购物车
  • TargetMol
    您的购物车当前为空

Anti-Phospho-AMPKα1/2 (Thr183/172) Polyclonal Antibody 2

Synonyms: p-AMPKα1/2 (Thr183/172), p-AMPKα1/2 (T183/172), AMPKα1/2 (p-Thr183/172), AMPKα1/2 (p-T183/172)
货号 TMAC-00187 一键复制产品信息
Rating icon 还可以

Anti-Phospho-AMPKα1/2 (Thr183/172) Polyclonal Antibody 是一种 Rabbit 抗体,靶向 Phospho-AMPKα1/2 (Thr183/172)。Anti-Phospho-AMPKα1/2 (Thr183/172) Polyclonal Antibody 可用于 IF,IHC,WB。

Anti-Phospho-AMPKα1/2 (Thr183/172) Polyclonal Antibody 2

一键复制产品信息
Rating icon 还可以
货号 TMAC-00187

别名 p-AMPKα1/2 (Thr183/172), p-AMPKα1/2 (T183/172), AMPKα1/2 (p-Thr183/172), AMPKα1/2 (p-T183/172)

Anti-Phospho-AMPKα1/2 (Thr183/172) Polyclonal Antibody 是一种 Rabbit 抗体,靶向 Phospho-AMPKα1/2 (Thr183/172)。Anti-Phospho-AMPKα1/2 (Thr183/172) Polyclonal Antibody 可用于 IF,IHC,WB。

Anti-Phospho-AMPKα1/2 (Thr183/172) Polyclonal Antibody 2
规格价格库存数量
50 μL
¥ 1,490
5日内发货
100 μL
¥ 2,230
5日内发货
库存状态实时更新,以官网显示为准,现货产品可直接加购物车下单
大包装 & 定制
加入购物车

