购物车
  • TargetMol
    您的购物车当前为空

Anti-CD20 Antibody (1R324)

Synonyms: S7, MS4A2, MS4A1, membrane-spanning 4-domains, subfamily A, member 1, LEU-16, CVID5, CD20, Bp35, B1
货号 TMAB-00343 一键复制产品信息
Rating icon 还可以

Anti-CD20 Antibody (1R324) 是一种 Rabbit 抗体,靶向 CD20。Anti-CD20 Antibody (1R324) 可用于 FCM, ICC/IF, IF, IHC-Fr, IHC-P, WB。

Anti-CD20 Antibody (1R324)

一键复制产品信息
Rating icon 还可以
货号 TMAB-00343

别名 S7, MS4A2, MS4A1, membrane-spanning 4-domains, subfamily A, member 1, LEU-16, CVID5, CD20, Bp35, B1

Anti-CD20 Antibody (1R324) 是一种 Rabbit 抗体,靶向 CD20。Anti-CD20 Antibody (1R324) 可用于 FCM, ICC/IF, IF, IHC-Fr, IHC-P, WB。

Anti-CD20 Antibody (1R324)
规格价格库存数量
25 μL
¥ 785
5日内发货
50 μL
¥ 1,380
5日内发货
100 μL
¥ 2,490
5日内发货
库存状态实时更新,以官网显示为准,现货产品可直接加购物车下单
大包装 & 定制
加入购物车

