购物车
  • 全部删除
  • TargetMol
    您的购物车当前为空

Anti-JNK1/2 Polyclonal Antibody

一键复制产品信息
Rating icon 还可以
产品编号 TMAB-01008
别名 Stress-activated protein kinase JNK1, Stress-activated protein kinase 1c (SAPK1c), SAPK1C, SAPK1, PRKM8, Mitogen-activated protein kinase 8, MAPK8, MAPK 8, MAP kinase 8, JNK-46, JNK1, c-Jun N-terminal kinase 1

Anti-JNK1/2 Polyclonal Antibody 是一种 Rabbit 抗体,靶向 JNK1/2。Anti-JNK1/2 Polyclonal Antibody 可用于 IF,IHC-Fr,IHC-P。

Anti-JNK1/2 Polyclonal Antibody

Anti-JNK1/2 Polyclonal Antibody

一键复制产品信息
Rating icon 还可以
产品编号 TMAB-01008 别名 Stress-activated protein kinase JNK1, Stress-activated protein kinase 1c (SAPK1c), SAPK1C, SAPK1, PRKM8, Mitogen-activated protein kinase 8, MAPK8, MAPK 8, MAP kinase 8, JNK-46, JNK1, c-Jun N-terminal kinase 1

Anti-JNK1/2 Polyclonal Antibody 是一种 Rabbit 抗体,靶向 JNK1/2。Anti-JNK1/2 Polyclonal Antibody 可用于 IF,IHC-Fr,IHC-P。

规格价格库存数量
50 μL
¥ 1,160
5日内发货
100 μL
¥ 1,960
5日内发货
200 μL
¥ 2,790
5日内发货
大包装 & 定制
加入购物车
TargetMol 的所有产品仅用作科学研究或药证申报,不能被用于人体,我们不向个人提供产品和服务。请您遵守承诺用途,不得违反法律法规规定用于任何其他用途。
实验操作小课堂
常见问题解答
查看更多
联系我们获取更多批次信息
资源下载

