购物车
  • TargetMol
    您的购物车当前为空

Anti-AKT1/2/3 Antibody (8U152)

Synonyms: STK-2, RAC-PK-gamma, RAC-PK-beta, RAC-PK-alpha, RAC-gamma serine/threonine-protein kinase, RAC-beta serine/threonine-protein kinase, RAC-alpha serine/threonine-protein kinase, Proto-oncogene c-Akt, Protein kinase B gamma, Protein kinase B beta, Protein kinase B alpha, Protein kinase B, Protein kinase Akt-3, Protein kinase Akt-2, PKBG, PKB RAC, PKB gamma, PKB beta, PKB alpha, PKB, EC 2.7.11.1, AKT3, AKT2, AKT1, AKT 3, AKT 2, AKT 1
货号 TMAC-00126 一键复制产品信息
Rating icon 还可以

Anti-AKT1/2/3 Antibody (8U152) 是一种 Rabbit 抗体,靶向 AKT1/2/3。Anti-AKT1/2/3 Antibody (8U152) 可用于 FCM,ICC/IF,IHC,IP,WB。

Anti-AKT1/2/3 Antibody (8U152)

一键复制产品信息
Rating icon 还可以
货号 TMAC-00126

别名 STK-2, RAC-PK-gamma, RAC-PK-beta, RAC-PK-alpha, RAC-gamma serine/threonine-protein kinase, RAC-beta serine/threonine-protein kinase, RAC-alpha serine/threonine-protein kinase, Proto-oncogene c-Akt, Protein kinase B gamma, Protein kinase B beta, Protein kinase B alpha, Protein kinase B, Protein kinase Akt-3, Protein kinase Akt-2, PKBG, PKB RAC, PKB gamma, PKB beta, PKB alpha, PKB, EC 2.7.11.1, AKT3, AKT2, AKT1, AKT 3, AKT 2, AKT 1

Anti-AKT1/2/3 Antibody (8U152) 是一种 Rabbit 抗体,靶向 AKT1/2/3。Anti-AKT1/2/3 Antibody (8U152) 可用于 FCM,ICC/IF,IHC,IP,WB。

Anti-AKT1/2/3 Antibody (8U152)
规格价格库存数量
50 μL
¥ 1,480
5日内发货
100 μL
¥ 2,485
5日内发货
库存状态实时更新,以官网显示为准,现货产品可直接加购物车下单
大包装 & 定制
加入购物车
TargetMol的所有产品仅用作科学研究或药证申报,不能被用于人体,我们不向个人提供产品和服务。请您遵守承诺用途,不得违反法律法规规定用于任何其他用途。
实验操作小课堂
常见问题解答
查看更多

