购物车
  • TargetMol
    您的购物车当前为空

Anti-BCL2A1 Antibody (2U316)

Synonyms: HBPA1, GRS, BFL1, BCL2L5, BCL2 related protein A1, ACC-2, ACC2, ACC-1, ACC1
货号 TMAB-00200 一键复制产品信息
Rating icon 还可以

Anti-BCL2A1 Antibody (2U316) 是一种 Rabbit 抗体,靶向 BCL2A1。Anti-BCL2A1 Antibody (2U316) 可用于 ICC/IF,IF,IHC-Fr,IHC-P,WB。

Anti-BCL2A1 Antibody (2U316)

一键复制产品信息
Rating icon 还可以
货号 TMAB-00200

别名 HBPA1, GRS, BFL1, BCL2L5, BCL2 related protein A1, ACC-2, ACC2, ACC-1, ACC1

Anti-BCL2A1 Antibody (2U316) 是一种 Rabbit 抗体,靶向 BCL2A1。Anti-BCL2A1 Antibody (2U316) 可用于 ICC/IF,IF,IHC-Fr,IHC-P,WB。

Anti-BCL2A1 Antibody (2U316)
规格价格库存数量
25 μL
¥ 795
5日内发货
50 μL
¥ 1,385
5日内发货
100 μL
¥ 2,495
5日内发货
库存状态实时更新,以官网显示为准,现货产品可直接加购物车下单
大包装 & 定制
加入购物车

