购物车
  • TargetMol
    您的购物车当前为空

Anti-RGC32/C13orf15 Polyclonal Antibody

Synonyms: RGCC, RGC32, RGC 32, Response gene to complement 32 protein, response gene to complement 32, MGC87338, KIAA0564, Chromosome 13 open reading frame 15
货号 TMAB-01614 一键复制产品信息
Rating icon 还可以

Anti-RGC32/C13orf15 Polyclonal Antibody 是一种 Rabbit 抗体,靶向 RGC32/C13orf15。Anti-RGC32/C13orf15 Polyclonal Antibody 可用于 FCM, IF, IHC-Fr, IHC-P。

Anti-RGC32/C13orf15 Polyclonal Antibody

一键复制产品信息
Rating icon 还可以
货号 TMAB-01614

别名 RGCC, RGC32, RGC 32, Response gene to complement 32 protein, response gene to complement 32, MGC87338, KIAA0564, Chromosome 13 open reading frame 15

Anti-RGC32/C13orf15 Polyclonal Antibody 是一种 Rabbit 抗体,靶向 RGC32/C13orf15。Anti-RGC32/C13orf15 Polyclonal Antibody 可用于 FCM, IF, IHC-Fr, IHC-P。

Anti-RGC32/C13orf15 Polyclonal Antibody
规格价格库存数量
50 μL
¥ 1,175
5日内发货
100 μL
¥ 1,975
5日内发货
200 μL
¥ 2,790
5日内发货
库存状态实时更新,以官网显示为准,现货产品可直接加购物车下单
大包装 & 定制
加入购物车
TargetMol的所有产品仅用作科学研究或药证申报,不能被用于人体,我们不向个人提供产品和服务。请您遵守承诺用途,不得违反法律法规规定用于任何其他用途。
实验操作小课堂
常见问题解答
查看更多

