购物车
  • TargetMol
    您的购物车当前为空

Anti-SMAD2 Polyclonal Antibody

Synonyms: SMAD2, SMAD family member 2 (SMAD 2;Smad2;hSMAD2), Mothers against DPP homolog 2, Mothers against decapentaplegic homolog 2, Mad-related protein 2 (hMAD-2), MADR2, MADH2, MAD homolog 2, JV18-1
货号 TMAB-01736 一键复制产品信息
Rating icon 还可以
202603开学季活动

Anti-SMAD2 Polyclonal Antibody 是一种 Rabbit 抗体,靶向 SMAD2。Anti-SMAD2 Polyclonal Antibody 可用于 FCM,IF,IHC-Fr,IHC-P,WB。

Anti-SMAD2 Polyclonal Antibody

一键复制产品信息
Rating icon 还可以
202603开学季活动
货号 TMAB-01736

别名 SMAD2, SMAD family member 2 (SMAD 2;Smad2;hSMAD2), Mothers against DPP homolog 2, Mothers against decapentaplegic homolog 2, Mad-related protein 2 (hMAD-2), MADR2, MADH2, MAD homolog 2, JV18-1

Anti-SMAD2 Polyclonal Antibody 是一种 Rabbit 抗体,靶向 SMAD2。Anti-SMAD2 Polyclonal Antibody 可用于 FCM,IF,IHC-Fr,IHC-P,WB。

Anti-SMAD2 Polyclonal Antibody
规格价格库存数量
50 μL
¥ 1,160
5日内发货
100 μL
¥ 1,960
5日内发货
200 μL
¥ 2,790
5日内发货
库存状态实时更新,以官网显示为准,现货产品可直接加购物车下单
大包装 & 定制
加入购物车