TargetMol的所有产品仅用作科学研究或药证申报,不能被用于人体,我们不向个人提供产品和服务。请您遵守承诺用途,不得违反法律法规规定用于任何其他用途。

实验操作小课堂
常见问题解答
查看更多

选择批次:
颜色: 无色透明
性状: Liquid
资源下载: COA产品操作手册

产品介绍


生物活性
产品描述
Anti-CD20 Antibody (1R324) is a Rabbit antibody targeting CD20. Anti-CD20 Antibody (1R324) can be used in FCM, ICC/IF, IF, IHC-Fr, IHC-P, WB.
别名
S7, MS4A2, MS4A1, membrane-spanning 4-domains, subfamily A, member 1, LEU-16, CVID5, CD20, Bp35, B1
Ig Type
IgG
克隆号
1R324
反应种属
Human,Mouse,Rat
验证活性
1. Sample:
Lane 1: Human Raji cell lysates
Primary: Anti-CD20 (TMAB-00343) at 1/1000 dilution
Secondary: IRDye800CW Goat Anti-Rabbit IgG at 1/20000 dilution
Predicted band size: 33 kDa
Observed band size: 35 kDa
2. Paraformaldehyde-fixed, paraffin embedded (rat spleen); Antigen retrieval by boiling in sodium citrate buffer (pH6.0) for 15 min; Block endogenous peroxidase by 3% hydrogen peroxide for 20 min; Blocking buffer (normal goat serum) at 37°C for 30 min; Antibody incubation with (CD20) Monoclonal Antibody, Unconjugated (TMAB-00343) at 1:100 overnight at 4°C, followed by operating according to SP Kit (Rabbit) instructionsand DAB staining.
3. Paraformaldehyde-fixed, paraffin embedded (human lung carcinoma); Antigen retrieval by boiling in sodium citrate buffer (pH6.0) for 15 min; Block endogenous peroxidase by 3% hydrogen peroxide for 20 min; Blocking buffer (normal goat serum) at 37°C for 30 min; Antibody incubation with (CD20) Monoclonal Antibody, Unconjugated (TMAB-00343) at 1:100 overnight at 4°C, followed by operating according to SP Kit (Rabbit) instructionsand DAB staining.
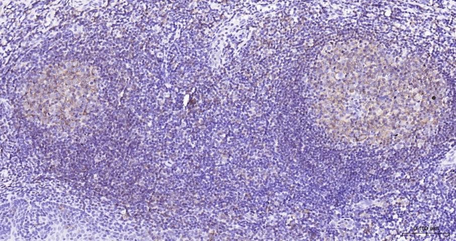
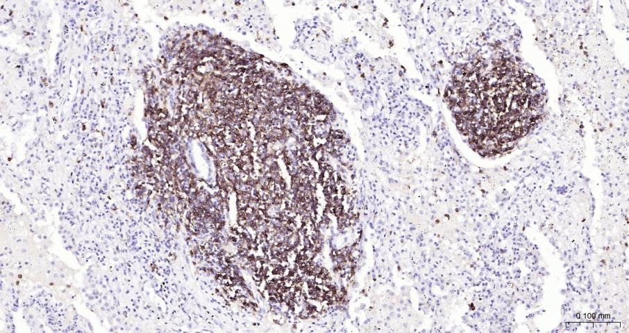
4. Paraformaldehyde-fixed, paraffin embedded (mouse spleen); Antigen retrieval by boiling in sodium citrate buffer (pH6.0) for 15 min; Block endogenous peroxidase by 3% hydrogen peroxide for 20 min; Blocking buffer (normal goat serum) at 37°C for 30 min; Antibody incubation with (CD20) Monoclonal Antibody, Unconjugated (TMAB-00343) at 1:100 overnight at 4°C, followed by operating according to SP Kit (Rabbit) instructionsand DAB staining.
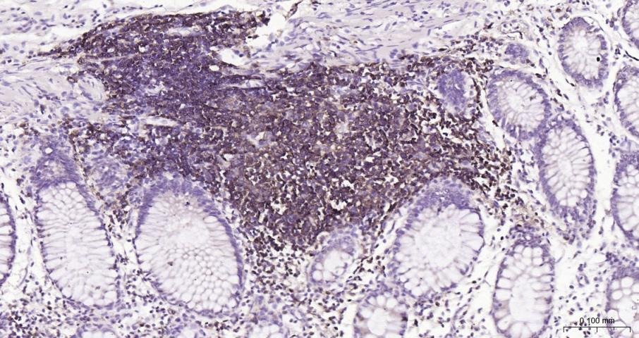
5. Paraformaldehyde-fixed, paraffin embedded (human colon carcinoma); Antigen retrieval by boiling in sodium citrate buffer (pH6.0) for 15 min; Block endogenous peroxidase by 3% hydrogen peroxide for 20 min; Blocking buffer (normal goat serum) at 37°C for 30 min; Antibody incubation with (CD20) Monoclonal Antibody, Unconjugated (TMAB-00343) at 1:100 overnight at 4°C, followed by operating according to SP Kit (Rabbit) instructionsand DAB staining.
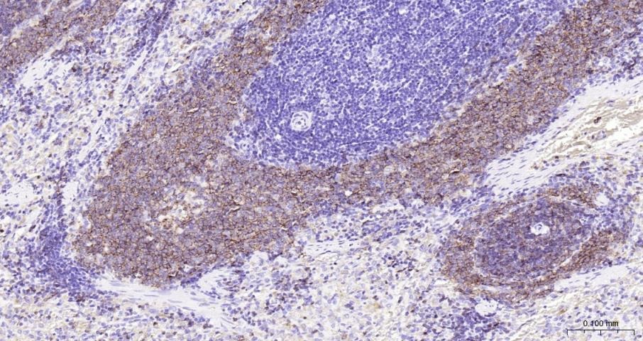
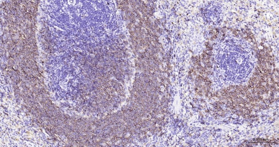
6. Paraformaldehyde-fixed, paraffin embedded (human tonsil); Antigen retrieval by boiling in sodium citrate buffer (pH6.0) for 15 min; Block endogenous peroxidase by 3% hydrogen peroxide for 20 min; Blocking buffer (normal goat serum) at 37°C for 30 min; Antibody incubation with (CD20) Monoclonal Antibody, Unconjugated (TMAB-00343) at 1:100 overnight at 4°C, followed by operating according to SP Kit (Rabbit) instructionsand DAB staining.
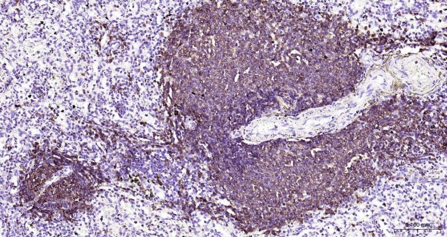
