购物车
  • 全部删除
  • TargetMol
    您的购物车当前为空

Anti-DEFA1 Antibody (4M838)

一键复制产品信息
Rating icon 还可以
产品编号 TMAC-01990
别名 Neutrophil defensin 1, HP1), Defensin, α1, Defensin, a 1, DEFA2, DEFA1B, DEFA1, DEFA 2, DEF1

Anti-DEFA1 Antibody (4M838) 是一种 Mouse 抗体,靶向 DEFA1。Anti-DEFA1 Antibody (4M838) 可用于 IHC,WB。

Anti-DEFA1 Antibody (4M838)

Anti-DEFA1 Antibody (4M838)

一键复制产品信息
Rating icon 还可以
产品编号 TMAC-01990 别名 Neutrophil defensin 1, HP1), Defensin, α1, Defensin, a 1, DEFA2, DEFA1B, DEFA1, DEFA 2, DEF1

Anti-DEFA1 Antibody (4M838) 是一种 Mouse 抗体,靶向 DEFA1。Anti-DEFA1 Antibody (4M838) 可用于 IHC,WB。

规格价格库存数量
50 μL
¥ 1,985
5日内发货
100 μL
¥ 2,980
5日内发货
大包装 & 定制
加入购物车
TargetMol 的所有产品仅用作科学研究或药证申报,不能被用于人体,我们不向个人提供产品和服务。请您遵守承诺用途,不得违反法律法规规定用于任何其他用途。
实验操作小课堂
常见问题解答
查看更多
联系我们获取更多批次信息
资源下载

产品介绍

生物活性
产品描述
Anti-DEFA1 Antibody (4M838) is a Mouse antibody targeting DEFA1. Anti-DEFA1 Antibody (4M838) can be used in IHC,WB.
别名Neutrophil defensin 1, HP1), Defensin, α1, Defensin, a 1, DEFA2, DEFA1B, DEFA1, DEFA 2, DEF1
克隆号
4M838
交叉反应
Human,Rat
验证活性
1. Western blot analysis of HNP-1 on rat spleen tissue lysates using anti-HNP-1 antibody at 1/500 dilution.
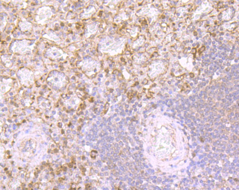
2. Immunohistochemical analysis of paraffin-embedded human spleen tissue using anti-HNP-1 antibody. Counter stained with hematoxylin.
verifiedActivityverifiedActivity
应用IHCWB
推荐剂量
WB: 1:500-2000; IHC: 1:50-200
抗体种类
Monoclonal
宿主来源Mouse
构建方式Hybridoma Monoclonal Antibody
纯化方式ProG affinity purified
性状Liquid
缓冲液1*TBS (pH7.4), 0.5%BSA, 50%Glycerol. Preservative: 0.05% Sodium Azide.
研究背景Defensins are a family of antimicrobial and cytotoxic peptides thought to be involved in host defense. They are abundant in the granules of neutrophils and also found in the epithelia of mucosal surfaces such as those of the intestine, respiratory tract, urinary tract, and vagina. Members of the defensin family are highly similar in protein sequence and distinguished by a conserved cysteine motif. The protein encoded by this gene, defensin, alpha 1, is found in the microbicidal granules of neutrophils and likely plays a role in phagocyte-mediated host defense. Several alpha defensin genes are clustered on chromosome 8. This gene differs from defensin, alpha 3 by only one amino acid. This gene and the gene encoding defensin, alpha 3 are both subject to copy number variation.
偶联与修饰
偶联
Unconjugated
抗原信息
免疫原
Peptide
Uniprot ID
化学信息
分子量Theoretical: 10 kDa.
存储&运输
储存方式Store at -20°C or -80°C for 12 months. Avoid repeated freeze-thaw cycles.
运输方式Shipping with blue ice.

计算器

  • 稀释 计算器

关键词

评论列表

4个月前
5.0
Rating icon 很棒

评论内容

Related Tags: buy Anti-DEFA1 Antibody (4M838) | purchase Anti-DEFA1 Antibody (4M838) | Anti-DEFA1 Antibody (4M838) cost | order Anti-DEFA1 Antibody (4M838) | Anti-DEFA1 Antibody (4M838) molecular weight