资源下载:产品操作手册

产品介绍


生物活性
产品描述
Anti-AKT1/2/3 Antibody (8U152) is a Rabbit antibody targeting AKT1/2/3. Anti-AKT1/2/3 Antibody (8U152) can be used in FCM,ICC/IF,IHC,IP,WB.
别名STK-2, RAC-PK-gamma, RAC-PK-beta, RAC-PK-alpha, RAC-gamma serine/threonine-protein kinase, RAC-beta serine/threonine-protein kinase, RAC-alpha serine/threonine-protein kinase, Proto-oncogene c-Akt, Protein kinase B gamma, Protein kinase B beta, Protein kinase B alpha, Protein kinase B, Protein kinase Akt-3, Protein kinase Akt-2, PKBG, PKB RAC, PKB gamma, PKB beta, PKB alpha, PKB, EC 2.7.11.1, AKT3, AKT2, AKT1, AKT 3, AKT 2, AKT 1
Ig Type
IgG
克隆号
8U152
反应种属
Human,Mouse,Rat
验证活性
1. Western blot analysis of AKT1/2/3 on MCF-7 cell lysates using anti-AKT1/2/3 antibody at 1/1,000 dilution.
2. Immunohistochemical analysis of paraffin-embedded human kidney tissue using anti-AKT1/2/3 antibody. Counter stained with hematoxylin.
3. Immunohistochemical analysis of paraffin-embedded mouse brain tissue using anti-AKT1/2/3 antibody. Counter stained with hematoxylin.
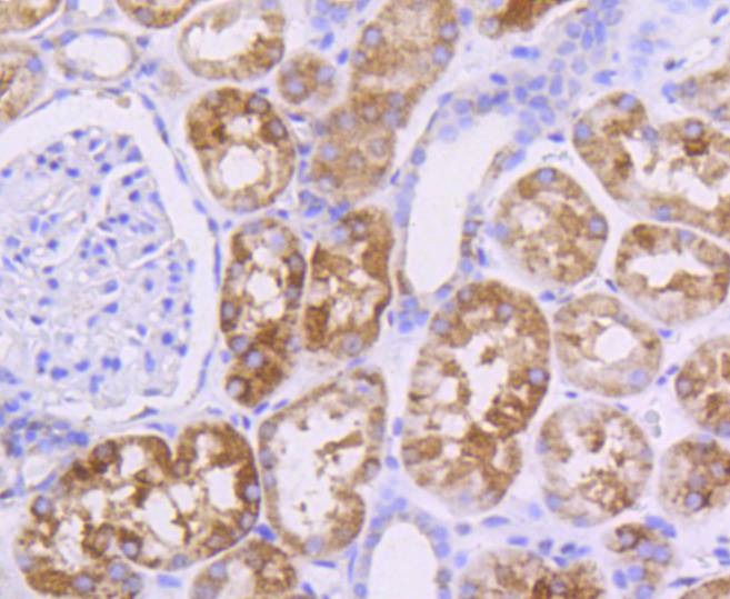
4. Immunohistochemical analysis of paraffin-embedded mouse kidney tissue using anti-AKT1/2/3 antibody. Counter stained with hematoxylin.
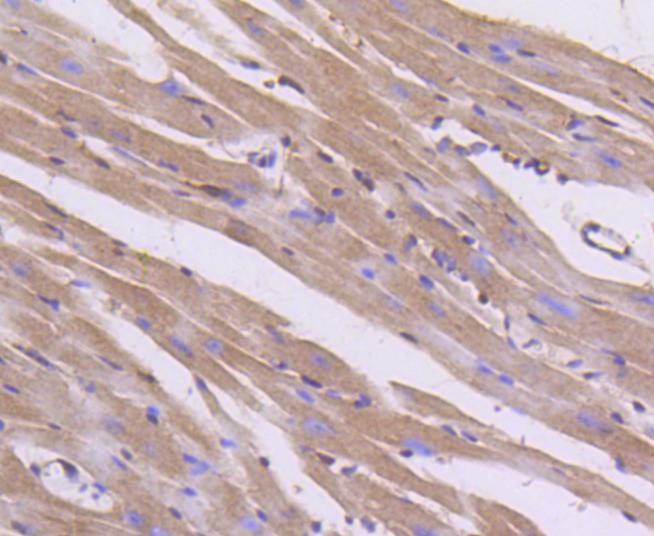
5. Immunohistochemical analysis of paraffin-embedded mouse heart tissue using anti-AKT1/2/3 antibody. Counter stained with hematoxylin.
6. ICC staining AKT1/2/3 in A549 cells (green). The nuclear counter stain is DAPI (blue). Cells were fixed in paraformaldehyde, permeabilised with 0.25% Triton X100/PBS.
7. ICC staining AKT1/2/3 in CRC cells (green). The nuclear counter stain is DAPI (blue). Cells were fixed in paraformaldehyde, permeabilised with 0.25% Triton X100/PBS.
8. ICC staining AKT1/2/3 in SH-SY-5Y cells (green). The nuclear counter stain is DAPI (blue). Cells were fixed in paraformaldehyde, permeabilised with 0.25% Triton X100/PBS.
9. Flow cytometric analysis of A549 cells with AKT1/2/3 antibody at 1/50 dilution (blue) compared with an unlabelled control (cells without incubation with primary antibody; red). Alexa Fluor 488-conjugated goat anti rabbit IgG was used as the secondary antibody.
verifiedActivityverifiedActivityverifiedActivityverifiedActivityverifiedActivityverifiedActivityverifiedActivityverifiedActivityverifiedActivity
应用FCMICC/IFIHCIPWB
推荐剂量
WB: 1:1000-5000; IHC: 1:50-200; ICC/IF: 1:50-200; FCM: 1:50-100
抗体种类
Monoclonal
宿主来源Rabbit
构建方式Recombinant Antibody
纯化方式ProA affinity purified
性状Liquid
缓冲液1*TBS (pH7.4), 1%BSA, 40%Glycerol. Preservative: 0.05% Sodium Azide.
研究背景The serine/threonine kinase Akt family contains several members, including Akt1 (also designated PKB or RacPK), Akt2 (also designated PKBβ or RacPK-β) and Akt 3 (also designated PKBγ or thyoma viral proto-oncogene 3), which exhibit sequence homology with the protein kinase A and C families and are encoded by the c-Akt proto-oncogene. All members of the Akt family have a pleckstrin homology domain. Akt1 and Akt2 are activated by PDGF stimulation. This activation is dependent on PDGFR-β tyrosine residues 740 and 751, which bind the subunit of the phosphatidylinositol 3-kinase (PI 3-kinase) complex. Activation of Akt1 by insulin or insulin-growth factor-1(IGF-1) results in phosphorylation of both Thr 308 and Ser 473. Phosphorylation of both residues is important to generate a high level of Akt1 activity, and the phosphorylation of Thr 308 is not dependent on phosphorylation of Ser 473 in vivo. Thus, Akt proteins become phosphorylated and activated in insulin/IGF-1-stimulated cells by an upstream kinase(s). The activation of Akt1 and Akt2 is inhibited by the PI kinase inhibitor wortmannin, suggesting that the protein signals downstream of the PI kinases.
偶联与修饰
偶联
Unconjugated
抗原信息
免疫原
Recombinant Protein
Uniprot ID
化学信息
分子量Theoretical: 56 kDa.
储存&溶解度
储存方式Store at -20°C or -80°C for 12 months. Avoid repeated freeze-thaw cycles.
运输方式Shipping with blue ice.

计算器

  • 稀释 计算器
  • 配液 计算器
Related Tags: buy Anti-AKT1/2/3 Antibody (8U152) | purchase Anti-AKT1/2/3 Antibody (8U152) | Anti-AKT1/2/3 Antibody (8U152) cost | order Anti-AKT1/2/3 Antibody (8U152) | Anti-AKT1/2/3 Antibody (8U152) molecular weight