资源下载:产品操作手册

产品介绍


生物活性
产品描述
Anti-RGC32/C13orf15 Polyclonal Antibody is a Rabbit antibody targeting RGC32/C13orf15. Anti-RGC32/C13orf15 Polyclonal Antibody can be used in FCM, IF, IHC-Fr, IHC-P.
别名RGCC, RGC32, RGC 32, Response gene to complement 32 protein, response gene to complement 32, MGC87338, KIAA0564, Chromosome 13 open reading frame 15
Ig Type
IgG
反应种属
Human,Mouse,Rat (predicted:Chicken,Dog,Pig,Cow,Horse,Rabbit,Sheep)
验证活性
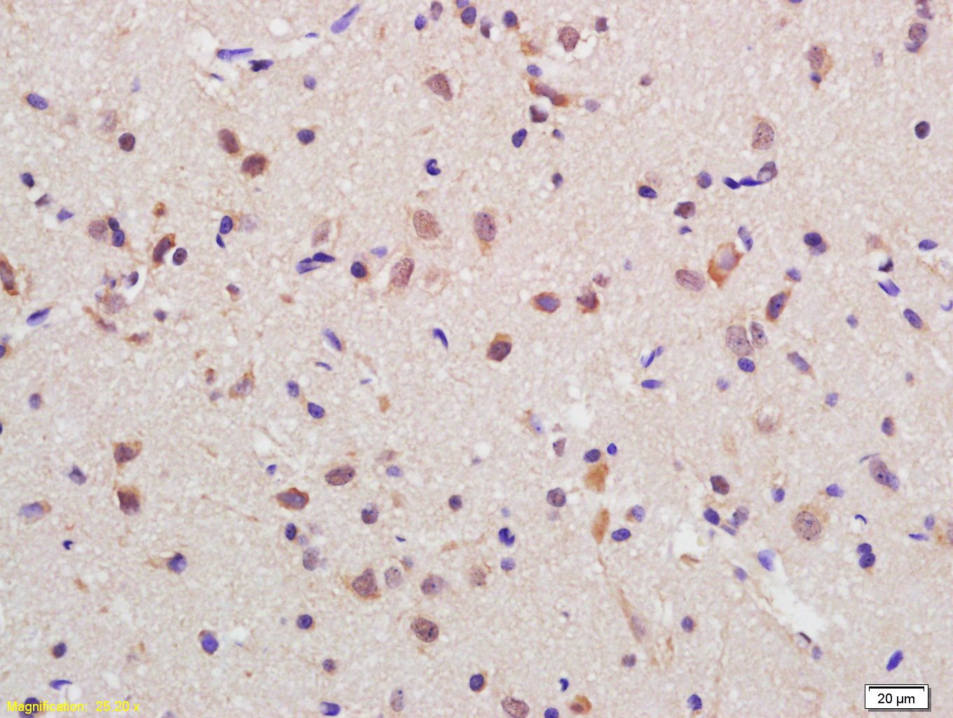
1. Tissue/cell: rat brain tissue; 4% Paraformaldehyde-fixed and paraffin-embedded;
Antigen retrieval: citrate buffer (0.01M, pH6.0), Boiling bathing for 15 min; Block endogenous peroxidase by 3% Hydrogen peroxide for 30 min; Blocking buffer (normal goat serum) at 37°C for 20 min;
Incubation: Anti-C13orf15 Polyclonal Antibody, Unconjugated (TMAB-01614) 1:200, overnight at 4°C, followed by conjugation to the secondary antibody and DAb staining.
2. Blank control: Molt-4. Primary Antibody (green line): Rabbit Anti-C13orf15 antibody (TMAB-01614)
Dilution: 1 μg/10^6 cells;
Isotype Control Antibody (orange line): Rabbit IgG.
Secondary Antibody: Goat anti-rabbit IgG-AF647
Dilution: 1 μg/test.
Protocol
The cells were fixed with 4% PFA (10 min at room temperature) and then permeabilized with 90% ice-cold methanol for 20 min at-20°C. The cells were then incubated in 5% BSA to block non-specific protein-protein interactions for 30 min at at room temperature. Cells stained with Primary Antibody for 30 min at room temperature. The secondary antibody used for 40 min at room temperature.
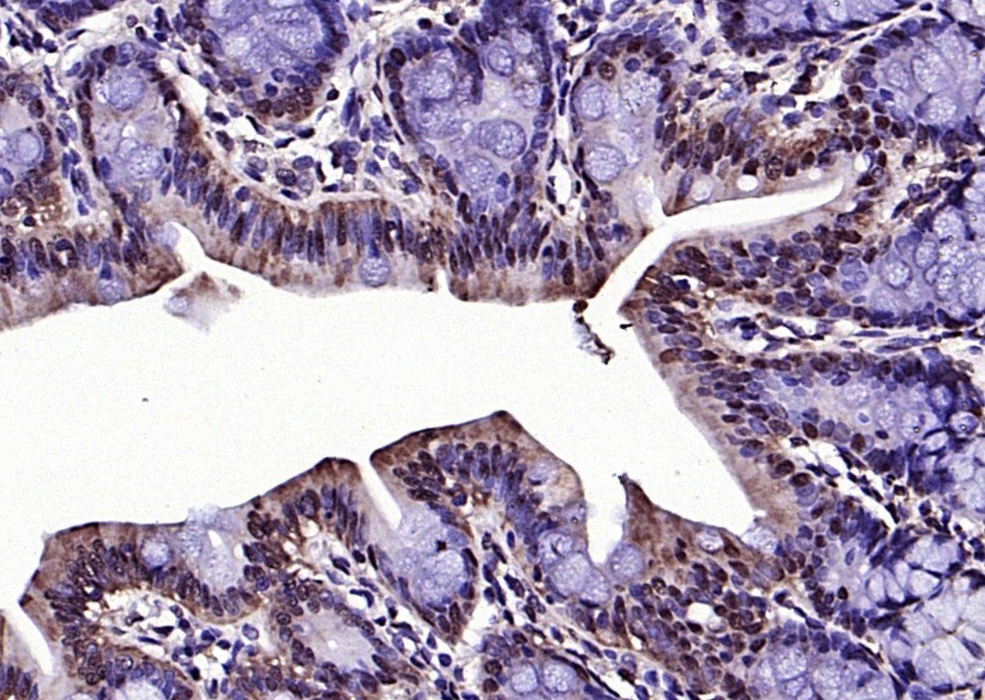
