购物车
  • TargetMol
    您的购物车当前为空

Anti-CTSL Antibody (9O318)

Synonyms: MEP, FLJ31037, CTSL1, CTSL, CATL, cathepsin L
货号 TMAC-00618 一键复制产品信息
Rating icon 还可以

Anti-CTSL Antibody (9O318) 是一种 Rabbit 抗体,靶向 CTSL。Anti-CTSL Antibody (9O318) 可用于 FCM,ICC/IF,IHC,WB。

Anti-CTSL Antibody (9O318)

一键复制产品信息
Rating icon 还可以
货号 TMAC-00618

别名 MEP, FLJ31037, CTSL1, CTSL, CATL, cathepsin L

Anti-CTSL Antibody (9O318) 是一种 Rabbit 抗体,靶向 CTSL。Anti-CTSL Antibody (9O318) 可用于 FCM,ICC/IF,IHC,WB。

Anti-CTSL Antibody (9O318)
规格价格库存数量
50 μL
¥ 1,480
5日内发货
100 μL
¥ 2,490
5日内发货
库存状态实时更新,以官网显示为准,现货产品可直接加购物车下单
大包装 & 定制
加入购物车

TargetMol的所有产品仅用作科学研究或药证申报,不能被用于人体,我们不向个人提供产品和服务。请您遵守承诺用途,不得违反法律法规规定用于任何其他用途。

实验操作小课堂
常见问题解答
查看更多

资源下载:产品操作手册

产品介绍


生物活性
产品描述
Anti-CTSL Antibody (9O318) is a Rabbit antibody targeting CTSL. Anti-CTSL Antibody (9O318) can be used in FCM,ICC/IF,IHC,WB.
别名
MEP, FLJ31037, CTSL1, CTSL, CATL, cathepsin L
Ig Type
IgG
克隆号
9O318
反应种属
Human,Mouse,Rat
验证活性
1. Western blot analysis of Cathepsin L/V/K/H on different cells lysates using anti-Cathepsin L/V/K/H antibody at 1/1,000 dilution. Positive control: Lane 1: HepG2, Lane 2: A549.
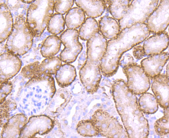
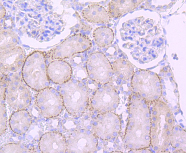
2. Immunohistochemical analysis of paraffin-embedded human kidney tissue using anti-Cathepsin L/V/K/H antibody. Counter stained with hematoxylin.
3. Immunohistochemical analysis of paraffin-embedded mouse kidney tissue using anti-Cathepsin L/V/K/H antibody. Counter stained with hematoxylin.
4. Immunohistochemical analysis of paraffin-embedded rat kidney tissue using anti-Cathepsin L/V/K/H antibody. Counter stained with hematoxylin.
5. ICC staining Cathepsin L/V/K/H in HepG2 cells (red). The nuclear counter stain is DAPI (blue). Cells were fixed in paraformaldehyde, permeabilised with 0.25% Triton X100/PBS.
6. Flow cytometric analysis of HepG2 cells with Cathepsin L/V/K/H antibody at 1/50 dilution (red) compared with an unlabelled control (cells without incubation with primary antibody; black). Alexa Fluor 488-conjugated goat anti rabbit IgG was used as the secondary antibody.
verifiedActivityverifiedActivityverifiedActivityverifiedActivityverifiedActivityverifiedActivity
应用FCMICC/IFIHCWB
推荐剂量
WB: 1:1000-5000; IHC: 1:50-200; ICC/IF: 1:50-100; FCM: 1:50-100
抗体种类
Monoclonal
宿主来源Rabbit
构建方式Recombinant Antibody
纯化方式ProA affinity purified
性状Liquid
缓冲液1*TBS (pH7.4), 1%BSA, 40%Glycerol. Preservative: 0.05% Sodium Azide.
研究背景The cathepsin family of proteolytic enzymes contains several diverse classes of proteases. The cysteine protease class comprises cathepsins B, L, H, K, S, and O. The aspartyl protease class is composed of cathepsins D and E. Cathepsin G is in the serine protease class. Most cathepsins are lysosomal and each is involved in cellular metabolism, participating in various events such as peptide biosynthesis and protein degradation. Cathepsin L (also designated major excreted protein, MEP or CATL) is a member of the peptidase C1 family and has been identified as a protein that is most closely related to cathepsin H. It is a lysosomal cysteine proteinase that mediates intracellular protein catabolism for collagen, elastin and ?-1 protease inhibitor. Cathepsin L is a dimer composed of disulfide-linked heavy and light chains, both produced from a single protein precursor. At least two transcript variants encoding the same protein have been found for this gene. Transformed mouse fibroblasts stimulated by growth factors or tumor promoters secrete a form of cathepsin L.
偶联与修饰
偶联
Unconjugated
抗原信息
免疫原
Recombinant Protein
Uniprot ID
化学信息
分子量Theoretical: 38 kDa.
储存&溶解度
储存方式Store at -20°C or -80°C for 12 months. Avoid repeated freeze-thaw cycles.
运输方式Shipping with blue ice.

计算器

  • 稀释 计算器
  • 配液 计算器
Related Tags: buy Anti-CTSL Antibody (9O318) | purchase Anti-CTSL Antibody (9O318) | Anti-CTSL Antibody (9O318) cost | order Anti-CTSL Antibody (9O318) | Anti-CTSL Antibody (9O318) molecular weight