购物车
  • 全部删除
  • TargetMol
    您的购物车当前为空

Anti-EIF2AK2 Antibody (3D60)

一键复制产品信息
Rating icon 还可以
产品编号 TMAC-03357
别名 eIF2A protein kinase2

Anti-EIF2AK2 Antibody (3D60) 是一种 Rabbit 抗体,靶向 EIF2AK2。Anti-EIF2AK2 Antibody (3D60) 可用于 ICC/IF,IHC,IP,WB。

Anti-EIF2AK2 Antibody (3D60)

Anti-EIF2AK2 Antibody (3D60)

一键复制产品信息
Rating icon 还可以
产品编号 TMAC-03357 别名 eIF2A protein kinase2

Anti-EIF2AK2 Antibody (3D60) 是一种 Rabbit 抗体,靶向 EIF2AK2。Anti-EIF2AK2 Antibody (3D60) 可用于 ICC/IF,IHC,IP,WB。

规格价格库存数量
50 μL
¥ 1,480
5日内发货
100 μL
¥ 2,480
5日内发货
大包装 & 定制
加入购物车
TargetMol 的所有产品仅用作科学研究或药证申报,不能被用于人体,我们不向个人提供产品和服务。请您遵守承诺用途,不得违反法律法规规定用于任何其他用途。
实验操作小课堂
常见问题解答
查看更多
联系我们获取更多批次信息
资源下载

产品介绍

生物活性
产品描述
Anti-EIF2AK2 Antibody (3D60) is a Rabbit antibody targeting EIF2AK2. Anti-EIF2AK2 Antibody (3D60) can be used in ICC/IF,IHC,IP,WB.
别名eIF2A protein kinase2
Ig Type
IgG
克隆号
3D60
交叉反应
Human
验证活性
1. Western blot analysis of PKR on different lysates using anti-PKR antibody at 1/1,000 dilution. Positive control: Lane 1: MCF-7, Lane 2: Hela.
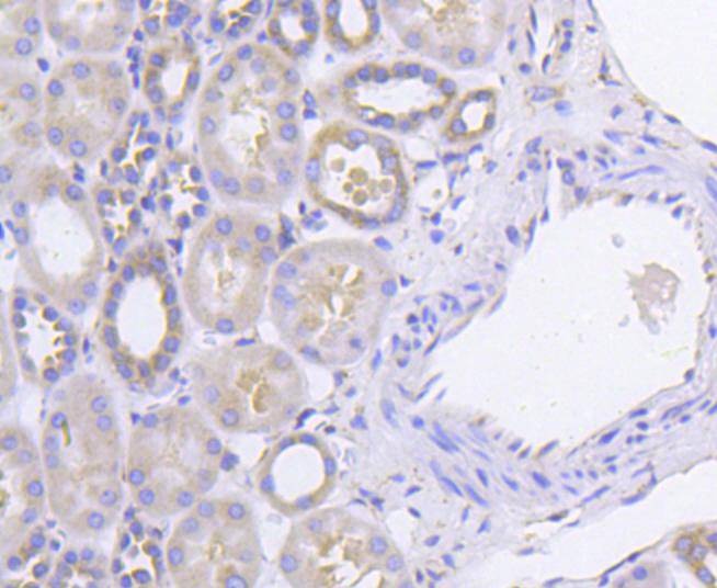
2. Immunohistochemical analysis of paraffin-embedded human kidney tissue using anti-PKR antibody. Counter stained with hematoxylin.
3. ICC staining PKR in MCF-7 cells (green). The nuclear counter stain is DAPI (blue). Cells were fixed in paraformaldehyde, permeabilised with 0.25% Triton X100/PBS.
verifiedActivityverifiedActivityverifiedActivity
应用ICC/IFIHCIPWB
推荐剂量
WB: 1:1000-5000; IHC: 1:50-100; ICC/IF: 1:50-100
抗体种类
Monoclonal
宿主来源Rabbit
构建方式Recombinant Antibody
纯化方式ProA affinity purified
性状Liquid
缓冲液1*TBS (pH7.4), 1%BSA, 40%Glycerol. Preservative: 0.05% Sodium Azide.
研究背景An interferon-inducible, RNA-dependent protein serine/threonine kinase (PKR) has been described. PKR in earlier literature is variously known as DAI, dsJ, PI kinase, p65, p67 or TIK for the mouse kinase; and p68 or p69 for the human kinase. The PKR kinase substrate is the a subunit of protein synthesis initiation factor eIF-2. Phosphorylation of eIF-2a on serine-51 results in inhibition of translation. Molecular cDNA clones have been isolated from both human and mouse cells. The serine/threonine kinase catalytic domains map to the carboxy terminal half of the protein while the RNA-binding domains are located in the amino terminal region. Three kinds of regulation of PKR enzymatic activity have been described. These include transcriptional regulation in response to interferon, an autoregulatory mechanism controlling PKR expression at the level of translation and post-translational regulation by RNA mediated autophosphorylation.
偶联与修饰
偶联
Unconjugated
抗原信息
免疫原
Recombinant Protein
Uniprot ID
化学信息
分子量Theoretical: 68 kDa.
存储&运输
储存方式Store at -20°C or -80°C for 12 months. Avoid repeated freeze-thaw cycles.
运输方式Shipping with blue ice.

计算器

  • 稀释 计算器

关键词

评论列表

4个月前
5.0
Rating icon 很棒

评论内容

Related Tags: buy Anti-EIF2AK2 Antibody (3D60) | purchase Anti-EIF2AK2 Antibody (3D60) | Anti-EIF2AK2 Antibody (3D60) cost | order Anti-EIF2AK2 Antibody (3D60) | Anti-EIF2AK2 Antibody (3D60) molecular weight