3. Paraformaldehyde-fixed, paraffin embedded (rat colon); Antigen retrieval by boiling in sodium citrate buffer (pH6.0) for 15 min; Block endogenous peroxidase by 3% hydrogen peroxide for 20 min; Blocking buffer (normal goat serum) at 37°C for 30 min; Antibody incubation with (RGC32) Polyclonal Antibody, Unconjugated (TMAB-01614) at 1:200 overnight at 4°C, followed by operating according to SP Kit (Rabbit) instructionsand DAB staining.
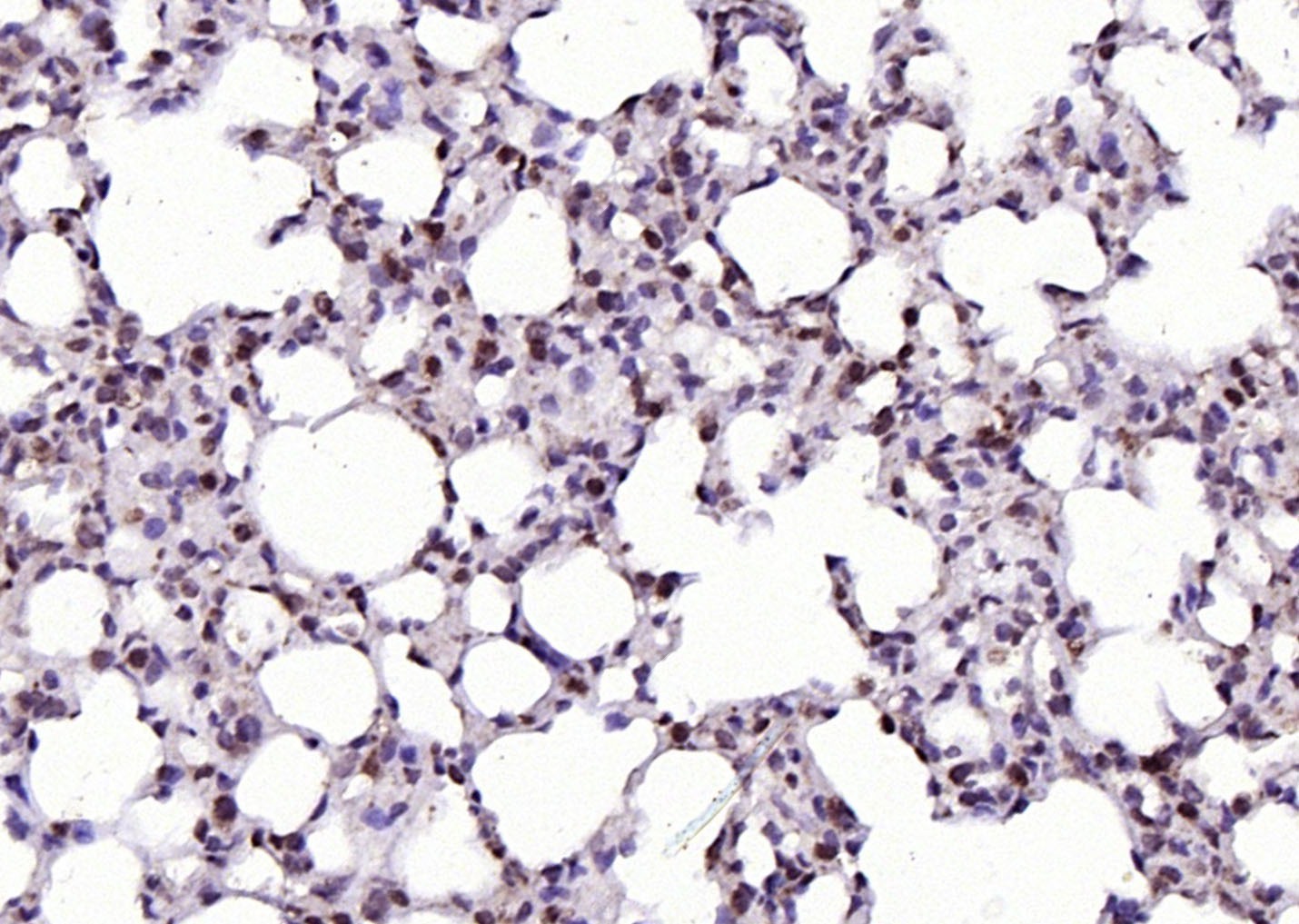
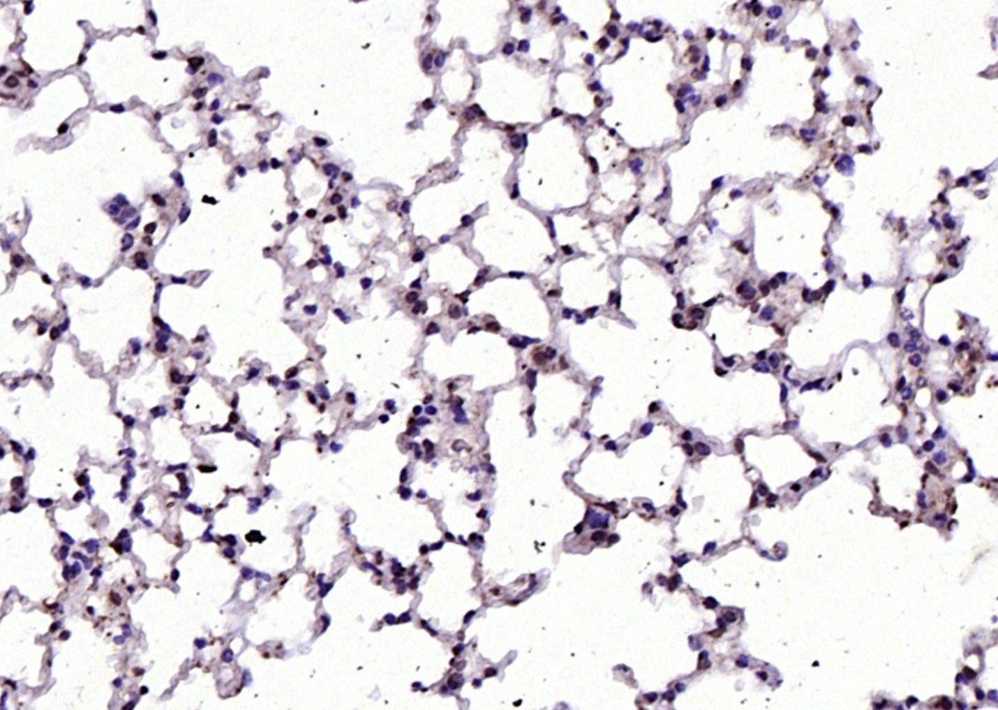
4. Paraformaldehyde-fixed, paraffin embedded (mouse lung); Antigen retrieval by boiling in sodium citrate buffer (pH6.0) for 15 min; Block endogenous peroxidase by 3% hydrogen peroxide for 20 min; Blocking buffer (normal goat serum) at 37°C for 30 min; Antibody incubation with (RGC32) Polyclonal Antibody, Unconjugated (TMAB-01614) at 1:200 overnight at 4°C, followed by operating according to SP Kit (Rabbit) instructionsand DAB staining.
5. Paraformaldehyde-fixed, paraffin embedded (rat lung); Antigen retrieval by boiling in sodium citrate buffer (pH6.0) for 15 min; Block endogenous peroxidase by 3% hydrogen peroxide for 20 min; Blocking buffer (normal goat serum) at 37°C for 30 min; Antibody incubation with (RGC32) Polyclonal Antibody, Unconjugated (TMAB-01614) at 1:200 overnight at 4°C, followed by operating according to SP Kit (Rabbit) instructionsand DAB staining.
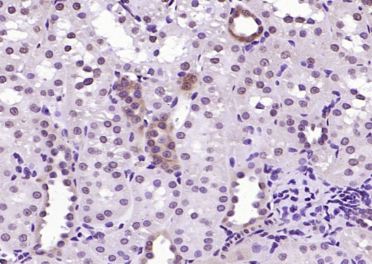
6. Paraformaldehyde-fixed, paraffin embedded (rat kidney); Antigen retrieval by boiling in sodium citrate buffer (pH6.0) for 15 min; Block endogenous peroxidase by 3% hydrogen peroxide for 20 min; Blocking buffer (normal goat serum) at 37°C for 30 min; Antibody incubation with (RGC32) Polyclonal Antibody, Unconjugated (TMAB-01614) at 1:200 overnight at 4°C, followed by operating according to SP Kit (Rabbit) instructionsand DAB staining.
