- 全部删除
您的购物车当前为空

我们很想知道您的意见反馈,所以我们在每个页面上都梳理出一个反馈按钮。





还可以
Anti-CD19 Antibody (1C143) 是一种 Mouse 抗体,靶向 CD19。Anti-CD19 Antibody (1C143) 可用于 WB,IHC,IF,ELISA。





还可以
Anti-CD19 Antibody (1C143) 是一种 Mouse 抗体,靶向 CD19。Anti-CD19 Antibody (1C143) 可用于 WB,IHC,IF,ELISA。
| 规格 | 价格 | 库存 | 数量 |
|---|---|---|---|
| 50 μL | ¥ 1,335 | 5日内发货 | |
| 100 μL | ¥ 2,185 | 5日内发货 |
| 产品描述 | Anti-CD19 Antibody (1C143) is a Mouse antibody targeting CD19. Anti-CD19 Antibody (1C143) can be used in WB,IHC,IF,ELISA. |
| 别名 | CVID3, CD19 molecule, B4 |
| Ig Type | IgG |
| 交叉反应 | Human |
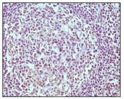
| 验证活性 | 1. Immunohistochemistry analysis of paraffin-embedded human normal lymph node, showing cytoplasmic localization with DAB staining using CD19 Monoclonal. 2. Western Blot analysis using CD19 Monoclonal Antibody against CD19 recombinant protein. |
| 应用 | |
| 推荐剂量 | WB: 1:500-2000; IHC: 1:200-1000; ELISA: 1:10000; IF: 1:50-200 |
| 抗体种类 | Monoclonal |
| 宿主来源 | Mouse |
| 构建方式 | Hybridoma Monoclonal Antibody |
| 纯化方式 | Affinity purification |
| 性状 | Liquid |
| 缓冲液 | Purified antibody in PBS containing 0.03% sodium azide. |
| 偶联 | Unconjugated |
| 免疫原 | Recombinant Protein: human CD19 |
| 抗原种属 | human |
| 基因ID | |
| Uniprot ID |
| 储存方式 | Store at -20°C or -80°C for 12 months. Avoid repeated freeze-thaw cycles. |
| 运输方式 | Shipping with blue ice. |
以上为“体内实验配液计算器”的使用方法举例,并不是具体某个化合物的推荐配制方式,请根据您的实验动物和给药方式选择适当的溶解方案。
嗨!有任何问题?点我咨询

评论内容