TargetMol的所有产品仅用作科学研究或药证申报,不能被用于人体,我们不向个人提供产品和服务。请您遵守承诺用途,不得违反法律法规规定用于任何其他用途。

实验操作小课堂
常见问题解答
查看更多

资源下载:产品操作手册

产品介绍


生物活性
产品描述
Anti-SMAD2 Polyclonal Antibody is a Rabbit antibody targeting SMAD2. Anti-SMAD2 Polyclonal Antibody can be used in FCM,IF,IHC-Fr,IHC-P,WB.
别名
SMAD2, SMAD family member 2 (SMAD 2;Smad2;hSMAD2), Mothers against DPP homolog 2, Mothers against decapentaplegic homolog 2, Mad-related protein 2 (hMAD-2), MADR2, MADH2, MAD homolog 2, JV18-1
Ig Type
IgG
反应种属
Human,Mouse,Rat (predicted:Chicken,Dog,Cow,Rabbit)
验证活性
1. Sample:
Lane 1: Cerebrum (Mouse) Lysate at 40 μg
Lane 2: Heart (Mouse) Lysate at 40 μg
Lane 3: Testis (Mouse) Lysate at 40 μg
Lane 4: Kidney (Mouse) Lysate at 40 μg
Lane 5: Placenta (Mouse) Lysate at 40 μg
Lane 6: Cerebrum (Rat) Lysate at 40 μg
Lane 7: Heart (Rat) Lysate at 40 μg
Lane 8: Testis (Rat) Lysate at 40 μg
Lane 9: Kidney (Rat) Lysate at 40 μg
Lane 10: Hela (Human) Cell Lysate at 30 μg
Lane 11: HT1080 (Human) Cell Lysate at 30 μg
Lane 12: Jurkat (Human) Cell Lysate at 30 μg
Lane 13: Raw264.7 (Mouse) Cell Lysate at 30 μg
Lane 14: HL60 (Human) Cell Lysate at 30 μg
Primary: Anti-Smad2 (TMAB-01736) at 1/1000 dilution
Secondary: IRDye800CW Goat Anti-Rabbit IgG at 1/20000 dilution
Predicted band size: 60 kDa
Observed band size: 60 kDa
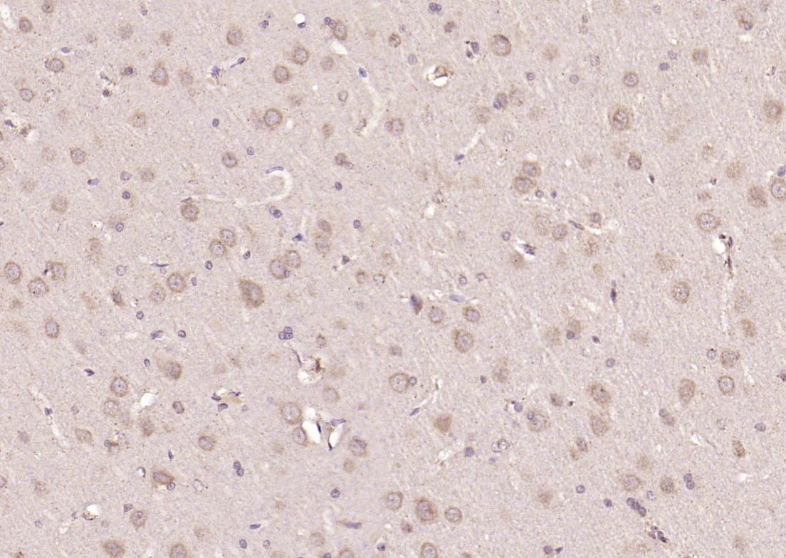
2. Paraformaldehyde-fixed, paraffin embedded (rat brain); Antigen retrieval by boiling in sodium citrate buffer (pH6.0) for 15 min; Block endogenous peroxidase by 3% hydrogen peroxide for 20 min; Blocking buffer (normal goat serum) at 37°C for 30 min; Antibody incubation with (Smad2) Polyclonal Antibody, Unconjugated (TMAB-01736) at 1:200 overnight at 4°C, followed by operating according to SP Kit (Rabbit) instructionsand DAB staining.
3. Blank control (Black line): Mouse spleen (Black).
Primary Antibody (green line): Rabbit Anti-Smad2 antibody (TMAB-01736)
Dilution: 1 μg/10^6 cells;
Isotype Control Antibody (orange line): Rabbit IgG.
Secondary Antibody (white blue line): Goat anti-rabbit IgG-PE
Dilution: 1 μg/test.
Protocol
The cells were fixed with 4% PFA (10 min at room temperature) and then permeabilized with 90% ice-cold methanol for 20 min at room temperature. The cells were then incubated in 5% BSA goat serum to block non-specific protein-protein interactions for 15 min at room temperature. Cells stained with Primary Antibody for 30 min at room temperature. The secondary antibody used for 40 min at room temperature.
verifiedActivityverifiedActivityverifiedActivity
应用FCMIFIHC-FrIHC-PWB
推荐剂量
WB: 1:500-2000; IHC-P: 1:100-500; IHC-Fr: 1:100-500; IF: 1:100-500; FCM: 1μg/Test
抗体种类
Polyclonal
宿主来源Rabbit
亚细胞定位Cytoplasm. Nucleus. Note=Cytoplasmic and nuclear in the absence of TGF-beta. On TGF-beta stimulation, migrates to the nucleus when complexed with SMAD4. On dephosphorylation by phosphatase PPM1A, released from the SMAD2/SMAD4 complex, and exported out of the nucleus by interaction with RANBP1.
组织特异性Expressed at high levels in skeletal muscle, heart and placenta.
构建方式Polyclonal Antibody
纯化方式Protein A purified
性状Liquid
缓冲液0.01M TBS (pH7.4) with 1% BSA, 0.02% Proclin300 and 50% Glycerol.
浓度1 mg/mL
研究背景The protein encoded by this gene belongs to the SMAD, a family of proteins similar to the gene products of the Drosophila gene 'mothers against decapentaplegic' (Mad) and the C. elegans gene Sma. SMAD proteins are signal transducers and transcriptional modulators that mediate multiple signaling pathways. This protein mediates the signal of the transforming growth factor (TGF)-beta, and thus regulates multiple cellular processes, such as cell proliferation, apoptosis, and differentiation. This protein is recruited to the TGF-beta receptors through its interaction with the SMAD anchor for receptor activation (SARA) protein. In response to TGF-beta signal, this protein is phosphorylated by the TGF-beta receptors. The phosphorylation induces the dissociation of this protein with SARA and the association with the family member SMAD4. The association with SMAD4 is important for the translocation of this protein into the nucleus, where it binds to target promoters and forms a transcription repressor complex with other cofactors. This protein can also be phosphorylated by activin type 1 receptor kinase, and mediates the signal from the activin. Alternatively spliced transcript variants have been observed for this gene. [provided by RefSeq, May 2012]
抗原信息
免疫原
KLH conjugated synthetic peptide: human Smad2
抗原种属
Human
基因名称
SMAD2
基因ID
蛋白名称
Mothers against decapentaplegic homolog 2
Uniprot ID
研究领域
TGF,SMADs,SMADs,Cytoplasmic
功能
Receptor-regulated SMAD (R-SMAD) that is an intracellular signal transducer and transcriptional modulator activated by TGF-beta (transforming growth factor) and activin type 1 receptor kinases. Binds the TRE element in the promoter region of many genes that are regulated by TGF-beta and, on formation of the SMAD2/SMAD4 complex, activates transcription. May act as a tumor suppressor in colorectal carcinoma. Positively regulates PDPK1 kinase activity by stimulating its dissociation from the 14-3-3 protein YWHAQ which acts as a negative regulator.
化学信息
分子量Theoretical: 52 kDa. Actual: 60 kDa.
储存&溶解度
储存方式Store at -20°C or -80°C for 12 months. Avoid repeated freeze-thaw cycles.
运输方式Shipping with blue ice.

计算器

  • 稀释 计算器
  • 配液 计算器
Related Tags: buy Anti-SMAD2 Polyclonal Antibody | purchase Anti-SMAD2 Polyclonal Antibody | Anti-SMAD2 Polyclonal Antibody cost | order Anti-SMAD2 Polyclonal Antibody | Anti-SMAD2 Polyclonal Antibody molecular weight