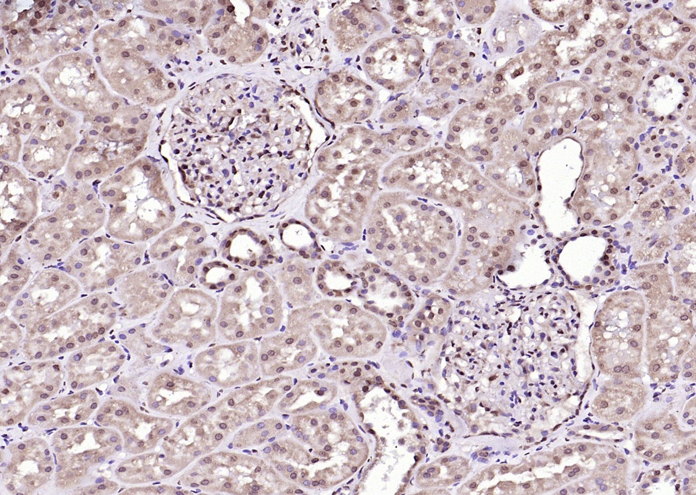
7. Paraformaldehyde-fixed, paraffin embedded (Human kidney); Antigen retrieval by boiling in sodium citrate buffer (pH6.0) for 15 min; Block endogenous peroxidase by 3% hydrogen peroxide for 20 min; Blocking buffer (normal goat serum) at 37°C for 30 min; Antibody incubation with (RGC32) Polyclonal Antibody, Unconjugated (TMAB-01614) at 1:200 overnight at 4°C, followed by operating according to SP Kit (Rabbit) instructionsand DAB staining.
verifiedActivityverifiedActivityverifiedActivityverifiedActivityverifiedActivityverifiedActivityverifiedActivity
应用FCMIFIHC-FrIHC-P
推荐剂量
FCM=1 μg/Test; IF=1:100-500; IHC-Fr=1:100-500; IHC-P=1:100-500
抗体种类
Polyclonal
宿主来源Rabbit
亚细胞定位Cytoplasm. Nucleus. Cytoplasm ?cytoskeleton ?centrosome. Note: Cytoplasmic in unstimulated cells. Nuclear after activation by complement. Associated with the centrosome during prometaphase and metaphase.
组织特异性Detected in brain, heart and liver (at protein level). Highly expressed in liver, skeletal muscle, kidney and pancreas. Detected at lower levels in heart, brain and placenta. Detected in aorta endothelial cells. Overexpressed in colon, breast, prostate, b
构建方式Polyclonal Antibody
纯化方式Protein A purified
性状Liquid
缓冲液0.01M TBS (pH7.4) with 1% BSA, 0.02% Proclin300 and 50% Glycerol.
浓度1 mg/mL
