购物车
  • TargetMol
    您的购物车当前为空

Anti-HK1 Antibody (7G677)

Synonyms: HK1, Hexokinase-A, Hexokinase-1, Hexokinase type I (HK I), Brain form hexokinase
货号 TMAC-01816 一键复制产品信息
Rating icon 还可以

Anti-HK1 Antibody (7G677) 是一种 Rabbit 抗体,靶向 HK1。Anti-HK1 Antibody (7G677) 可用于 FCM,ICC/IF,IHC,IP,WB。

Anti-HK1 Antibody (7G677)

一键复制产品信息
Rating icon 还可以
货号 TMAC-01816

别名 HK1, Hexokinase-A, Hexokinase-1, Hexokinase type I (HK I), Brain form hexokinase

Anti-HK1 Antibody (7G677) 是一种 Rabbit 抗体,靶向 HK1。Anti-HK1 Antibody (7G677) 可用于 FCM,ICC/IF,IHC,IP,WB。

Anti-HK1 Antibody (7G677)
规格价格库存数量
50 μL
¥ 1,490
5日内发货
100 μL
¥ 2,495
5日内发货
库存状态实时更新,以官网显示为准,现货产品可直接加购物车下单
大包装 & 定制
加入购物车

TargetMol的所有产品仅用作科学研究或药证申报,不能被用于人体,我们不向个人提供产品和服务。请您遵守承诺用途,不得违反法律法规规定用于任何其他用途。

实验操作小课堂
常见问题解答
查看更多

资源下载:产品操作手册

产品介绍


生物活性
产品描述
Anti-HK1 Antibody (7G677) is a Rabbit antibody targeting HK1. Anti-HK1 Antibody (7G677) can be used in FCM,ICC/IF,IHC,IP,WB.
别名
HK1, Hexokinase-A, Hexokinase-1, Hexokinase type I (HK I), Brain form hexokinase
Ig Type
IgG
克隆号
7G677
反应种属
Human,Mouse,Rat
验证活性
1. Western blot analysis of Hexokinase 1 on different lysates using anti-Hexokinase 1 antibody at 1/1,000 dilution. Positive control: Lane 1: Hela, Lane 2: 293, Lane 3: MCF-7, Lane 4: HepG2.
2. Immunohistochemical analysis of paraffin-embedded mouse skin tissue using anti-Hexokinase 1 antibody. Counter stained with hematoxylin.
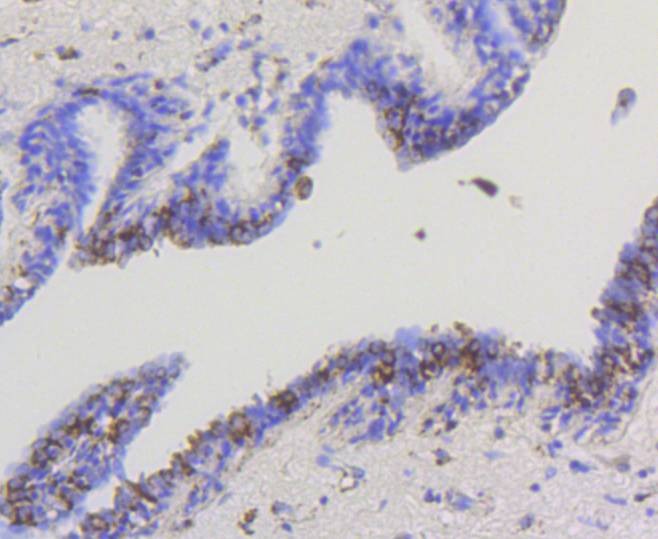
3. Immunohistochemical analysis of paraffin-embedded human lung tissue using anti-Hexokinase 1 antibody. Counter stained with hematoxylin.
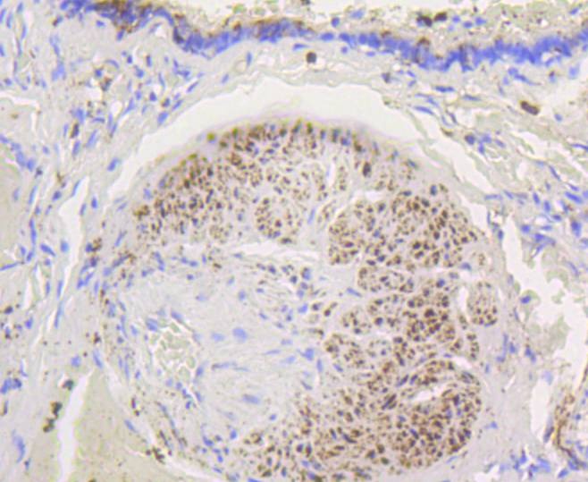
4. Immunohistochemical analysis of paraffin-embedded human breast carcinoma tissue using anti-Hexokinase 1 antibody. Counter stained with hematoxylin.
5. Immunohistochemical analysis of paraffin-embedded human kidney tissue using anti-Hexokinase 1 antibody. Counter stained with hematoxylin.
6. Immunohistochemical analysis of paraffin-embedded mouse colon tissue using anti-Hexokinase 1 antibody. Counter stained with hematoxylin.
7. Immunohistochemical analysis of paraffin-embedded mouse brain tissue using anti-Hexokinase 1 antibody. Counter stained with hematoxylin.
8. ICC staining Hexokinase 1 in Hela cells (green). The nuclear counter stain is DAPI (blue). Cells were fixed in paraformaldehyde, permeabilised with 0.25% Triton X100/PBS.
9. ICC staining Hexokinase 1 in CRC cells (green). The nuclear counter stain is DAPI (blue). Cells were fixed in paraformaldehyde, permeabilised with 0.25% Triton X100/PBS.