7. Paraformaldehyde-fixed, paraffin embedded (human spleen); Antigen retrieval by boiling in sodium citrate buffer (pH6.0) for 15 min; Block endogenous peroxidase by 3% hydrogen peroxide for 20 min; Blocking buffer (normal goat serum) at 37°C for 30 min; Antibody incubation with (CD20) Monoclonal Antibody, Unconjugated (TMAB-00343) at 1:100 overnight at 4°C, followed by operating according to SP Kit (Rabbit) instructionsand DAB staining.
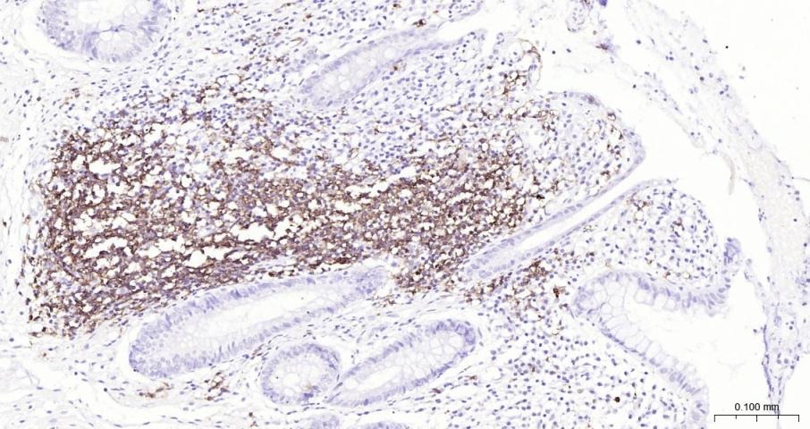
8. Paraformaldehyde-fixed, paraffin embedded (human colon); Antigen retrieval by boiling sodium citrate buffer (pH6.0) for 15 min; Block endogenous peroxidase by 3% hydrogen peroxide for 20 min; Blocking buffer (normal goat serum) at 37°C for 30 min; Incubation with (CD20) Monoclonal Antibody, Unconjugated (TMAB-00343) at 1:200 overnight at 4°C, followed by operating according to SP Kit (Rabbit) instructionsand DAB staining.
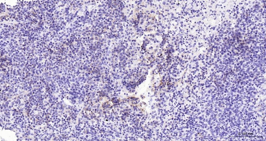
9. Paraformaldehyde-fixed, paraffin embedded (Diffuse large B-cell lymphoma); Antigen retrieval by boiling in EDTA buffer (pH9.0) for 15 min; Block endogenous peroxidase by 3% hydrogen peroxide for 20 min; Blocking buffer (normal goat serum) at 37°C for 30 min; Incubation with (phospho-GSK-3 Beta (Ser9)) Monoclonal Antibody, Unconjugated (TMAB-00343) at 1:100 overnight at 4°C, followed by operating according to SP Kit (Rabbit) instructionsand DAB staining.
verifiedActivityverifiedActivityverifiedActivityverifiedActivityverifiedActivityverifiedActivityverifiedActivityverifiedActivityverifiedActivity
应用FCMICC/IFIFIHC-FrIHC-PWB
推荐剂量
FCM=1 μg/Test; ICC/IF=1:100-500; IF=1:100-500; IHC-Fr=1:400-800; IHC-P=1:200-1000; WB=1:1000-5000
抗体种类
Monoclonal
宿主来源Rabbit
亚细胞定位Membrane; Multi-pass membrane protein.
组织特异性Expressed on B-cells.
构建方式Recombinant Antibody
纯化方式Protein A purified
性状Liquid
缓冲液0.01M TBS (pH7.4) with 1% BSA, 0.02% Proclin300 and 50% Glycerol.
浓度1 mg/mL
研究背景CD20 is a non glycosylated protein with a molecular weight of 35 or 37 kDa depending on the degree of phosphorylation. Although not a member of the tetraspanin superfamily of cell surface receptors, it crosses the cell membrane four times. The CD20 antigen is present on human pre B lymphocytes and on B lymphocytes at all stages of maturation, except on plasma cells. Low level expression of the CD20 antigen has been detected on normal T lymphocytes. The CD20 molecule is involved in regulation of B cell differentiation, presumably via its reported function as a Ca++ channel subunit.
抗原信息
免疫原
KLH conjugated synthetic peptide: human CD20
抗原种属
Human
基因名称
MS4A1
基因ID
蛋白名称
B-lymphocyte antigen CD20
Uniprot ID
研究领域
Tumor-associated antigens,CD,Human Lineage Negative
功能
This protein may be involved in the regulation of B-cell activation and proliferation
化学信息
分子量Theoretical: 33 kDa. Actual: 35 kDa.
储存&溶解度
储存方式Store at -20°C or -80°C for 12 months. Avoid repeated freeze-thaw cycles.
运输方式Shipping with blue ice.

计算器

  • 稀释 计算器
  • 配液 计算器
Related Tags: buy Anti-CD20 Antibody (1R324) | purchase Anti-CD20 Antibody (1R324) | Anti-CD20 Antibody (1R324) cost | order Anti-CD20 Antibody (1R324) | Anti-CD20 Antibody (1R324) molecular weight