TargetMol的所有产品仅用作科学研究或药证申报,不能被用于人体,我们不向个人提供产品和服务。请您遵守承诺用途,不得违反法律法规规定用于任何其他用途。

实验操作小课堂
常见问题解答
查看更多

资源下载:产品操作手册

产品介绍


生物活性
产品描述
Anti-BCL2A1 Antibody (2U316) is a Rabbit antibody targeting BCL2A1. Anti-BCL2A1 Antibody (2U316) can be used in ICC/IF,IF,IHC-Fr,IHC-P,WB.
别名
HBPA1, GRS, BFL1, BCL2L5, BCL2 related protein A1, ACC-2, ACC2, ACC-1, ACC1
Ig Type
IgG
克隆号
2U316
反应种属
Human,Mouse (predicted:Rat)
验证活性
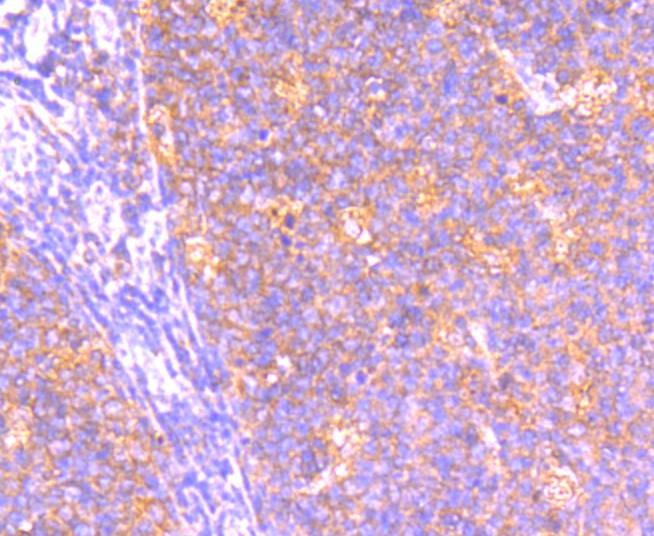
1. Immunohistochemical analysis of paraffin-embedded human tonsil tissue with Rabbit anti-BCL2A1 antibody (TMAB-00200) at 1/50 dilution.
The section was pre-treated using heat mediated antigen retrieval with Tris-EDTA buffer (pH9.0) for 20 min. The tissues were blocked in 1% BSA for 20 min at room temperature, washed with ddH2O and PBS, and then probed with the primary antibody (TMAB-00200) at 1/50 dilution for 1 hour at room temperature. The detection was performed using an HRP conjugated compact polymer system. DAB was used as the chromogen. Tissues were counterstained with hematoxylin and mounted with DPX.
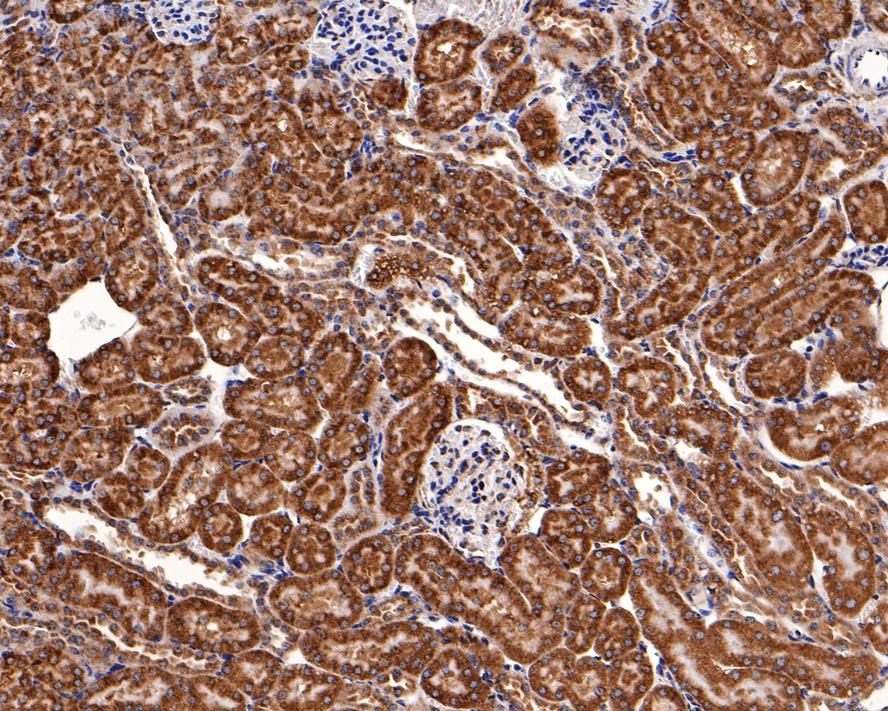
2. Immunohistochemical analysis of paraffin-embedded mouse kidney tissue with Rabbit anti-BCL2A1 antibody (TMAB-00200) at 1/400 dilution.
The section was pre-treated using heat mediated antigen retrieval with Tris-EDTA buffer (pH9.0) for 20 min. The tissues were blocked in 1% BSA for 20 min at room temperature, washed with ddH2O and PBS, and then probed with the primary antibody (TMAB-002000) at 1/400 dilution for 1 hour at room temperature. The detection was performed using an HRP conjugated compact polymer system. DAB was used as the chromogen. Tissues were counterstained with hematoxylin and mounted with DPX.
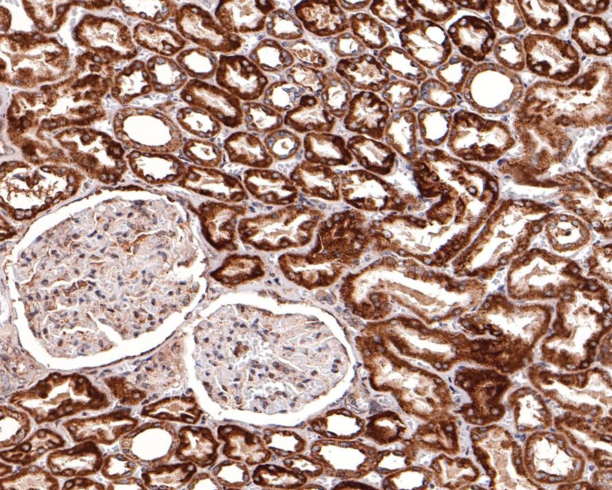
3. Immunohistochemical analysis of paraffin-embedded human kidney tissue with Rabbit anti-BCL2A1 antibody (TMAB-00200) at 1/400 dilution.
The section was pre-treated using heat mediated antigen retrieval with Tris-EDTA buffer (pH9.0) for 20 min. The tissues were blocked in 1% BSA for 20 min at room temperature, washed with ddH2O and PBS, and then probed with the primary antibody (TMAB-00200) at 1/400 dilution for 1 hour at room temperature. The detection was performed using an HRP conjugated compact polymer system. DAB was used as the chromogen. Tissues were counterstained with hematoxylin and mounted with DPX
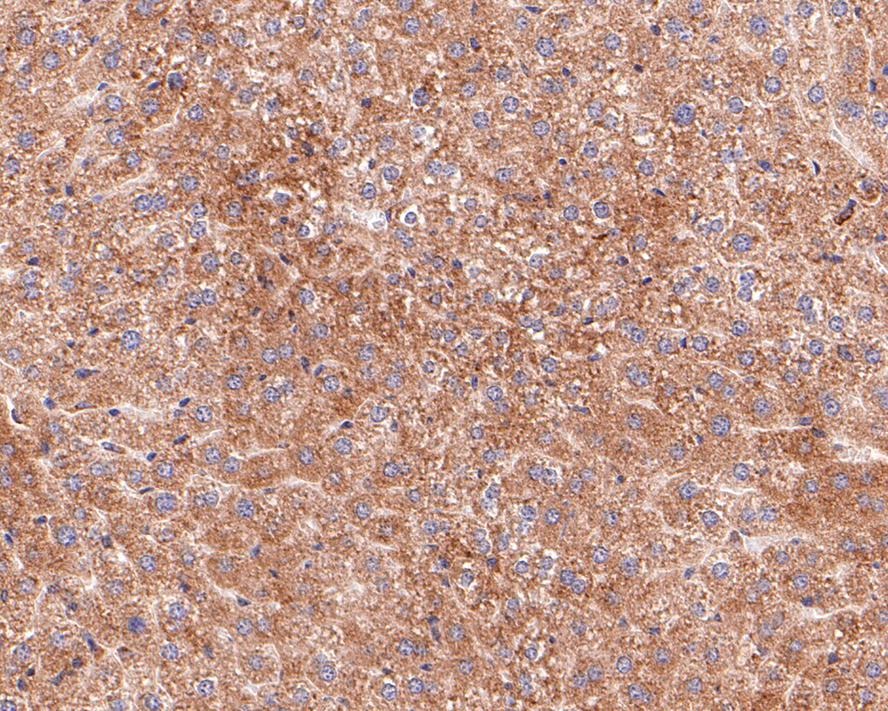
4. Immunohistochemical analysis of paraffin-embedded mouse liver tissue with Rabbit anti-BCL2A1 antibody (TMAB-00200) at 1/100 dilution.
