购物车
  • TargetMol
    您的购物车当前为空

Anti-PGK1 Antibody (2Q169)

Synonyms: Primer recognition protein 2, Phosphoglycerate kinase 1, PGKA, PGK1, Cell migration-inducing gene 10 protein
货号 TMAB-01377 一键复制产品信息
Rating icon 还可以

Anti-PGK1 Antibody (2Q169) 是一种 Mouse 抗体,靶向 PGK1。Anti-PGK1 Antibody (2Q169) 可用于 IF, IHC-Fr, IHC-P, WB。

Anti-PGK1 Antibody (2Q169)

一键复制产品信息
Rating icon 还可以
货号 TMAB-01377

别名 Primer recognition protein 2, Phosphoglycerate kinase 1, PGKA, PGK1, Cell migration-inducing gene 10 protein

Anti-PGK1 Antibody (2Q169) 是一种 Mouse 抗体,靶向 PGK1。Anti-PGK1 Antibody (2Q169) 可用于 IF, IHC-Fr, IHC-P, WB。

Anti-PGK1 Antibody (2Q169)
规格价格库存数量
50 μL
¥ 1,175
5日内发货
100 μL
¥ 1,960
5日内发货
库存状态实时更新,以官网显示为准,现货产品可直接加购物车下单
大包装 & 定制
加入购物车

