• TargetMol
    您的购物车当前为空

Anti-CCL5 Antibody (9P745)

一键复制产品信息
Rating icon 还可以
货号 TMAB-00315

别名 TCP228, SIS-δ, SIS-delta, SISd, SCYA5, RANTES, MuRantes, eoCP, D17S136E, CCL5

Anti-CCL5 Antibody (9P745) 是一种 Rabbit 抗体,靶向 CCL5。Anti-CCL5 Antibody (9P745) 可用于 ICC/IF,IF,IHC-Fr,IHC-P,WB。

Anti-CCL5 Antibody (9P745)

Anti-CCL5 Antibody (9P745)

一键复制产品信息
Rating icon 还可以
货号 TMAB-00315 别名 TCP228, SIS-δ, SIS-delta, SISd, SCYA5, RANTES, MuRantes, eoCP, D17S136E, CCL5

Anti-CCL5 Antibody (9P745) 是一种 Rabbit 抗体,靶向 CCL5。Anti-CCL5 Antibody (9P745) 可用于 ICC/IF,IF,IHC-Fr,IHC-P,WB。

规格价格库存数量
25 μL
¥ 780
5日内发货
50 μL
¥ 1,395
5日内发货
100 μL
¥ 2,485
5日内发货
库存状态实时更新,以官网显示为准,现货产品可直接加购物车下单
大包装 & 定制
加入购物车
TargetMol的所有产品仅用作科学研究或药证申报,不能被用于人体,我们不向个人提供产品和服务。请您遵守承诺用途,不得违反法律法规规定用于任何其他用途。
实验操作小课堂
常见问题解答
查看更多
资源下载:

