购物车
  • TargetMol
    您的购物车当前为空

Anti-p53 DINP1 Antibody (7A906)

Synonyms: Tumor suppressor p53, Tp53, P53, Cellular tumor antigen p53
货号 TMAC-02989 一键复制产品信息
Rating icon 还可以

Anti-p53 DINP1 DINP1 Antibody (7A906) 是一种 Rabbit 抗体,靶向 p53 DINP1。Anti-p53 DINP1 DINP1 Antibody (7A906) 可用于 ICC,IF,IHC,WB。

Anti-p53 DINP1 Antibody (7A906)

一键复制产品信息
Rating icon 还可以
货号 TMAC-02989

别名 Tumor suppressor p53, Tp53, P53, Cellular tumor antigen p53

Anti-p53 DINP1 DINP1 Antibody (7A906) 是一种 Rabbit 抗体,靶向 p53 DINP1。Anti-p53 DINP1 DINP1 Antibody (7A906) 可用于 ICC,IF,IHC,WB。

Anti-p53 DINP1 Antibody (7A906)
规格价格库存数量
50 μL
¥ 1,490
5日内发货
100 μL
¥ 2,480
5日内发货
库存状态实时更新,以官网显示为准,现货产品可直接加购物车下单
大包装 & 定制
加入购物车

TargetMol的所有产品仅用作科学研究或药证申报,不能被用于人体,我们不向个人提供产品和服务。请您遵守承诺用途,不得违反法律法规规定用于任何其他用途。

实验操作小课堂
常见问题解答
查看更多

资源下载:产品操作手册

产品介绍


生物活性
产品描述
Anti-p53 DINP1 DINP1 Antibody (7A906) is a Rabbit antibody targeting p53 DINP1. Anti-p53 DINP1 DINP1 Antibody (7A906) can be used in ICC,IF,IHC,WB.
别名
Tumor suppressor p53, Tp53, P53, Cellular tumor antigen p53
Ig Type
IgG
克隆号
7A906
反应种属
Human,Mouse,Rat
验证活性
1. Western blot analysis of p53DINP1 on different cell lysates using anti-p53DINP1 at 1/500 dilution. Positive control: Line 1: SH-SY-5Y, Line 2: HepG2, Line 3: Mouse stomach, Line 3: Human stomach.
2. Immunohistochemical analysis of paraffin-embedded huamn liver cancer tissue using anti-p53DINP1 antibody. Counter stained with hematoxylin.
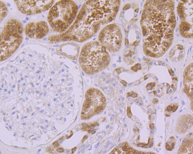
3. Immunohistochemical analysis of paraffin-embedded human kidney tissue using anti-p53DINP1 antibody. Counter stained with hematoxylin.
4. Immunohistochemical analysis of paraffin-embedded human pancreas tissue using anti-p53DINP1 antibody. Counter stained with hematoxylin.
5. ICC staining p53DINP1 in HepG2 cells (green). The nuclear counter stain is DAPI (blue). Cells were fixed in paraformaldehyde, permeabilised with 0.25% Triton X100/PBS.
6. ICC staining p53DINP1 in HUVEC cells (green). The nuclear counter stain is DAPI (blue). Cells were fixed in paraformaldehyde, permeabilised with 0.25% Triton X100/PBS.
verifiedActivityverifiedActivityverifiedActivityverifiedActivityverifiedActivityverifiedActivity
应用ICCIFIHCWB
推荐剂量
WB: 1:500-1000; IHC: 1:50-200; ICC: 1:50-200
抗体种类
Monoclonal
宿主来源Rabbit
构建方式Recombinant Antibody
纯化方式ProA affinity purified
性状Liquid
缓冲液1*TBS (pH7.4), 1%BSA, 40%Glycerol. Preservative: 0.05% Sodium Azide.
研究背景Antiproliferative and proapoptotic protein involved in cell stress response which acts as a dual regulator of transcription and autophagy. Acts as a positive regulator of autophagy. In response to cellular stress or activation of autophagy, relocates to autophagosomes where it interacts with autophagosome-associated proteins GABARAP, GABARAPL1/L2, MAP1LC3A/B/C and regulates autophagy. Acts as an antioxidant and plays a major role in p53/TP53-driven oxidative stress response. Possesses both a p53/TP53-independent intracellular reactive oxygen species (ROS) regulatory function and a p53/TP53-dependent transcription regulatory function. Positively regulates p53/TP53 and p73/TP73 and stimulates their capacity to induce apoptosis and regulate cell cycle. In response to double-strand DNA breaks, promotes p53/TP53 phosphorylation on 'Ser-46' and subsequent apoptosis. Acts as a tumor suppressor by inducing cell death by an autophagy and caspase-dependent mechanism. Can reduce cell migration by regulating the expression of SPARC.
偶联与修饰
偶联
Unconjugated
抗原信息
免疫原
Recombinant Protein: Full length of human p53DINP1
抗原种属
human
Uniprot ID
化学信息
分子量Theoretical: 27 kDa.
储存&溶解度
储存方式Store at -20°C or -80°C for 12 months. Avoid repeated freeze-thaw cycles.
运输方式Shipping with blue ice.

计算器

  • 稀释 计算器
  • 配液 计算器

关键词

Related Tags: buy Anti-p53 DINP1 Antibody (7A906) | purchase Anti-p53 DINP1 Antibody (7A906) | Anti-p53 DINP1 Antibody (7A906) cost | order Anti-p53 DINP1 Antibody (7A906) | Anti-p53 DINP1 Antibody (7A906) molecular weight