购物车
  • 全部删除
  • TargetMol
    您的购物车当前为空

Anti-MAP1LC3A Antibody (5H585)

一键复制产品信息
Rating icon 还可以
产品编号 TMAC-02451
别名 microtubule-associated protein 1 light chain 3 α, microtubule-associated protein 1 light chain 3 alpha, MAP1BLC3, MAP1ALC3, LC3A, LC3, ATG8E

Anti-MAP1LC3A Antibody (5H585) 是一种 Rabbit 抗体,靶向 MAP1LC3A。Anti-MAP1LC3A Antibody (5H585) 可用于 ICC,IHC,IP,WB。

Anti-MAP1LC3A Antibody (5H585)

Anti-MAP1LC3A Antibody (5H585)

一键复制产品信息
Rating icon 还可以
产品编号 TMAC-02451 别名 microtubule-associated protein 1 light chain 3 α, microtubule-associated protein 1 light chain 3 alpha, MAP1BLC3, MAP1ALC3, LC3A, LC3, ATG8E

Anti-MAP1LC3A Antibody (5H585) 是一种 Rabbit 抗体,靶向 MAP1LC3A。Anti-MAP1LC3A Antibody (5H585) 可用于 ICC,IHC,IP,WB。

规格价格库存数量
50 μL
¥ 1,485
5日内发货
100 μL
¥ 2,490
5日内发货
大包装 & 定制
加入购物车
TargetMol 的所有产品仅用作科学研究或药证申报,不能被用于人体,我们不向个人提供产品和服务。请您遵守承诺用途,不得违反法律法规规定用于任何其他用途。
实验操作小课堂
常见问题解答
查看更多
联系我们获取更多批次信息
资源下载

产品介绍

生物活性
产品描述
Anti-MAP1LC3A Antibody (5H585) is a Rabbit antibody targeting MAP1LC3A. Anti-MAP1LC3A Antibody (5H585) can be used in ICC,IHC,IP,WB.
别名microtubule-associated protein 1 light chain 3 α, microtubule-associated protein 1 light chain 3 alpha, MAP1BLC3, MAP1ALC3, LC3A, LC3, ATG8E
Ig Type
IgG
克隆号
5H585
交叉反应
Human,Mouse,Rat
验证活性
1. Western blot analysis of MAP1LC3A on mouse brain lysates using anti-MAP1LC3A antibody at 1/1,000 dilution.
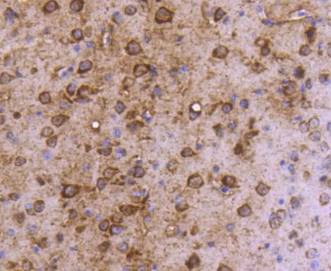
2. Immunohistochemical analysis of paraffin-embedded mouse brain tissue using anti-MAP1LC3A antibody. Counter stained with hematoxylin.
3. ICC staining MAP1LC3A in Hela cells (green). The nuclear counter stain is DAPI (blue). Cells were fixed in paraformaldehyde, permeabilised with 0.25% Triton X100/PBS.
4. ICC staining MAP1LC3A in PMVEC cells (green). The nuclear counter stain is DAPI (blue). Cells were fixed in paraformaldehyde, permeabilised with 0.25% Triton X100/PBS.
verifiedActivityverifiedActivityverifiedActivityverifiedActivity
应用ICCIHCIPWB
推荐剂量
WB: 1:1000-2000; IHC: 1:50-200; ICC: 1:50-200
抗体种类
Monoclonal
宿主来源Rabbit
构建方式Recombinant Antibody
纯化方式ProA affinity purified
性状Liquid
缓冲液1*TBS (pH7.4), 1%BSA, 40%Glycerol. Preservative: 0.05% Sodium Azide.
研究背景Microtubule-associated proteins (MAPs) regulate microtubule stability and play critical roles in neuronal development and in maintaining the balance between neuronal plasticity and rigidity. MAP-light chain 3 beta (MAP-LC3β) and MAP-light chain 3 alpha (MAP-LC3α), both of which are mammalian homologs of yeast Apg8, are subunits that can associate with either MAP-1A or MAP-1B. While MAP-LC3β is essential for autophagy and is associated with autophagosome membranes after processing, MAP LC3α is involved in the formation of autophagosomal vacuoles and is localized to the intracytoplasmic membrane. MAP LC3α is expressed as two alternatively spliced isoforms that are expressed in testis, brain, heart, liver and skeletal muscle, but are absent in thymus and peripheral blood leukocytes.
偶联与修饰
偶联
Unconjugated
抗原信息
免疫原
Recombinant Protein
Uniprot ID
化学信息
分子量Theoretical: 14 kDa.
存储&运输
储存方式Store at -20°C or -80°C for 12 months. Avoid repeated freeze-thaw cycles.
运输方式Shipping with blue ice.

计算器

  • 稀释 计算器

关键词

评论列表

4个月前
5.0
Rating icon 很棒

评论内容

Related Tags: buy Anti-MAP1LC3A Antibody (5H585) | purchase Anti-MAP1LC3A Antibody (5H585) | Anti-MAP1LC3A Antibody (5H585) cost | order Anti-MAP1LC3A Antibody (5H585) | Anti-MAP1LC3A Antibody (5H585) molecular weight