TargetMol的所有产品仅用作科学研究或药证申报,不能被用于人体,我们不向个人提供产品和服务。请您遵守承诺用途,不得违反法律法规规定用于任何其他用途。

实验操作小课堂
常见问题解答
查看更多

资源下载:产品操作手册

产品介绍


生物活性
产品描述
Anti-PGK1 Antibody (2Q169) is a Mouse antibody targeting PGK1. Anti-PGK1 Antibody (2Q169) can be used in IF, IHC-Fr, IHC-P, WB.
别名
Primer recognition protein 2, Phosphoglycerate kinase 1, PGKA, PGK1, Cell migration-inducing gene 10 protein
Ig Type
IgG2a, κ
克隆号
2Q169
反应种属
Human,Mouse
验证活性
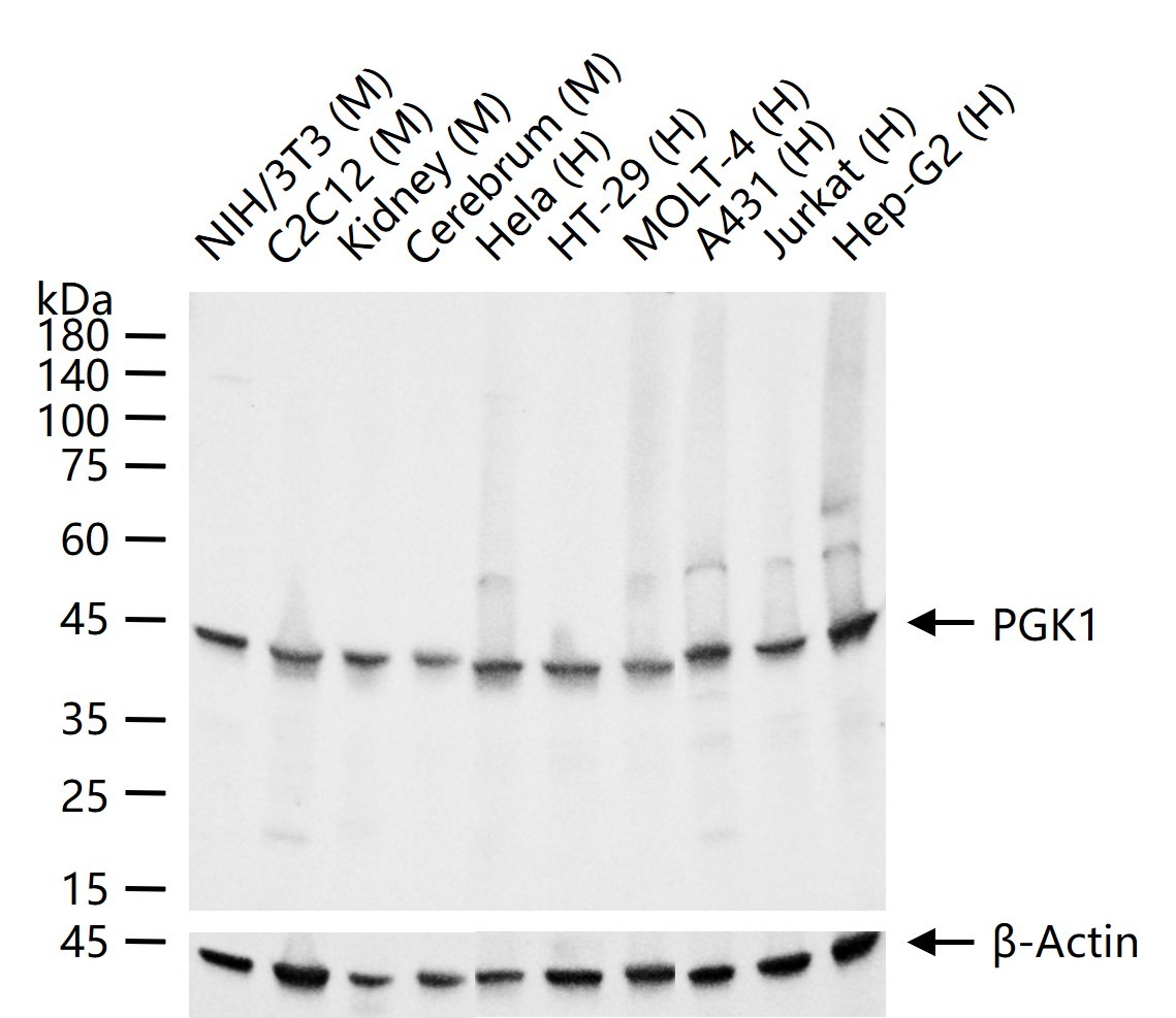
25 μg total protein per Lane of various lysates probed with PGK1 monoclonal antibody, unconjugated (TMAB-01377) at 1:1000 dilution and 4°C overnight incubation. Followed by conjugated secondary antibody incubation at RT for 60 min.
verifiedActivity
应用IFIHC-FrIHC-PWB
推荐剂量
IF=1:100-500; IHC-Fr=1:100-500; IHC-P=1:100-500; WB=1:500-2000
抗体种类
Monoclonal
宿主来源Mouse
亚细胞定位Cytoplasm.
构建方式Hybridoma Monoclonal Antibody
纯化方式Protein A purified
性状Liquid
缓冲液0.01M TBS (pH7.4) with 1% BSA, 0.02% Proclin300 and 50% Glycerol.
浓度1 mg/mL
研究背景The protein encoded by this gene is a glycolytic enzyme that catalyzes the conversion of 1,3-diphosphoglycerate to 3-phosphoglycerate. The encoded protein may also act as a cofactor for polymerase alpha. This gene lies on the X-chromosome, while a related pseudogene also has been found on the X-chromosome and another on chromosome 19. [provided by RefSeq]
抗原信息
免疫原
KLH conjugated synthetic peptide: human PGK1
抗原种属
Human
基因名称
PGK1
基因ID
蛋白名称
phosphoglycerate kinase 1
Uniprot ID
研究领域
Energy Metabolism,Energy Metabolism,Carbohydrate metabolism,Blood,Metabolism of carbohydrates
功能
In addition to its role as a glycolytic enzyme, it seems that PGK-1 acts as a polymerase alpha cofactor protein (primer recognition protein).
化学信息
分子量Theoretical: 44 kDa. Actual: 44 kDa.
储存&溶解度
储存方式Store at -20°C or -80°C for 12 months. Avoid repeated freeze-thaw cycles.
运输方式Shipping with blue ice.

计算器

  • 稀释 计算器
  • 配液 计算器

关键词

Related Tags: buy Anti-PGK1 Antibody (2Q169) | purchase Anti-PGK1 Antibody (2Q169) | Anti-PGK1 Antibody (2Q169) cost | order Anti-PGK1 Antibody (2Q169) | Anti-PGK1 Antibody (2Q169) molecular weight