TargetMol的所有产品仅用作科学研究或药证申报,不能被用于人体,我们不向个人提供产品和服务。请您遵守承诺用途,不得违反法律法规规定用于任何其他用途。

实验操作小课堂
常见问题解答
查看更多

资源下载:产品操作手册

产品介绍


生物活性
产品描述
Anti-Phospho-AMPKα1/2 (Thr183/172) Polyclonal Antibody is a Rabbit antibody targeting Phospho-AMPKα1/2 (Thr183/172). Anti-Phospho-AMPKα1/2 (Thr183/172) Polyclonal Antibody can be used in IF,IHC,WB.
别名
p-AMPKα1/2 (Thr183/172), p-AMPKα1/2 (T183/172), AMPKα1/2 (p-Thr183/172), AMPKα1/2 (p-T183/172)
Ig Type
IgG
反应种属
Human,Mouse,Rat
验证活性
1. Western Blot analysis of various cells using Phospho-AMPKα1/2 (T183/172) Polyclonal Antibody diluted at 1:500.
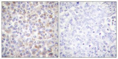
2. Immunohistochemical analysis of paraffin-embedded Human breast cancer. Antibody was diluted at 1:100(4°C overnight). High-pressure and temperature Tris-EDTA, pH8.0 was used for antigen retrieval. Negetive contrl (right) obtaned from antibody was pre-absorbed by immunogen peptide.
3. Immunofluorescence analysis of Hela cell. 1,AMPKα1/2 (phospho Thr183/172) Polyclonal Antibody(green) was diluted at 1:200(4°C overnight). (red) was diluted at 1:200(4°C overnight). 2, Goat Anti Rabbit Alexa Fluor 488 was diluted at 1:1000(room temperature, 50min). Goat Anti Mouse Alexa Fluor 594 was diluted at 1:1000(room temperature, 50min).
verifiedActivityverifiedActivityverifiedActivity
应用IFIHCWB
推荐剂量
WB: 1:500-2000; IHC: 1:100-300; IF: 1:50-200
抗体种类
Polyclonal
宿主来源Rabbit
构建方式Polyclonal Antibody
纯化方式The antibody was affinity-purified from rabbit antiserum by affinity-chromatography using epitope-specific immunogen.
性状Liquid
缓冲液Liquid in PBS containing 50% glycerol, 0.5% BSA and 0.02% sodium azide.
研究背景Catalytic subunit of AMP-activated protein kinase (AMPK), an energy sensor protein kinase that plays a key role in regulating cellular energy metabolism. In response to reduction of intracellular ATP levels, AMPK activates energy-producing pathways and inhibits energy-consuming processes: inhibits protein, carbohydrate and lipid biosynthesis, as well as cell growth and proliferation. AMPK acts via direct phosphorylation of metabolic enzymes, and by longer-term effects via phosphorylation of transcription regulators. Also acts as a regulator of cellular polarity by remodeling the actin cytoskeleton; probably by indirectly activating myosin. Regulates lipid synthesis by phosphorylating and inactivating lipid metabolic enzymes such as ACACA, ACACB, GYS1, HMGCR and LIPE; regulates fatty acid and cholesterol synthesis by phosphorylating acetyl-CoA carboxylase (ACACA and ACACB) and hormone-sensitive lipase (LIPE) enzymes, respectively. Regulates insulin-signaling and glycolysis by phosphorylating IRS1, PFKFB2 and PFKFB3. AMPK stimulates glucose uptake in muscle by increasing the translocation of the glucose transporter SLC2A4/GLUT4 to the plasma membrane, possibly by mediating phosphorylation of TBC1D4/AS160. Regulates transcription and chromatin structure by phosphorylating transcription regulators involved in energy metabolism such as CRTC2/TORC2, FOXO3, histone H2B, HDAC5, MEF2C, MLXIPL/ChREBP, EP300, HNF4A, p53/TP53, SREBF1, SREBF2 and PPARGC1A. Acts as a key regulator of glucose homeostasis in liver by phosphorylating CRTC2/TORC2, leading to CRTC2/TORC2 sequestration in the cytoplasm. In response to stress, phosphorylates 'Ser-36' of histone H2B (H2BS36ph), leading to promote transcription. Acts as a key regulator of cell growth and proliferation by phosphorylating TSC2, RPTOR and ATG1: in response to nutrient limitation, negatively regulates the mTORC1 complex by phosphorylating RPTOR component of the mTORC1 complex and by phosphorylating and activating TSC2. In response to nutrient limitation, promotes autophagy by phosphorylating and activating ULK1. AMPK also acts as a regulator of circadian rhythm by mediating phosphorylation of CRY1, leading to destabilize it. May regulate the Wnt signaling pathway by phosphorylating CTNNB1, leading to stabilize it. Also has tau-protein kinase activity: in response to amyloid beta A4 protein (APP) exposure, activated by CAMKK2, leading to phosphorylation of MAPT/TAU; however the relevance of such data remains unclear in vivo. Also phosphorylates CFTR, EEF2K, KLC1, NOS3 and SLC12A1.
偶联与修饰
偶联
Unconjugated
其他可选修饰符
Phospho
抗原信息
免疫原
A synthesized phosphopeptide: human AMPK alpha around the phosphorylation site of Thr172
抗原种属
human
化学信息
分子量Actual: 63 kDa.
储存&溶解度
储存方式Store at -20°C or -80°C for 12 months. Avoid repeated freeze-thaw cycles.
运输方式Shipping with blue ice.

计算器

  • 稀释 计算器
  • 配液 计算器
Related Tags: buy Anti-Phospho-AMPKα1/2 (Thr183/172) Polyclonal Antibody 2 | purchase Anti-Phospho-AMPKα1/2 (Thr183/172) Polyclonal Antibody 2 | Anti-Phospho-AMPKα1/2 (Thr183/172) Polyclonal Antibody 2 cost | order Anti-Phospho-AMPKα1/2 (Thr183/172) Polyclonal Antibody 2 | Anti-Phospho-AMPKα1/2 (Thr183/172) Polyclonal Antibody 2 molecular weight