10. ICC staining Hexokinase 1 in MCF-7 cells (green). The nuclear counter stain is DAPI (blue). Cells were fixed in paraformaldehyde, permeabilised with 0.25% Triton X100/PBS.
11. Flow cytometric analysis of K562 cells with Hexokinase 1 antibody at 1/50 dilution (blue) compared with an unlabelled control (cells without incubation with primary antibody; red). Alexa Fluor 488-conjugated goat anti rabbit IgG was used as the secondary antibody.
verifiedActivityverifiedActivityverifiedActivityverifiedActivityverifiedActivityverifiedActivityverifiedActivityverifiedActivityverifiedActivityverifiedActivityverifiedActivity
应用FCMICC/IFIHCIPWB
推荐剂量
WB: 1:1000-2000; IHC: 1:50-200; ICC/IF: 1:50-200; FCM: 1:50-100
抗体种类
Monoclonal
宿主来源Rabbit
构建方式Recombinant Antibody
纯化方式ProA affinity purified
性状Liquid
缓冲液1*TBS (pH7.4), 1%BSA, 40%Glycerol. Preservative: 0.05% Sodium Azide.
研究背景The hexokinases utilize Mg-ATP as a phosphoryl donor to catalyze the first step of intracellular glucose metabolism, the conversion of glucose to glucose-6-phosphate. Four hexokinase isoenzymes have been identified, including hexokinase I (HXK I), hexokinase II (HXK II), hexokinase III (HXK III) and hexokinase IV (HXK IV, also designated glucokinase or GCK). Hexokinases I-III each contain an N-terminal cluster of hydrophobic amino acids. Glucokinase lacks the N-terminal hydrophobic cluster. The hydrophobic cluster is thought to be necessary for membrane binding. This is substantiated by the finding that glucokinase has lower affinity for glucose than do the other hexokinases. HXK I has been shown to be expressed in brain, kidney and heart tissues as well as in hepatoma cell lines. HXK II is involved in the uptake and utilization of glucose by adipose and skeletal tissues. Of the hexokinases, HXK III has the highest affinity for glucose. Glucokinase is expressed in pancreatic beta cells where it functions as a glucose sensor, determining the ??set point?? for insulin secretion.
偶联与修饰
偶联
Unconjugated
抗原信息
免疫原
Recombinant Protein
Uniprot ID
化学信息
分子量Theoretical: 102 kDa.
储存&溶解度
储存方式Store at -20°C or -80°C for 12 months. Avoid repeated freeze-thaw cycles.
运输方式Shipping with blue ice.

计算器

  • 稀释 计算器
  • 配液 计算器
Related Tags: buy Anti-HK1 Antibody (7G677) | purchase Anti-HK1 Antibody (7G677) | Anti-HK1 Antibody (7G677) cost | order Anti-HK1 Antibody (7G677) | Anti-HK1 Antibody (7G677) molecular weight