购物车
  • TargetMol
    您的购物车当前为空

Anti-BMPR2 Antibody (9I236)

Synonyms: T-ALK, PPH1, POVD1, BRK-3, bone morphogenetic protein receptor, type II (serine/threonine kinase), BMR2, BMPR-II, BMPR3
货号 TMAC-00456 一键复制产品信息
Rating icon 还可以

Anti-BMPR2 Antibody (9I236) 是一种 Mouse 抗体,靶向 BMPR2。Anti-BMPR2 Antibody (9I236) 可用于 ICC/IF,IHC-P,WB。

Anti-BMPR2 Antibody (9I236)

一键复制产品信息
Rating icon 还可以
货号 TMAC-00456

别名 T-ALK, PPH1, POVD1, BRK-3, bone morphogenetic protein receptor, type II (serine/threonine kinase), BMR2, BMPR-II, BMPR3

Anti-BMPR2 Antibody (9I236) 是一种 Mouse 抗体,靶向 BMPR2。Anti-BMPR2 Antibody (9I236) 可用于 ICC/IF,IHC-P,WB。

Anti-BMPR2 Antibody (9I236)
规格价格库存数量
50 μL
¥ 1,485
5日内发货
100 μL
¥ 2,480
5日内发货
库存状态实时更新,以官网显示为准,现货产品可直接加购物车下单
大包装 & 定制
加入购物车

TargetMol的所有产品仅用作科学研究或药证申报,不能被用于人体,我们不向个人提供产品和服务。请您遵守承诺用途,不得违反法律法规规定用于任何其他用途。

实验操作小课堂
常见问题解答
查看更多

资源下载:产品操作手册

产品介绍


生物活性
产品描述
Anti-BMPR2 Antibody (9I236) is a Mouse antibody targeting BMPR2. Anti-BMPR2 Antibody (9I236) can be used in ICC/IF,IHC-P,WB.
别名
T-ALK, PPH1, POVD1, BRK-3, bone morphogenetic protein receptor, type II (serine/threonine kinase), BMR2, BMPR-II, BMPR3
克隆号
9I236
反应种属
Human,Mouse,Rat
验证活性
1. Western Blot analysis using BMPR-II Monoclonal Antibody against HeLa (1), A431 (2), NIH/3T3 (3), Cos7 (4) and PC-12 (5) cell lysate.
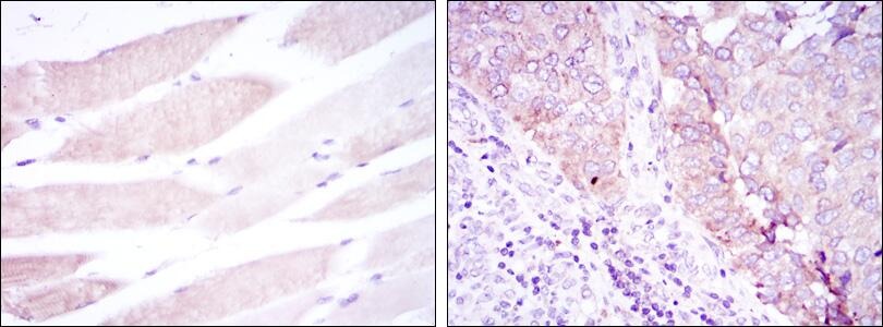
2. Immunohistochemistry analysis of paraffin-embedded muscle tissues (left) and kidney cancer tissues (right) with DAB staining using BMPR-II Monoclonal Antibody.
verifiedActivityverifiedActivity
应用ICC/IFIHC-PWB
推荐剂量
WB: 1:500-2000; IHC-P: 1:200-1000; ICC/IF: 1:200-1000
抗体种类
Monoclonal
宿主来源Mouse
构建方式Hybridoma Monoclonal Antibody
性状Liquid
缓冲液Ascitic fluid containing 0.03% sodium azide,0.5% BSA, 50%glycerol.
研究背景bone morphogenetic protein receptor type 2(BMPR2) Homo sapiens This gene encodes a member of the bone morphogenetic protein (BMP) receptor family of transmembrane serine/threonine kinases. The ligands of this receptor are BMPs, which are members of the TGF-beta superfamily. BMPs are involved in endochondral bone formation and embryogenesis. These proteins transduce their signals through the formation of heteromeric complexes of two different types of serine (threonine) kinase receptors: type I receptors of about 50-55 kD and type II receptors of about 70-80 kD. Type II receptors bind ligands in the absence of type I receptors, but they require their respective type I receptors for signaling, whereas type I receptors require their respective type II receptors for ligand binding. Mutations in this gene have been associated with primary pulmonary hypertension, both familial and fenfluramine-associated, and with pulmonary venoocclusive disea
偶联与修饰
偶联
Unconjugated
抗原信息
免疫原
Recombinant Protein: human BMPR-II
抗原种属
human
Uniprot ID
储存&溶解度
储存方式Store at -20°C or -80°C for 12 months. Avoid repeated freeze-thaw cycles.
运输方式Shipping with blue ice.

计算器

  • 稀释 计算器
  • 配液 计算器
Related Tags: buy Anti-BMPR2 Antibody (9I236) | purchase Anti-BMPR2 Antibody (9I236) | Anti-BMPR2 Antibody (9I236) cost | order Anti-BMPR2 Antibody (9I236)