat brain tissue using anti-CD137 antibody. Counter stained with hematoxylin.
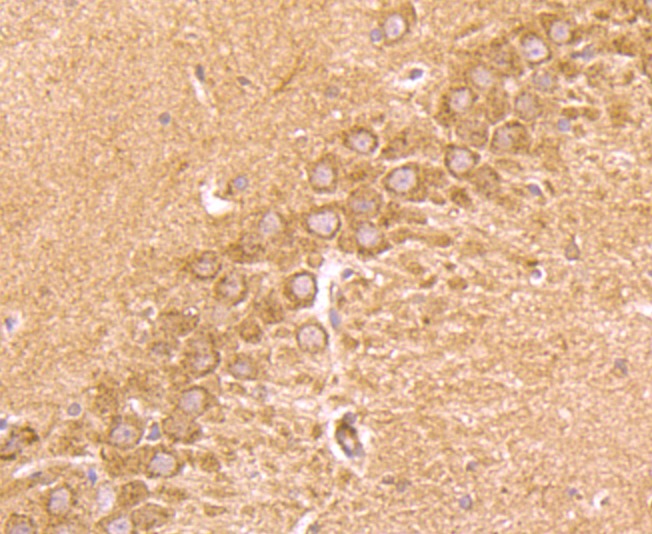
3. Immunohistochemical analysis of paraffin-embedded rat hippocampus tissue using anti-CD137 antibody. Counter stained with hematoxylin.
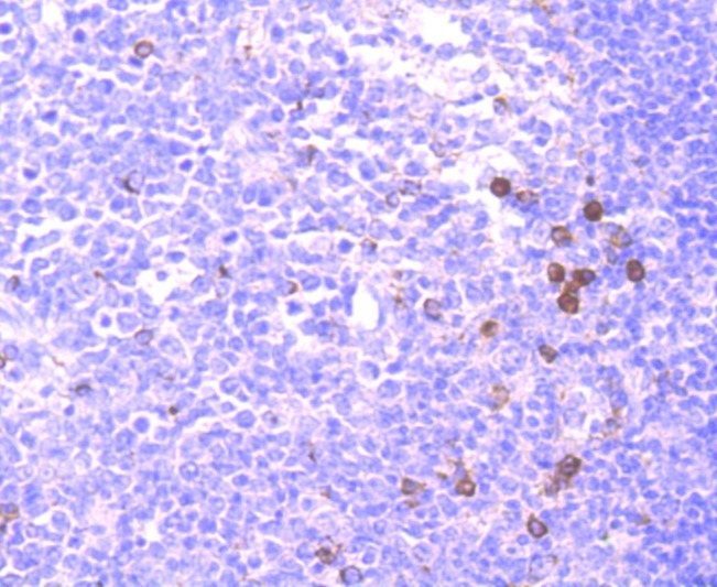
4. Immunohistochemical analysis of paraffin-embedded human tonsil tissue using anti-CD137 antibody. Counter stained with hematoxylin.
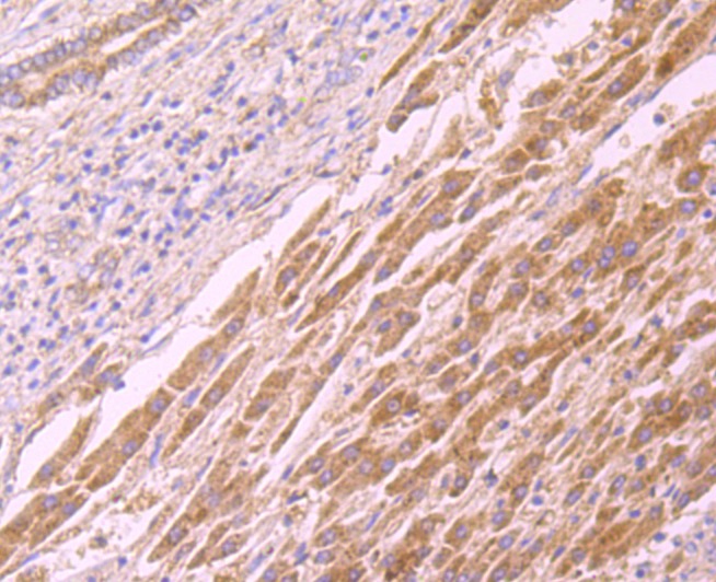
5. Immunohistochemical analysis of paraffin-embedded human liver cancer tissue using anti-CD137 antibody. Counter stained with hematoxylin.
6. Immunohistochemical analysis of paraffin-embedded mouse brain tissue using anti-CD137 antibody. Counter stained with hematoxylin.
7. ICC staining CD137 (green) in A431 cells. The nuclear counter stain is DAPI (blue). Cells were fixed in paraformaldehyde, permeabilised with 0.25% Triton X100/PBS.
8. ICC staining CD137 (green) in A549 cells. The nuclear counter stain is DAPI (blue). Cells were fixed in paraformaldehyde, permeabilised with 0.25% Triton X100/PBS.
9. ICC staining CD137 (green) in LOVO cells. The nuclear counter stain is DAPI (blue). Cells were fixed in paraformaldehyde, permeabilised with 0.25% Triton X100/PBS.
10. Flow cytometric analysis of Jurkat cells with CD137 antibody at 1/100 dilution (red) compared with an unlabelled control (cells without incubation with primary antibody; black).
verifiedActivityverifiedActivityverifiedActivityverifiedActivityverifiedActivityverifiedActivityverifiedActivityverifiedActivityverifiedActivityverifiedActivity
应用FCMICCIHCWB
推荐剂量
WB: 1:500; IHC: 1:50-200; ICC: 1:100-500; FCM: 1:50-200
抗体种类
Monoclonal
宿主来源Mouse
构建方式Hybridoma Monoclonal Antibody
纯化方式ProA affinity purified
性状Liquid
缓冲液1*TBS (pH7.4), 0.5%BSA, 50%Glycerol. Preservative: 0.05% Sodium Azide.
研究背景CD137, also designated ILA and 4-1BB in mouse, belongs to the tumor necrosis factor receptor family and delivers a costimulatory signal to T lymphocytes. CD137 is expressed on activated T cells and binds an inducible ligand that is found on B cells, macrophages, and dendritic cells. Interactions between CD137 and its ligand are involved in antigen presentation and the generation of cytotoxic T cells. Crosslinking of the CD137 ligand induces apoptosis in resting lymphocytes. In contrast, CD137 regulates peripheral monocyte survival by inducing a cytokine release profile, and is mediated by M-CSF and to a lesser extent by granulocyte-macrophage colony-stimulating factor and IL-3. Soluble forms of CD137 are found in sera from patients with rheumatoid arthritis and may provide a negative control mechanism for immune responses.
偶联与修饰
偶联
Unconjugated
抗原信息
免疫原
Recombinant Protein
Uniprot ID
化学信息
分子量Theoretical: 35 kDa.
储存&溶解度
储存方式Store at -20°C or -80°C for 12 months. Avoid repeated freeze-thaw cycles.
运输方式Shipping with blue ice.

计算器

  • 稀释 计算器
  • 配液 计算器
Related Tags: buy Anti-4-1BB/CD137/TNFRSF9 Antibody (9T808) | purchase Anti-4-1BB/CD137/TNFRSF9 Antibody (9T808) | Anti-4-1BB/CD137/TNFRSF9 Antibody (9T808) cost | order Anti-4-1BB/CD137/TNFRSF9 Antibody (9T808) | Anti-4-1BB/CD137/TNFRSF9 Antibody (9T808) molecular weight