产品介绍

生物活性
产品描述
Anti-JNK1/2 Polyclonal Antibody is a Rabbit antibody targeting JNK1/2. Anti-JNK1/2 Polyclonal Antibody can be used in IF,IHC-Fr,IHC-P.
别名Stress-activated protein kinase JNK1, Stress-activated protein kinase 1c (SAPK1c), SAPK1C, SAPK1, PRKM8, Mitogen-activated protein kinase 8, MAPK8, MAPK 8, MAP kinase 8, JNK-46, JNK1, c-Jun N-terminal kinase 1
Ig Type
IgG
交叉反应
Human,Mouse (predicted:Rat,Dog,Pig,Cow,Rabbit,Sheep)
验证活性
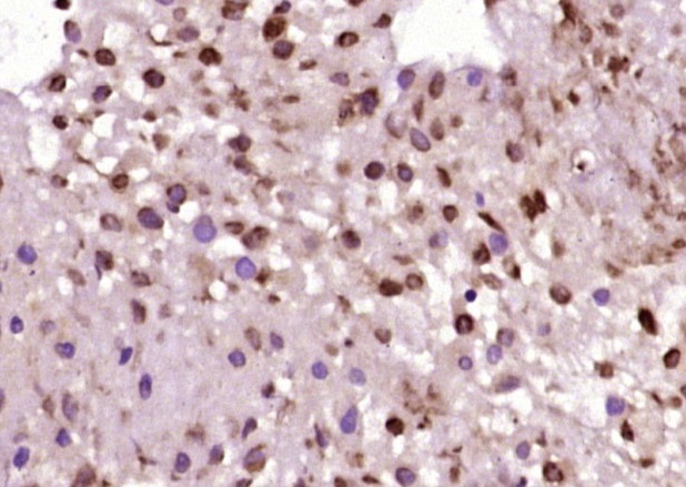
1. Paraformaldehyde-fixed, paraffin embedded (human brain glioma); Antigen retrieval by boiling in sodium citrate buffer (pH6.0) for 15 min; Block endogenous peroxidase by 3% hydrogen peroxide for 20 min; Blocking buffer (normal goat serum) at 37°C for 30 min; Antibody incubation with (JNK1+JNK2) Polyclonal Antibody, Unconjugated (TMAB-01008) at 1:400 overnight at 4°C, followed by operating according to SP Kit (Rabbit) instructionsand DAB staining.
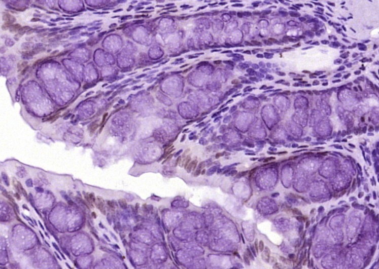
2. Paraformaldehyde-fixed, paraffin embedded (mouse colon tissue); Antigen retrieval by boiling in sodium citrate buffer (pH6.0) for 15 min; Block endogenous peroxidase by 3% hydrogen peroxide for 20 min; Blocking buffer (normal goat serum) at 37°C for 30 min; Antibody incubation with (JNK1+JNK2) Polyclonal Antibody, Unconjugated (TMAB-01008) at 1:400 overnight at 4°C, followed by operating according to SP Kit (Rabbit) instructionsand DAB staining.
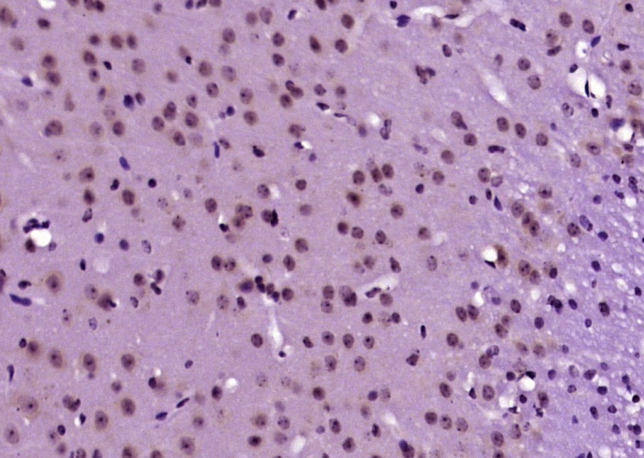
3. Paraformaldehyde-fixed, paraffin embedded (mouse brain tissue); Antigen retrieval by boiling in sodium citrate buffer (pH6.0) for 15 min; Block endogenous peroxidase by 3% hydrogen peroxide for 20 min; Blocking buffer (normal goat serum) at 37°C for 30 min; Antibody incubation with (JNK1+JNK2) Polyclonal Antibody, Unconjugated (TMAB-01008) at 1:400 overnight at 4°C, followed by operating according to SP Kit (Rabbit) instructionsand DAB staining.
verifiedActivityverifiedActivityverifiedActivity
应用IFIHC-FrIHC-P
推荐剂量
IHC-P: 1:100-500; IHC-Fr: 1:100-500; IF: 1:100-500
抗体种类
Polyclonal
宿主来源Rabbit
亚细胞定位Cytoplasm. Nucleus.
构建方式Polyclonal Antibody
纯化方式Protein A purified
性状Liquid
缓冲液0.01M TBS (pH7.4) with 1% BSA, 0.02% Proclin300 and 50% Glycerol.
浓度1 mg/mL
研究背景phosphorylated at the Thr-Pro-Tyr phosphorylation motif instead of the characteristic MAP kinase Thr-Glu-Tyr motif. JNK2 (p54a, SAPK1a), along with JNK1 and JNK3, is thought to play an important role in nuclear signal transduction through its environmental stress activation and subsequent phosphorylation of the nuclear transcription factor p53.
抗原信息
免疫原
KLH conjugated synthetic peptide: human JNK1+JNK2
抗原种属
Human
基因名称
MAPK8
基因ID
蛋白名称
Mitogen-activated protein kinase 8
Uniprot ID
研究领域
MAPK pathway,TLR Signaling,MAPK Pathway
功能
Serine/threonine-protein kinase involved in various processes such as cell proliferation, differentiation, migration, transformation and programmed cell death. Extracellular stimuli such as proinflammatory cytokines or physical stress stimulate the stress-activated protein kinase/c-Jun N-terminal kinase (SAP/JNK) signaling pathway. In this cascade, two dual specificity kinases MAP2K4/MKK4 and MAP2K7/MKK7 phosphorylate and activate MAPK8/JNK1. In turn, MAPK8/JNK1 phosphorylates a number of transcription factors, primarily components of AP-1 such as JUN, JDP2 and ATF2 and thus regulates AP-1 transcriptional activity. Phosphorylates the replication licensing factor CDT1, inhibiting the interaction between CDT1 and the histone H4 acetylase HBO1 to replication origins. Loss of this interaction abrogates the acetylation required for replication initiation. Promotes stressed cell apoptosis by phosphorylating key regulatory factors including p53/TP53 and Yes-associates protein YAP1. In T-cells, MAPK8 and MAPK9 are required for polarized differentiation of T-helper cells into Th1 cells. Contributes to the survival of erythroid cells by phosphorylating the antagonist of cell death BAD upon EPO stimulation. Mediates starvation-induced BCL2 phosphorylation, BCL2 dissociation from BECN1, and thus activation of autophagy. Phosphorylates STMN2 and hence regulates microtubule dynamics, controlling neurite elongation in cortical neurons. In the developing brain, through its cytoplasmic activity on STMN2, negatively regulates the rate of exit from multipolar stage and of radial migration from the ventricular zone. Phosphorylates several other substrates including heat shock factor protein 4 (HSF4), the deacetylase SIRT1, ELK1, or the E3 ligase ITCH.
化学信息
分子量Theoretical: 42 kDa.
存储&运输
储存方式Store at -20°C or -80°C for 12 months. Avoid repeated freeze-thaw cycles.
运输方式Shipping with blue ice.

计算器

  • 稀释 计算器

关键词

评论列表

4个月前
5.0
Rating icon 很棒

评论内容

Related Tags: buy Anti-JNK1/2 Polyclonal Antibody | purchase Anti-JNK1/2 Polyclonal Antibody | Anti-JNK1/2 Polyclonal Antibody cost | order Anti-JNK1/2 Polyclonal Antibody | Anti-JNK1/2 Polyclonal Antibody molecular weight