购物车
  • TargetMol
    您的购物车当前为空

Anti-Phospho-EIF2AK2 (Thr446) Polyclonal Antibody 2

Synonyms: p68 kinase, EIF2AK2 (p-Thr446), EIF2AK2 (p-T446), EIF2AK2 (pT446), EIF2AK2 (phospho-Thr446), eIF2A protein kinase2
货号 TMAC-03356 一键复制产品信息
Rating icon 还可以

Anti-Phospho-EIF2AK2 (Thr446) Polyclonal Antibody 是一种 Rabbit 抗体,靶向 Phospho-EIF2AK2 (Thr446)。Anti-Phospho-EIF2AK2 (Thr446) Polyclonal Antibody 可用于 IF,IHC,IP,WB。

Anti-Phospho-EIF2AK2 (Thr446) Polyclonal Antibody 2

一键复制产品信息
Rating icon 还可以
货号 TMAC-03356

别名 p68 kinase, EIF2AK2 (p-Thr446), EIF2AK2 (p-T446), EIF2AK2 (pT446), EIF2AK2 (phospho-Thr446), eIF2A protein kinase2

Anti-Phospho-EIF2AK2 (Thr446) Polyclonal Antibody 是一种 Rabbit 抗体,靶向 Phospho-EIF2AK2 (Thr446)。Anti-Phospho-EIF2AK2 (Thr446) Polyclonal Antibody 可用于 IF,IHC,IP,WB。

Anti-Phospho-EIF2AK2 (Thr446) Polyclonal Antibody 2
规格价格库存数量
50 μL
¥ 1,480
5日内发货
100 μL
¥ 2,490
5日内发货
库存状态实时更新,以官网显示为准,现货产品可直接加购物车下单
大包装 & 定制
加入购物车

TargetMol的所有产品仅用作科学研究或药证申报,不能被用于人体,我们不向个人提供产品和服务。请您遵守承诺用途,不得违反法律法规规定用于任何其他用途。

实验操作小课堂
常见问题解答
查看更多

资源下载:产品操作手册

产品介绍


生物活性
产品描述
Anti-Phospho-EIF2AK2 (Thr446) Polyclonal Antibody is a Rabbit antibody targeting Phospho-EIF2AK2 (Thr446). Anti-Phospho-EIF2AK2 (Thr446) Polyclonal Antibody can be used in IF,IHC,IP,WB.
别名
p68 kinase, EIF2AK2 (p-Thr446), EIF2AK2 (p-T446), EIF2AK2 (pT446), EIF2AK2 (phospho-Thr446), eIF2A protein kinase2
反应种属
Human,Mouse,Rat
验证活性
1. Western blot analysis of phosphorylated PKR expression in K-562 (A) and starved K-562 (B) whole cell lysates.
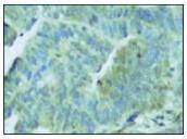
2. Immunoperoxidase staining of formalin-fixed, paraffin-embedded human colon carcinoma tissue showing cytoplasmic staining.
verifiedActivityverifiedActivity
应用IFIHCIPWB
推荐剂量
WB: 1:100-1000; IHC: 1:50-500; IP: 1-2 μg per 100-500 μg of total protein(1 ml of cell lysate)
抗体种类
Polyclonal
宿主来源Rabbit
构建方式Polyclonal Antibody
纯化方式Immunogen affinity purified
性状Liquid
缓冲液1*TBS (pH7.4), 1%BSA, 40%Glycerol. Preservative: 0.05% Sodium Azide.
研究背景An interferon-inducible, RNA-dependent protein serine/threonine kinase, PKR has various designations. Mouse PKR is known as DAI, dsJ, PI kinase, p65, p67 or TIK, whereas human PKR is known as p68 or p69. PKR phosphorylates its substrate, a subunit of protein synthesis initiation factor eIF-2 on Ser 51 to inhibit translation. PKR contains two dsRNA binding motifs required for its activation by dsRNA. Three kinds of regulation of PKR enzymatic activity occur, and these include transcriptional regulation in response to interferon, an autoregulatory mechanism controlling PKR expression at the level of translation, and posttranslational regulation by RNA mediated autophosphorylation. Human PKR contains at least 15 autophosphorylation sites, but only Thr-446 and Thr-451 in the activation loop are critical for its kinase activity. Thr-446 is the in vivo autophosphorylation site of PKR. Mutation of threonine to alanine at position 446 substantially reduces PKR function, and mutant kinase containing Ala-451 is completely inactive.
偶联与修饰
偶联
Unconjugated
其他可选修饰符
Phospho
抗原信息
免疫原
Amino acid sequence containing phosphorylated Thr 446 of PKR of human origin
抗原种属
human
Uniprot ID
化学信息
分子量Theoretical: 68 kDa.
储存&溶解度
储存方式Store at -20°C or -80°C for 12 months. Avoid repeated freeze-thaw cycles.
运输方式Shipping with blue ice.

计算器

  • 稀释 计算器
  • 配液 计算器
Related Tags: buy Anti-Phospho-EIF2AK2 (Thr446) Polyclonal Antibody 2 | purchase Anti-Phospho-EIF2AK2 (Thr446) Polyclonal Antibody 2 | Anti-Phospho-EIF2AK2 (Thr446) Polyclonal Antibody 2 cost | order Anti-Phospho-EIF2AK2 (Thr446) Polyclonal Antibody 2 | Anti-Phospho-EIF2AK2 (Thr446) Polyclonal Antibody 2 molecular weight