购物车
  • TargetMol
    您的购物车当前为空

Anti-TMEM49 Polyclonal Antibody

Synonyms: VMP1, Vacuole membrane protein 1, Transmembrane protein 49, TMEM 49, TDC1, DKFZP566I133
货号 TMAB-01867 一键复制产品信息
Rating icon 还可以

Anti-TMEM49 Polyclonal Antibody 是一种 Rabbit 抗体,靶向 TMEM49。Anti-TMEM49 Polyclonal Antibody 可用于 IF,IHC-Fr,IHC-P,WB。

Anti-TMEM49 Polyclonal Antibody

一键复制产品信息
Rating icon 还可以
货号 TMAB-01867

别名 VMP1, Vacuole membrane protein 1, Transmembrane protein 49, TMEM 49, TDC1, DKFZP566I133

Anti-TMEM49 Polyclonal Antibody 是一种 Rabbit 抗体,靶向 TMEM49。Anti-TMEM49 Polyclonal Antibody 可用于 IF,IHC-Fr,IHC-P,WB。

Anti-TMEM49 Polyclonal Antibody
规格价格库存数量
50 μL
¥ 1,175
5日内发货
100 μL
¥ 1,965
5日内发货
200 μL
¥ 2,780
5日内发货
库存状态实时更新,以官网显示为准,现货产品可直接加购物车下单
大包装 & 定制
加入购物车

TargetMol的所有产品仅用作科学研究或药证申报,不能被用于人体,我们不向个人提供产品和服务。请您遵守承诺用途,不得违反法律法规规定用于任何其他用途。

实验操作小课堂
常见问题解答
查看更多

资源下载:产品操作手册

产品介绍


生物活性
产品描述
Anti-TMEM49 Polyclonal Antibody is a Rabbit antibody targeting TMEM49. Anti-TMEM49 Polyclonal Antibody can be used in IF,IHC-Fr,IHC-P,WB.
别名
VMP1, Vacuole membrane protein 1, Transmembrane protein 49, TMEM 49, TDC1, DKFZP566I133
Ig Type
IgG
反应种属
Mouse (predicted:Human,Rat,Pig,Horse,Rabbit)
验证活性
1. Sample:
Kidney (Mouse) Lysate at 40 μg
Primary: Anti-TMEM49 (TMAB-01867) at 1/1000 dilution
Secondary: IRDye800CW Goat Anti-Rabbit IgG at 1/20000 dilution
Predicted band size: 46 kDa
Observed band size: 46 kDa
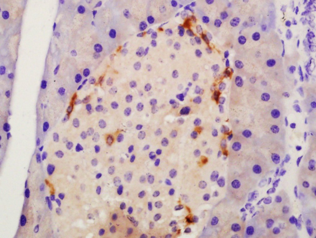
2. Tissue/cell: mouse pancreas tissue; 4% Paraformaldehyde-fixed and paraffin-embedded;
Antigen retrieval: citrate buffer (0.01M, pH6.0), Boiling bathing for 15 min; Block endogenous peroxidase by 3% Hydrogen peroxide for 30 min; Blocking buffer (normal goat serum) at 37°C for 20 min;
Incubation: Anti-TMEM49 Polyclonal Antibody, Unconjugated (TMAB-01867) 1:200, overnight at 4°C, followed by conjugation to the secondary antibody and DAb staining.
3. Sample:
Lane 1: Mouse Stomach tissue lysates
Lane 2: Mouse Cerebrum tissue lysates
Primary: Anti-TMEM49 (TMAB-01867) at 1/1000 dilution
Secondary: IRDye800CW Goat Anti-Rabbit IgG at 1/20000 dilution
Predicted band size: 46 kDa
Observed band size: 48 kDa
verifiedActivityverifiedActivityverifiedActivity
应用IFIHC-FrIHC-PWB
推荐剂量
WB: 1:500-2000; IHC-P: 1:100-500; IHC-Fr: 1:100-500; IF: 1:100-500
抗体种类
Polyclonal
宿主来源Rabbit
亚细胞定位Endoplasmic reticulum-Golgi intermediate compartment membrane. Cell membrane. Vacuole membrane. Endoplasmic reticulum.
构建方式Polyclonal Antibody
纯化方式Protein A purified
性状Liquid
缓冲液0.01M TBS (pH7.4) with 1% BSA, 0.02% Proclin300 and 50% Glycerol.
浓度1 mg/mL
研究背景Vacuole membrane protein 1 (VMP1)/TMEM49 is a transmembrane protein localized to intracellular vacuoles and was discovered as a protein that promotes vacuole formation in acinar cells associated with acute pancreatitis (1). Over-expression of VMP1 promotes vacuole formation and subsequent cell death (1). Subsequent studies have shown that VMP1 expression is induced by starvation and the mTOR inhibitor, rapamycin, and can trigger autophagy (2). VMP1 is targeted, along with LC3, to autophagosome membranes (2). Knockdown of VMP1 can inhibit autophagosome formation (2). VMP1 interacts with Beclin-1, a key autophagy protein that activates the Class III PI3 kinase Vps34, which is regulated by a large network of associated proteins (3). VMP1 functions in the degradation and clearance of zymogen-containing vacuoles during experimental pancreatitis (4). During this process, VMP1 interacts with the ubiquitin protease USP9X, suggesting a possible functional link between the molecular machinery of autophagy and the ubiquitin pathway. Orthologues of VMP1 have been reported in C. elegans (known as EPG-3), Drosophila (known as TANGO-5), and Dictyostelium, and have been shown to play a role in membrane trafficking, orgenelle organization, and autophagy (5-7).
抗原信息
免疫原
KLH conjugated synthetic peptide: human TMEM49
抗原种属
Human
基因名称
VMP1
基因ID
蛋白名称
Vacuole membrane protein 1
Uniprot ID
研究领域
Autophagosome,Tumor biomarkers,Autophagosome,Autophagosome
功能
Stress-induced protein that, when overexpressed, promotes formation of intracellular vacuoles followed by cell death. May be involved in the cytoplasmic vacuolization of acinar cells during the early stage of acute pancreatitis. Plays a role in the initial stages of the autophagic process through its interaction with BECN1 (By similarity). Involved in cell-cell adhesion. Plays an essential role in formation of cell junctions.Sequence similarities: Belongs to the VMP1 family.
化学信息
分子量Theoretical: 46 kDa. Actual: 48 kDa.
储存&溶解度
储存方式Store at -20°C or -80°C for 12 months. Avoid repeated freeze-thaw cycles.
运输方式Shipping with blue ice.

计算器

  • 稀释 计算器
  • 配液 计算器
Related Tags: buy Anti-TMEM49 Polyclonal Antibody | purchase Anti-TMEM49 Polyclonal Antibody | Anti-TMEM49 Polyclonal Antibody cost | order Anti-TMEM49 Polyclonal Antibody | Anti-TMEM49 Polyclonal Antibody molecular weight