购物车
  • 全部删除
  • TargetMol
    您的购物车当前为空

Anti-L1CAM Antibody (1P875)

一键复制产品信息
Rating icon 还可以
产品编号 TMAC-02356
别名 SPG1, S10, NCAM-L1, N-CAM-L1, N-CAML1, MIC5, MASA, L1 cell adhesion molecule, HSAS1, HSAS, CD171, CAML1

Anti-L1CAM Antibody (1P875) 是一种 Rabbit 抗体,靶向 L1CAM。Anti-L1CAM Antibody (1P875) 可用于 IHC,WB。

Anti-L1CAM Antibody (1P875)

Anti-L1CAM Antibody (1P875)

一键复制产品信息
Rating icon 还可以
产品编号 TMAC-02356 别名 SPG1, S10, NCAM-L1, N-CAM-L1, N-CAML1, MIC5, MASA, L1 cell adhesion molecule, HSAS1, HSAS, CD171, CAML1

Anti-L1CAM Antibody (1P875) 是一种 Rabbit 抗体,靶向 L1CAM。Anti-L1CAM Antibody (1P875) 可用于 IHC,WB。

规格价格库存数量
50 μL
¥ 1,490
5日内发货
100 μL
¥ 2,480
5日内发货
大包装 & 定制
加入购物车
TargetMol 的所有产品仅用作科学研究或药证申报,不能被用于人体,我们不向个人提供产品和服务。请您遵守承诺用途,不得违反法律法规规定用于任何其他用途。
实验操作小课堂
常见问题解答
查看更多
联系我们获取更多批次信息
资源下载

产品介绍

生物活性
产品描述
Anti-L1CAM Antibody (1P875) is a Rabbit antibody targeting L1CAM. Anti-L1CAM Antibody (1P875) can be used in IHC,WB.
别名SPG1, S10, NCAM-L1, N-CAM-L1, N-CAML1, MIC5, MASA, L1 cell adhesion molecule, HSAS1, HSAS, CD171, CAML1
Ig Type
IgG
克隆号
1P875
交叉反应
Human
验证活性
1. Western blot analysis of L1CAM on different cells lysates using anti-L1CAM antibody at 1/500 dilution. Positive control: Line 1: Hela, Line 2: human brain.
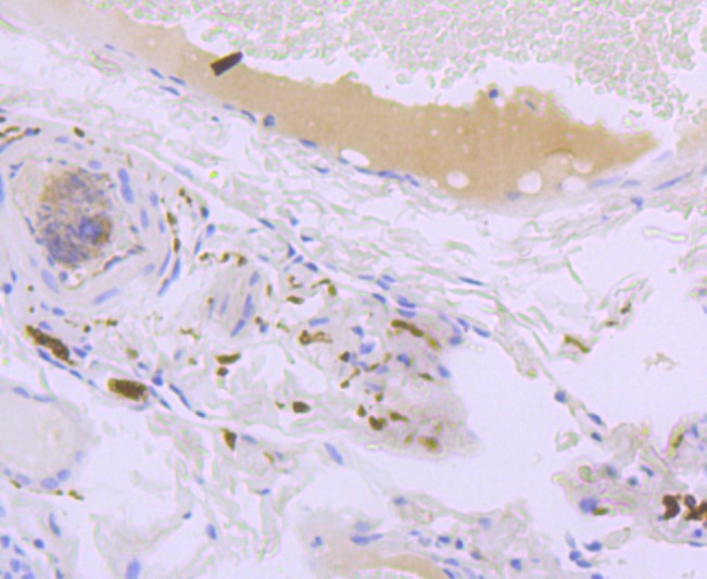
2. Immunohistochemical analysis of paraffin-embedded human kidney tissue using anti-L1CAM antibody. Counter stained with hematoxylin.
3. Immunohistochemical analysis of paraffin-embedded human thyroid tissue using anti-L1CAM antibody. Counter stained with hematoxylin.
verifiedActivityverifiedActivityverifiedActivity
应用IHCWB
推荐剂量
WB: 1:1000-5000; IHC: 1:50-200
抗体种类
Monoclonal
宿主来源Rabbit
构建方式Recombinant Antibody
纯化方式ProA affinity purified
性状Liquid
缓冲液1*TBS (pH7.4), 1%BSA, 40%Glycerol. Preservative: 0.05% Sodium Azide.
研究背景Cell adhesion molecules are a family of closely related cell surface glycoproteins involved in cell-cell interactions during growth and are thought to play an important role in embryogenesis and development. Neuronal cell adhesion molecule (NCAM) expression is observed in a variety of human tumors, including neuroblastomas, rhabdomyosarcomas, Wilm's tumors, Ewing's sarcomas and some primitive myeloid malignancies. The NCAM-L1 adhesion molecule (CD171) plays an important role in axon guidance and cell migration in the nervous system. The presence of NCAM-L1 might contribute to tumor progression by promoting cell adhesion and migration and is known to be expressed by neurons, neuroblastomas and other malignant tumors.
偶联与修饰
偶联
Unconjugated
抗原信息
免疫原
Recombinant Protein
Uniprot ID
化学信息
分子量Theoretical: 85/250 kDa.
存储&运输
储存方式Store at -20°C or -80°C for 12 months. Avoid repeated freeze-thaw cycles.
运输方式Shipping with blue ice.

计算器

  • 稀释 计算器

关键词

评论列表

4个月前
5.0
Rating icon 很棒

评论内容

Related Tags: buy Anti-L1CAM Antibody (1P875) | purchase Anti-L1CAM Antibody (1P875) | Anti-L1CAM Antibody (1P875) cost | order Anti-L1CAM Antibody (1P875) | Anti-L1CAM Antibody (1P875) molecular weight