研究背景RGC32, also known as C13orf15, is a 137 amino acid protein that localizes to the cytoplasm, as well as to the nucleus and the centrosome. Expressed at high levels in kidney, pancreas and skeletal muscle and at lower levels in brain, heart and placenta, RGC32 functions to modulate the activity of cell cycle-specific kinases, thereby regulating cell cycle progression. Additionally, RGC32 may promote cell cycle arrest at the G2/M phase transition and is thought to inhibit the growth of glioma cells, possibly functioning as a tumor suppressor. Conversely, overexpression of RGC32 may promote cell replication and assist in the pathogenesis of malignancies, suggesting that RGC32 also participates in tumor transformation and progression. RGC32 activity is induced by complement activation and by p53 in response to DNA damage. Multiple isoforms of RGC32 exist as a result of alternative splicing events.
抗原信息
免疫原
KLH conjugated synthetic peptide: human RGC32
抗原种属
Human
基因名称
RGCC
基因ID
蛋白名称
Regulator of cell cycle RGCC
Uniprot ID
研究领域
p53 pathway,Cdks,p53,Cdks
功能
Modulates the activity of cell cycle-specific kinases. Enhances CDK1 activity. May contribute to the regulation of the cell cycle. May inhibit growth of glioma cells by promoting arrest of mitotic progression at the G2/M transition. Fibrogenic factor contributing to the pathogenesis of renal fibrosis through fibroblast activation.
化学信息
分子量Theoretical: 15 kDa.
储存&溶解度
储存方式Store at -20°C or -80°C for 12 months. Avoid repeated freeze-thaw cycles.
运输方式Shipping with blue ice.

计算器

  • 稀释 计算器
  • 配液 计算器
Related Tags: buy Anti-RGC32/C13orf15 Polyclonal Antibody | purchase Anti-RGC32/C13orf15 Polyclonal Antibody | Anti-RGC32/C13orf15 Polyclonal Antibody cost | order Anti-RGC32/C13orf15 Polyclonal Antibody | Anti-RGC32/C13orf15 Polyclonal Antibody molecular weight