购物车
  • TargetMol
    您的购物车当前为空

Anti-14-3-3 beta/alpha Antibody (6Z701)

Synonyms: YWHAA, tyrosine 3-monooxygenase/tryptophan 5-monooxygenase activation protein, β, tyrosine 3-monooxygenase/tryptophan 5-monooxygenase activation protein, beta, KCIP-1, HS1, HEL-S-1, GW128, 14-3-3 β
货号 TMAC-00001 一键复制产品信息
Rating icon 还可以
202603开学季活动

Anti-14-3-3 beta/alpha Antibody (6Z701) 是一种 Rabbit 抗体,靶向 14-3-3 beta/alpha。Anti-14-3-3 beta/alpha Antibody (6Z701) 可用于 FCM,ICC,IHC,IP,WB。

Anti-14-3-3 beta/alpha Antibody (6Z701)

一键复制产品信息
Rating icon 还可以
202603开学季活动
货号 TMAC-00001

别名 YWHAA, tyrosine 3-monooxygenase/tryptophan 5-monooxygenase activation protein, β, tyrosine 3-monooxygenase/tryptophan 5-monooxygenase activation protein, beta, KCIP-1, HS1, HEL-S-1, GW128, 14-3-3 β

Anti-14-3-3 beta/alpha Antibody (6Z701) 是一种 Rabbit 抗体,靶向 14-3-3 beta/alpha。Anti-14-3-3 beta/alpha Antibody (6Z701) 可用于 FCM,ICC,IHC,IP,WB。

Anti-14-3-3 beta/alpha Antibody (6Z701)
规格价格库存数量
50 μL
¥ 1,490
5日内发货
100 μL
¥ 2,495
5日内发货
库存状态实时更新,以官网显示为准,现货产品可直接加购物车下单
大包装 & 定制
加入购物车