The section was pre-treated using heat mediated antigen retrieval with Tris-EDTA buffer (pH9.0) for 20 min. The tissues were blocked in 1% BSA for 20 min at room temperature, washed with ddH2O and PBS, and then probed with the primary antibody (TMAB-00200) at 1/100 dilution for 1 hour at room temperature. The detection was performed using an HRP conjugated compact polymer system. DAB was used as the chromogen. Tissues were counterstained with hematoxylin and mounted with DPX.
verifiedActivityverifiedActivityverifiedActivityverifiedActivity
应用ICC/IFIFIHC-FrIHC-PWB
推荐剂量
WB: 1:500-2000; IHC-P: 1:50-200; IHC-Fr: 1:50-200; ICC/IF: 1:50-200; IF: 1:50-200
抗体种类
Monoclonal
宿主来源Rabbit
亚细胞定位Cytoplasm.
组织特异性Seems to be restricted to the hematopoietic compartment. Expressed in peripheral blood, spleen, and bone marrow, at moderate levels in lung, small intestine and testis, at a minimal levels in other tissues. Also found in vascular smooth muscle cells and h
构建方式Recombinant Antibody
纯化方式Protein A purified
性状Liquid
缓冲液0.01M TBS (pH7.4) with 1% BSA, 0.02% Proclin300 and 50% Glycerol.
浓度1 mg/mL
研究背景This gene encodes a member of the BCL-2 protein family. The proteins of this family form hetero- or homodimers and act as anti- and pro-apoptotic regulators that are involved in a wide variety of cellular activities such as embryonic development, homeostasis and tumorigenesis. The protein encoded by this gene is able to reduce the release of pro-apoptotic cytochrome c from mitochondria and block caspase activation. This gene is a direct transcription target of NF-kappa B in response to inflammatory mediators, and is up-regulated by different extracellular signals, such as granulocyte-macrophage colony-stimulating factor (GM-CSF), CD40, phorbol ester and inflammatory cytokine TNF and IL-1, which suggests a cytoprotective function that is essential for lymphocyte activation as well as cell survival. Alternatively spliced transcript variants encoding different isoforms have been found for this gene. [provided by RefSeq, Jul 2008]
抗原信息
免疫原
A synthesized peptide: human Bcl 2 A1
抗原种属
Human
基因名称
BCL2A1
基因ID
蛋白名称
Bcl-2-related protein A1
研究领域
Bcl2 Family
功能
Retards apoptosis induced by IL-3 deprivation. May function in the response of hemopoietic cells to external signals and in maintaining endothelial survival during infection.
化学信息
分子量Theoretical: 29 kDa.
储存&溶解度
储存方式Store at -20°C or -80°C for 12 months. Avoid repeated freeze-thaw cycles.
运输方式Shipping with blue ice.

计算器

  • 稀释 计算器
  • 配液 计算器
Related Tags: buy Anti-BCL2A1 Antibody (2U316) | purchase Anti-BCL2A1 Antibody (2U316) | Anti-BCL2A1 Antibody (2U316) cost | order Anti-BCL2A1 Antibody (2U316) | Anti-BCL2A1 Antibody (2U316) molecular weight