购物车
  • 全部删除
  • TargetMol
    您的购物车当前为空

Anti-BMI-1 Antibody (4I124)

Rating icon 还可以
产品编号 TMAC-00455

Anti-BMI-1 Antibody (4I124) 是一种 Rabbit 抗体,靶向 BMI-1。Anti-BMI-1 Antibody (4I124) 可用于 ICC/IF,IHC,WB。

Anti-BMI-1 Antibody (4I124)

Anti-BMI-1 Antibody (4I124)

一键复制产品信息
Rating icon 还可以
产品编号 TMAC-00455

Anti-BMI-1 Antibody (4I124) 是一种 Rabbit 抗体,靶向 BMI-1。Anti-BMI-1 Antibody (4I124) 可用于 ICC/IF,IHC,WB。

规格价格库存数量
50 μL
¥ 1,485
5日内发货
100 μL
¥ 2,490
5日内发货
大包装 & 定制
加入购物车
TargetMol 的所有产品仅用作科学研究或药证申报,不能被用于人体,我们不向个人提供产品和服务。请您遵守承诺用途,不得违反法律法规规定用于任何其他用途。
实验操作小课堂
常见问题解答
查看更多
联系我们获取更多批次信息
资源下载

产品介绍

生物活性
产品描述
Anti-BMI-1 Antibody (4I124) is a Rabbit antibody targeting BMI-1. Anti-BMI-1 Antibody (4I124) can be used in ICC/IF,IHC,WB.
Ig Type
IgG
克隆号
4I124
交叉反应
Human,Rat
验证活性
1. Western blot analysis of Bmi1 on different lysates using anti-Bmi1 antibody at 1/1,000 dilution. Positive control: Lane 1: K562, Lane 2: PC-12.
2. Immunohistochemical analysis of paraffin-embedded human tonsil tissue using anti-Bmi1 antibody. Counter stained with hematoxylin.
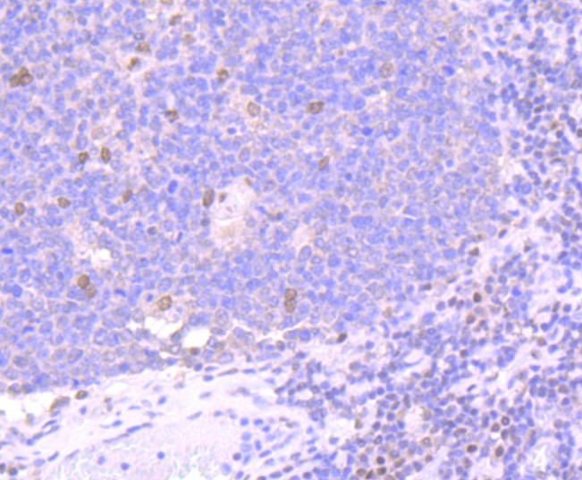
3. Immunohistochemical analysis of paraffin-embedded human breast carcinoma tissue using anti-Bmi1 antibody. Counter stained with hematoxylin.
4. Immunohistochemical analysis of paraffin-embedded rat smooth muscle tissue using anti-Bmi1 antibody. Counter stained with hematoxylin.
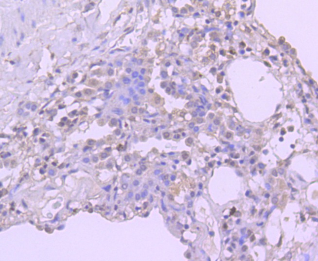
5. Immunohistochemical analysis of paraffin-embedded human lung cancer tissue using anti-Bmi1 antibody. Counter stained with hematoxylin.
6. ICC staining Bmi1 in Hela cells (green). The nuclear counter stain is DAPI (blue). Cells were fixed in paraformaldehyde, permeabilised with 0.25% Triton X100/PBS.
7. ICC staining Bmi1 in A549 cells (green). The nuclear counter stain is DAPI (blue). Cells were fixed in paraformaldehyde, permeabilised with 0.25% Triton X100/PBS.
8. ICC staining Bmi1 in SW480 cells (green). The nuclear counter stain is DAPI (blue). Cells were fixed in paraformaldehyde, permeabilised with 0.25% Triton X100/PBS.
verifiedActivityverifiedActivityverifiedActivityverifiedActivityverifiedActivityverifiedActivityverifiedActivityverifiedActivity
应用ICC/IFIHCWB
推荐剂量
WB: 1:1000-2000; IHC: 1:50-200; ICC/IF: 1:50-200
抗体种类
Monoclonal
宿主来源Rabbit
构建方式Recombinant Antibody
纯化方式ProA affinity purified
性状Liquid
缓冲液1*TBS (pH7.4), 1%BSA, 40%Glycerol. Preservative: 0.05% Sodium Azide.
研究背景In Drosophila, Polycomb (Pc-g) gene family encodes chromatin proteins that are required for the repression of homeotic loci in embryonic development. Mel-18 and Bmi-1, mammalian homologs of Drosophila Pc-g group proteins, are similarly expressed during development and implicated in the regulation of gene expression, axial skeleton development, control of proliferation and survival of haematopoietic cells. Mel-18 directly binds to DNA through a RING-finger motif and preferentially associates with juxtaposed enhancer elements on various genes, including Bcl-2, c-Myc and Hox. Mel-18 is an immediate early response gene within the c-Myc/Cdc25 signaling cascade that exhibits tumor suppressor activity and negatively regulates cell cycle progression by blocking S phase entry. Alternatively, Bmi-1 has been identified as a potent oncogene as it contributes to the transcriptional activation of genes implicated in early lymphoid development. Proviral activation of Bmi-1 expression corresponds to enhanced gene-specific activation of other proto-oncogenes, including c-Myc and Pim, subsequently resulting in the progression of lymphomagenesis.
偶联与修饰
偶联
Unconjugated
抗原信息
免疫原
Recombinant Protein
Uniprot ID
化学信息
分子量Theoretical: 42 kDa.
存储&运输
储存方式Store at -20°C or -80°C for 12 months. Avoid repeated freeze-thaw cycles.
运输方式Shipping with blue ice.

计算器

  • 稀释 计算器

关键词

评论列表

4个月前
5.0
Rating icon 很棒

评论内容

Related Tags: buy Anti-BMI-1 Antibody (4I124) | purchase Anti-BMI-1 Antibody (4I124) | Anti-BMI-1 Antibody (4I124) cost | order Anti-BMI-1 Antibody (4I124) | Anti-BMI-1 Antibody (4I124) molecular weight