TargetMol的所有产品仅用作科学研究或药证申报,不能被用于人体,我们不向个人提供产品和服务。请您遵守承诺用途,不得违反法律法规规定用于任何其他用途。

实验操作小课堂
常见问题解答
查看更多

资源下载:产品操作手册

产品介绍


生物活性
产品描述
Anti-14-3-3 beta/alpha Antibody (6Z701) is a Rabbit antibody targeting 14-3-3 beta/alpha. Anti-14-3-3 beta/alpha Antibody (6Z701) can be used in FCM,ICC,IHC,IP,WB.
别名
YWHAA, tyrosine 3-monooxygenase/tryptophan 5-monooxygenase activation protein, β, tyrosine 3-monooxygenase/tryptophan 5-monooxygenase activation protein, beta, KCIP-1, HS1, HEL-S-1, GW128, 14-3-3 β
Ig Type
IgG
克隆号
6Z701
反应种属
Human,Mouse,Rat
验证活性
1. Western blot analysis of 14-3-3 alpha+beta on different lysates using anti-14-3-3 alpha/beta antibody at 1/1,000 dilution. Positive control: Lane 1: Hela, Lane 2: 293T, Lane 3: HepG2.
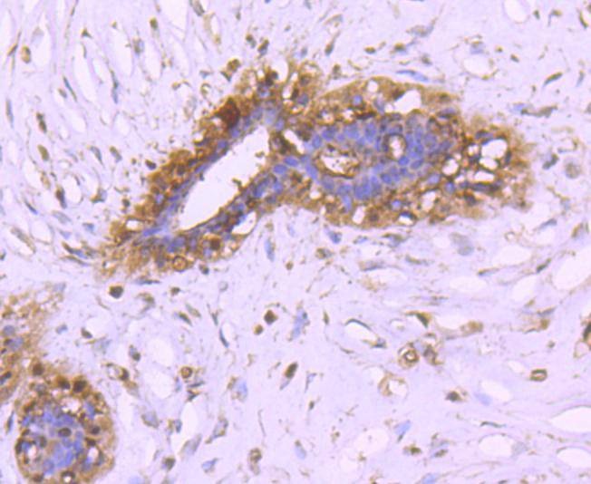
2. Immunohistochemical analysis of paraffin-embedded human breast carcinoma tissue using anti-14-3-3 alpha+beta antibody. Counter stained with hematoxylin.
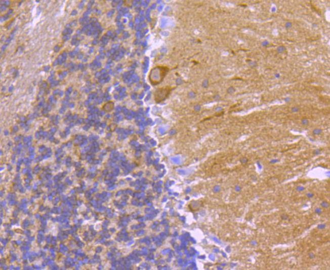
3. Immunohistochemical analysis of paraffin-embedded mouse brain tissue using anti-14-3-3 alpha+beta antibody. Counter stained with hematoxylin.
4. Immunohistochemical analysis of paraffin-embedded mouse skin tissue using anti-14-3-3 alpha+beta antibody. Counter stained with hematoxylin.
5. Immunohistochemical analysis of paraffin-embedded human breast tissue using anti-14-3-3 alpha+beta antibody. Counter stained with hematoxylin.
6. ICC staining 14-3-3 alpha+beta in Hela cells (green). The nuclear counter stain is DAPI (blue). Cells were fixed in paraformaldehyde, permeabilised with 0.25% Triton X100/PBS.
7. ICC staining 14-3-3 alpha+beta in A431 cells (green). The nuclear counter stain is DAPI (blue). Cells were fixed in paraformaldehyde, permeabilised with 0.25% Triton X100/PBS.
8. ICC staining 14-3-3 alpha+beta in SHG-44 cells (green). The nuclear counter stain is DAPI (blue). Cells were fixed in paraformaldehyde, permeabilised with 0.25% Triton X100/PBS.
9. Flow cytometric analysis of Hela cells with 14-3-3 alpha+beta antibody at 1/50 dilution (red) compared with an unlabelled control (cells without incubation with primary antibody; black). Alexa Fluor 488-conjugated goat anti rabbit IgG was used as the secondary antibody.
verifiedActivityverifiedActivityverifiedActivityverifiedActivityverifiedActivityverifiedActivityverifiedActivityverifiedActivityverifiedActivity
应用FCMICCIHCIPWB
推荐剂量
WB: 1:1000-5000; IHC: 1:50-200; ICC: 1:100-500; FCM: 1:50-100
抗体种类
Monoclonal
宿主来源Rabbit
构建方式Recombinant Antibody
纯化方式ProA affinity purified
性状Liquid
缓冲液1*TBS (pH7.4), 1%BSA, 40%Glycerol. Preservative: 0.05% Sodium Azide.
研究背景Members of the 14-3-3 family of proteins are highly conserved proteins, localized in neurons, and are axonally transported to the nerve terminals. They are also present, at lower levels, in various other eukaryotic tissues. 14-3-3 proteins appear to play important roles in a variety of signal transduction pathways, including those involved in cell cycle regulation and cell survival. Because 14-3-3 proteins bind to specific phosphoserine-containing sequences they are likely to have an important role in signaling pathways mediated by serine/threonine protein kinases. Evidence indicates 14-3-3 is required for Raf 1 kinase activity and phosphorylation among many other functions.
偶联与修饰
偶联
Unconjugated
抗原信息
免疫原
Recombinant Protein
Uniprot ID
化学信息
分子量Theoretical: 28 kDa.
储存&溶解度
储存方式Store at -20°C or -80°C for 12 months. Avoid repeated freeze-thaw cycles.
运输方式Shipping with blue ice.

计算器

  • 稀释 计算器
  • 配液 计算器
Related Tags: buy Anti-14-3-3 beta/alpha Antibody (6Z701) | purchase Anti-14-3-3 beta/alpha Antibody (6Z701) | Anti-14-3-3 beta/alpha Antibody (6Z701) cost | order Anti-14-3-3 beta/alpha Antibody (6Z701) | Anti-14-3-3 beta/alpha Antibody (6Z701) molecular weight