购物车
  • TargetMol
    您的购物车当前为空

Anti-Phospho-RAF1 (Ser259) Antibody (2M259)

Synonyms: RAF1 (p-Ser259), RAF1 (p-S259), p-RAF1 (Ser259), p-RAF1 (S259), Phospho-RAF1 (S259)
货号 TMAC-03257 一键复制产品信息
Rating icon 还可以

Anti-Phospho-RAF1 (Ser259) Antibody (2M259) 是一种 Rabbit 抗体,靶向 Phospho-RAF1 (Ser259)。Anti-Phospho-RAF1 (Ser259) Antibody (2M259) 可用于 WB,IHC。

Anti-Phospho-RAF1 (Ser259) Antibody (2M259)

一键复制产品信息
Rating icon 还可以
货号 TMAC-03257

别名 RAF1 (p-Ser259), RAF1 (p-S259), p-RAF1 (Ser259), p-RAF1 (S259), Phospho-RAF1 (S259)

Anti-Phospho-RAF1 (Ser259) Antibody (2M259) 是一种 Rabbit 抗体,靶向 Phospho-RAF1 (Ser259)。Anti-Phospho-RAF1 (Ser259) Antibody (2M259) 可用于 WB,IHC。

Anti-Phospho-RAF1 (Ser259) Antibody (2M259)
规格价格库存数量
50 μL
¥ 1,485
5日内发货
100 μL
¥ 2,490
5日内发货
库存状态实时更新,以官网显示为准,现货产品可直接加购物车下单
大包装 & 定制
加入购物车

TargetMol的所有产品仅用作科学研究或药证申报,不能被用于人体,我们不向个人提供产品和服务。请您遵守承诺用途,不得违反法律法规规定用于任何其他用途。

实验操作小课堂
常见问题解答
查看更多

资源下载:产品操作手册

产品介绍


生物活性
产品描述
Anti-Phospho-RAF1 (Ser259) Antibody (2M259) is a Rabbit antibody targeting Phospho-RAF1 (Ser259). Anti-Phospho-RAF1 (Ser259) Antibody (2M259) can be used in IHC,WB.
别名
RAF1 (p-Ser259), RAF1 (p-S259), p-RAF1 (Ser259), p-RAF1 (S259), Phospho-RAF1 (S259)
Ig Type
IgG
克隆号
2M259
反应种属
Human,Mouse,Rat
验证活性
1. Western blot analysis of Phospho-Raf1 (S259) on different lysates using anti-Phospho-Raf1 (S259) antibody at 1/1,000 dilution. Positive control: Lane 1: Human skeletal muscle, Lane 2: Hela.
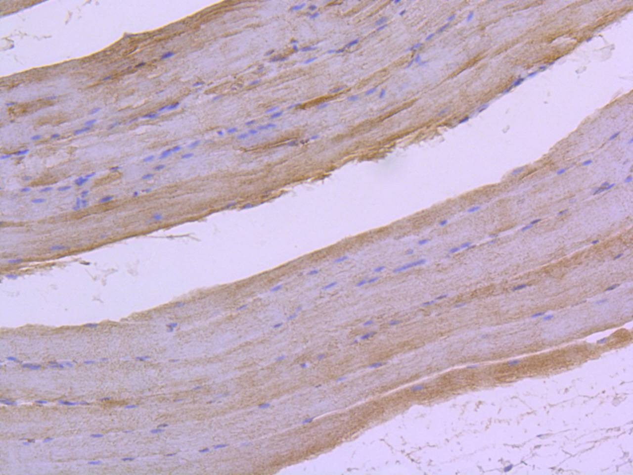
2. Immunohistochemical analysis of paraffin-embedded rat skeletal muscle tissue using anti-Phospho-Raf1 (S259) antibody. Counter stained with hematoxylin.
verifiedActivityverifiedActivity
应用IHCWB
推荐剂量
WB: 1:1000-2000; IHC: 1:50-200
抗体种类
Monoclonal
宿主来源Rabbit
构建方式Recombinant Antibody
纯化方式ProA affinity purified
性状Liquid
缓冲液1*TBS (pH7.4), 1%BSA, 40%Glycerol. Preservative: 0.05% Sodium Azide.
研究背景Raf-1 is a ubiquitously expressed cytoplasmic protein with intrinsic serine/threonine kinase activity. Raf-1, or c-Raf, is the cellular homolog of v-Raf, the product of the transforming gene of the 3611 strain of murine sarcoma virus. The unregulated kinase activity of the v-Raf protein is associated with cellular transformation and mitogenesis. Raf-1 is normally suppressed by its regulatory N-terminal domain. Raf-1 is activated in response to a variety of tyrosine kinase receptors as well as in response to pp60v-Src expression. Specifically, Raf-1 is phosphorylated in the catalytic domain at Ser 338 and, to a lesser extent, Ser 339. This phosphorylation requires the co-activation of PI 3-kinase and the Ras signaling pathway. Raf-1 is also phosphorylated on Tyr 340 and 341, which induces the phosphorylation of MEK. Phosphorylation of Ser 621 is essential for the catalytic activity of Raf-1 and downregulation by c-AMP-dependent protein kinase A (PKA). PKA also phosphorylates Raf-1 on Ser 43 and Ser 259. PKA phosphorylation of Ser 259 inhibits Raf-1 and decreases the phosphorylation necessary for Raf-1 activation at Ser 338.
偶联与修饰
偶联
Unconjugated
其他可选修饰符
Phospho
抗原信息
免疫原
A synthesized phosphopeptide: human Raf1 around the phosphorylation site of Ser259
抗原种属
human
Uniprot ID
化学信息
分子量Theoretical: 73 kDa.
储存&溶解度
储存方式Store at -20°C or -80°C for 12 months. Avoid repeated freeze-thaw cycles.
运输方式Shipping with blue ice.

计算器

  • 稀释 计算器
  • 配液 计算器
Related Tags: buy Anti-Phospho-RAF1 (Ser259) Antibody (2M259) | purchase Anti-Phospho-RAF1 (Ser259) Antibody (2M259) | Anti-Phospho-RAF1 (Ser259) Antibody (2M259) cost | order Anti-Phospho-RAF1 (Ser259) Antibody (2M259) | Anti-Phospho-RAF1 (Ser259) Antibody (2M259) molecular weight