产品介绍


生物活性
产品描述
Anti-CCL5 Antibody (9P745) is a Rabbit antibody targeting CCL5. Anti-CCL5 Antibody (9P745) can be used in ICC/IF,IF,IHC-Fr,IHC-P,WB.
别名TCP228, SIS-δ, SIS-delta, SISd, SCYA5, RANTES, MuRantes, eoCP, D17S136E, CCL5
Ig Type
IgG
克隆号
9P745
反应种属
Human,Mouse
验证活性
1. Sample:
Lane 1: mouse thymus tissue lysate
Primary: Anti-RANTES (TMAB-00315) at 1:1000 dilution
Secondary: Goat Anti-Rabbit IgG-HRP at 1:20000 dilution
Predicted band size: 7.4/10 kDa
Observed band size: 15 kDa
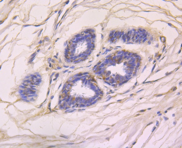
2. Paraformaldehyde-fixed, paraffin embedded (human breast cancer); Antigen retrieval by boiling in sodium citrate buffer (pH6.0) for 15 min; Block endogenous peroxidase by 3% hydrogen peroxide for 20 min; Blocking buffer (normal goat serum) at 37°C for 30 min; Antibody incubation with (RANTES) Monoclonal Antibody, Unconjugated (TMAB-00315) at 1:50 overnight at 4°C, followed by operating according to SP Kit (Rabbit) instructionsand DAB staining.
3. Paraformaldehyde-fixed, paraffin embedded (human lung caner); Antigen retrieval by boiling in sodium citrate buffer (pH6.0) for 15 min; Block endogenous peroxidase by 3% hydrogen peroxide for 20 min; Blocking buffer (normal goat serum) at 37°C for 30 min; Antibody incubation with (RANTES) Monoclonal Antibody, Unconjugated (TMAB-00315) at 1:50 overnight at 4°C, followed by operating according to SP Kit (Rabbit) instructionsand DAB staining.
4. Paraformaldehyde-fixed, paraffin embedded (human tonsil); Antigen retrieval by boiling in sodium citrate buffer (pH6.0) for 15 min; Block endogenous peroxidase by 3% hydrogen peroxide for 20 min; Blocking buffer (normal goat serum) at 37°C for 30 min; Antibody incubation with (RANTES) Monoclonal Antibody, Unconjugated (TMAB-00315) at 1:50 overnight at 4°C, followed by operating according to SP Kit (Rabbit) instructionsand DAB staining.
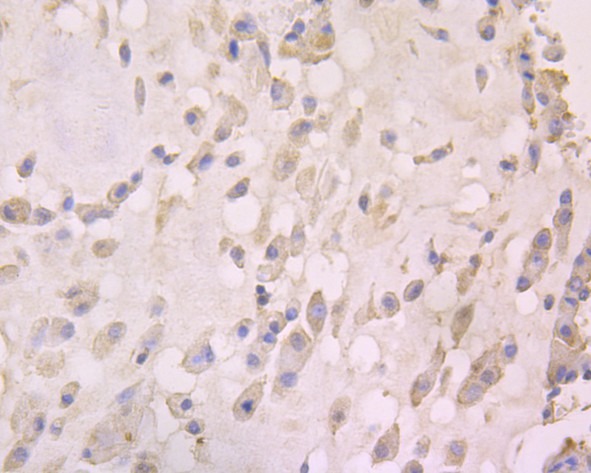
5. Hela cell; 4% Paraformaldehyde-fixed; Triton X-100 at room temperature for 20 min; Blocking buffer (normal goat serum) at 37°C for 20 min; Antibody incubation with (RANTES) monoclonal Antibody, Unconjugated (TMAB-00315) 1:50, 90 minutes at 37°C; followed by a conjugated Goat Anti-Rabbit IgG antibody at 37°C for 90 minutes, DAPI (blue) was used to stain the cell nucleus.
6. HUVEC cell; 4% Paraformaldehyde-fixed; Triton X-100 at room temperature for 20 min; Blocking buffer (normal goat serum) at 37°C for 20 min; Antibody incubation with (RANTES) monoclonal Antibody, Unconjugated (TMAB-00315) 1:50, 90 minutes at 37°C; followed by a conjugated Goat Anti-Rabbit IgG antibody at 37°C for 90 minutes, DAPI (blue) was used to stain the cell nucleus.
verifiedActivityverifiedActivityverifiedActivityverifiedActivityverifiedActivityverifiedActivity
应用ICC/IFIFIHC-FrIHC-PWB
推荐剂量
WB: 1:500-1000; IHC-P: 1:50-200; IHC-Fr: 1:50-200; ICC/IF: 1:50; IF: 1:50-200
抗体种类
Monoclonal
宿主来源Rabbit
亚细胞定位Secreted.
组织特异性T-cell and macrophage specific.
构建方式Recombinant Antibody
纯化方式Protein A purified
性状Liquid
缓冲液0.01M TBS (pH7.4) with 1% BSA, 0.02% Proclin300 and 50% Glycerol.
浓度1 mg/mL
研究背景This gene is one of several CC cytokine genes clustered on the q-arm of chromosome 17. Cytokines are a family of secreted proteins involved in immunoregulatory and inflammatory processes. The CC cytokines are proteins characterized by two adjacent cysteines. The cytokine encoded by this gene functions as a chemoattractant for blood monocytes, memory T helper cells and eosinophils. It causes the release of histamine from basophils and activates eosinophils. This cytokine is one of the major HIV-suppressive factors produced by CD8+ cells. It functions as one of the natural ligands for the chemokine receptor CCR5 and it suppresses in vitro replication of the R5 strains of HIV-1, which use CCR5 as a coreceptor.
抗原信息
免疫原
KLH conjugated synthetic peptide: human RANTES
抗原种属
Human
基因名称
CCL5
基因ID
蛋白名称
C-C motif chemokine 5
Uniprot ID
功能
Chemoattractant for blood monocytes, memory T-helper cells and eosinophils. Causes the release of histamine from basophils and activates eosinophils. Binds to CCR1, CCR3, CCR4 and CCR5. One of the major HIV-suppressive factors produced by CD8+ T-cells. Recombinant RANTES protein induces a dose-dependent inhibition of different strains of HIV-1, HIV-2, and simian immunodeficiency virus (SIV). The processed form RANTES(3-68) acts as a natural chemotaxis inhibitor and is a more potent inhibitor of HIV-1-infection. The second processed form RANTES(4-68) exhibits reduced chemotactic and HIV-suppressive activity compared with RANTES(1-68) and RANTES(3-68) and is generated by an unidentified enzyme associated with monocytes and neutrophils.
化学信息
分子量Theoretical: 7.4/10 kDa.
储存&溶解度
储存方式Store at -20°C or -80°C for 12 months. Avoid repeated freeze-thaw cycles.
运输方式Shipping with blue ice.
存储store at low temperature | store at -20°C

计算器

  • 稀释 计算器
Related Tags: buy Anti-CCL5 Antibody (9P745) | purchase Anti-CCL5 Antibody (9P745) | Anti-CCL5 Antibody (9P745) cost | order Anti-CCL5 Antibody (9P745) | Anti-CCL5 Antibody (9P745) molecular weight