购物车
  • TargetMol
    您的购物车当前为空

Anti-UBB Antibody (3A357)

Synonyms: UBB, Polyubiquitin-B
货号 TMAC-04192 一键复制产品信息
Rating icon 还可以

Anti-UBB Antibody (3A357) 是一种 Rabbit 抗体,靶向 UBB。Anti-UBB Antibody (3A357) 可用于 FCM,ICC/IF,IHC,WB。

Anti-UBB Antibody (3A357)

一键复制产品信息
Rating icon 还可以
货号 TMAC-04192

别名 UBB, Polyubiquitin-B

Anti-UBB Antibody (3A357) 是一种 Rabbit 抗体,靶向 UBB。Anti-UBB Antibody (3A357) 可用于 FCM,ICC/IF,IHC,WB。

Anti-UBB Antibody (3A357)
规格价格库存数量
50 μL
¥ 1,495
5日内发货
100 μL
¥ 2,480
5日内发货
库存状态实时更新,以官网显示为准,现货产品可直接加购物车下单
大包装 & 定制
加入购物车

TargetMol的所有产品仅用作科学研究或药证申报,不能被用于人体,我们不向个人提供产品和服务。请您遵守承诺用途,不得违反法律法规规定用于任何其他用途。

实验操作小课堂
常见问题解答
查看更多

资源下载:产品操作手册

产品介绍


生物活性
产品描述
Anti-UBB Antibody (3A357) is a Rabbit antibody targeting UBB. Anti-UBB Antibody (3A357) can be used in FCM,ICC/IF,IHC,WB.
别名
UBB, Polyubiquitin-B
Ig Type
IgG
克隆号
3A357
反应种属
Human,Mouse,Rat
验证活性
1. Western blot analysis of Ubiquitin on mouse heart lysates using anti-Ubiquitin antibody at 1/1,000 dilution.
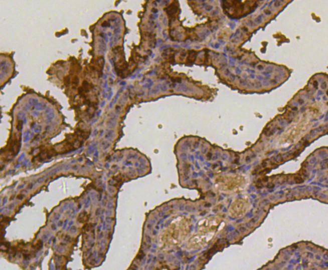
2. Immunohistochemical analysis of paraffin-embedded mouse testis tissue using anti-Ubiquitin antibody. Counter stained with hematoxylin.
3. Immunohistochemical analysis of paraffin-embedded mouse brain tissue using anti-Ubiquitin antibody. Counter stained with hematoxylin.
4. Immunohistochemical analysis of paraffin-embedded mouse placenta tissue using anti-Ubiquitin antibody. Counter stained with hematoxylin.
5. ICC staining Ubiquitin in MCF-7 cells (green). The nuclear counter stain is DAPI (blue). Cells were fixed in paraformaldehyde, permeabilised with 0.25% Triton X100/PBS.
6. ICC staining Ubiquitin in SH-SY-5Y cells (green). The nuclear counter stain is DAPI (blue). Cells were fixed in paraformaldehyde, permeabilised with 0.25% Triton X100/PBS.
7. Flow cytometric analysis of HepG2 cells with Ubiquitin antibody at 1/50 dilution (blue) compared with an unlabelled control (cells without incubation with primary antibody; red). Alexa Fluor 488-conjugated goat anti rabbit IgG was used as the secondary antibody.
verifiedActivityverifiedActivityverifiedActivityverifiedActivityverifiedActivityverifiedActivityverifiedActivity
应用FCMICC/IFIHCWB
推荐剂量
WB: 1:1000-2000; IHC: 1:200-500; ICC/IF: 1:50-200; FCM: 1:50-100
抗体种类
Monoclonal
宿主来源Rabbit
构建方式Recombinant Antibody
纯化方式ProA affinity purified
性状Liquid
缓冲液1*TBS (pH7.4), 1%BSA, 40%Glycerol. Preservative: 0.05% Sodium Azide.
研究背景Ubiquitin is a conserved polypeptide unit that plays an important role in the ubiquitin-proteasome pathway. Ubiquitin exists either covalently attached to another protein, or free (unanchored). When covalently bound, it is conjugated to target proteins via an isopeptide bond either as a monomer (monoubiquitin), a polymer linked via different Lys residues of the ubiquitin (polyubiquitin chains) or a linear polymer linked via the initiator Met of the ubiquitin (linear polyubiquitin chains). Polyubiquitin chains, when attached to a target protein, have different functions depending on the Lys residue of the ubiquitin that is linked: Lys-6-linked may be involved in DNA repair; Lys-11-linked is involved in ERAD (endoplasmic reticulum-associated degradation) and in cell-cycle regulation; Lys-29-linked is involved in lysosomal degradation; Lys-33-linked is involved in kinase modification; Lys-48-linked is involved in protein degradation via the proteasome; Lys-63-linked is involved in endocytosis, DNA-damage responses as well as in signaling processes leading to activation of the transcription factor NF-kappa-B. This antibody reacts with ubiquitin, a polypeptide w/ Mr. of approx. 8.5kD. It reacts with physiologically occurring conjugates of ubiquitin and intracellular proteins. Specifically recognizes ubiquitinated cytoplasmic inclusion bodies.
偶联与修饰
偶联
Unconjugated
抗原信息
免疫原
Recombinant Protein
Uniprot ID
化学信息
分子量Theoretical: 55 kDa.
储存&溶解度
储存方式Store at -20°C or -80°C for 12 months. Avoid repeated freeze-thaw cycles.
运输方式Shipping with blue ice.

计算器

  • 稀释 计算器
  • 配液 计算器
Related Tags: buy Anti-UBB Antibody (3A357) | purchase Anti-UBB Antibody (3A357) | Anti-UBB Antibody (3A357) cost | order Anti-UBB Antibody (3A357) | Anti-UBB Antibody (3A357) molecular weight