购物车
  • 全部删除
  • TargetMol
    您的购物车当前为空

Anti-ACSL4 Antibody (6H118)

一键复制产品信息
Rating icon 还可以
产品编号 TMAB-00043
别名 Long-chain-fatty-acid--CoA ligase 4, Long-chain acyl-CoA synthetase 4 (LACS 4;mACS4), Facl4, Arachidonate--CoA ligase, Acsl4, Acs4

Anti-ACSL4 Antibody (6H118) 是一种 Rabbit 抗体,靶向 ACSL4。Anti-ACSL4 Antibody (6H118) 可用于 IF,IHC-Fr,IHC-P,IP,WB。

Anti-ACSL4 Antibody (6H118)

Anti-ACSL4 Antibody (6H118)

一键复制产品信息
Rating icon 还可以
产品编号 TMAB-00043 别名 Long-chain-fatty-acid--CoA ligase 4, Long-chain acyl-CoA synthetase 4 (LACS 4;mACS4), Facl4, Arachidonate--CoA ligase, Acsl4, Acs4

Anti-ACSL4 Antibody (6H118) 是一种 Rabbit 抗体,靶向 ACSL4。Anti-ACSL4 Antibody (6H118) 可用于 IF,IHC-Fr,IHC-P,IP,WB。

规格价格库存数量
25 μL
¥ 780
5日内发货
50 μL
¥ 1,395
5日内发货
100 μL
¥ 2,480
5日内发货
大包装 & 定制
加入购物车
TargetMol 的所有产品仅用作科学研究或药证申报,不能被用于人体,我们不向个人提供产品和服务。请您遵守承诺用途,不得违反法律法规规定用于任何其他用途。
实验操作小课堂
常见问题解答
查看更多
联系我们获取更多批次信息
资源下载

产品介绍

生物活性
产品描述
Anti-ACSL4 Antibody (6H118) is a Rabbit antibody targeting ACSL4. Anti-ACSL4 Antibody (6H118) can be used in IF,IHC-Fr,IHC-P,IP,WB.
别名Long-chain-fatty-acid--CoA ligase 4, Long-chain acyl-CoA synthetase 4 (LACS 4;mACS4), Facl4, Arachidonate--CoA ligase, Acsl4, Acs4
Ig Type
IgG
克隆号
6H118
交叉反应
Human,Mouse,Rat
验证活性
1. 25 μg total protein per Lane of various lysates probed with ACSL4 monoclonal antibody, unconjugated (TMAB-00043) at 1:2000 dilution and 4°C overnight incubation. Followed by conjugated secondary antibody incubation at RT for 60 min.
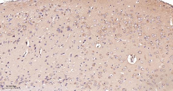
2. Paraformaldehyde-fixed, paraffin embedded Mouse Cerebrum; Antigen retrieval by boiling in sodium citrate buffer (pH6.0) for 15 min; Antibody incubation ACSL4 Monoclonal Antibody, Unconjugated (TMAB-00043) at 1:200 overnight at 4°C, followed by conjugation to the secondary antibody and DAB staining.
3. Paraformaldehyde-fixed, paraffin embedded Rat Cerebrum; Antigen retrieval by boiling in sodium citrate buffer (pH6.0) for 15 min; Antibody incubation ACSL4 Monoclonal Antibody, Unconjugated (TMAB-00043) at 1:200 overnight at 4°C, followed by conjugation to the secondary antibody and DAB staining.
4. Paraformaldehyde-fixed, paraffin embedded Human Cerebrum; Antigen retrieval by boiling in sodium citrate buffer (pH6.0) for 15 min; Antibody incubation ACSL4 Monoclonal Antibody, Unconjugated (TMAB-00043) at 1:200 overnight at 4°C, followed by conjugation to the secondary antibody and DAB staining.
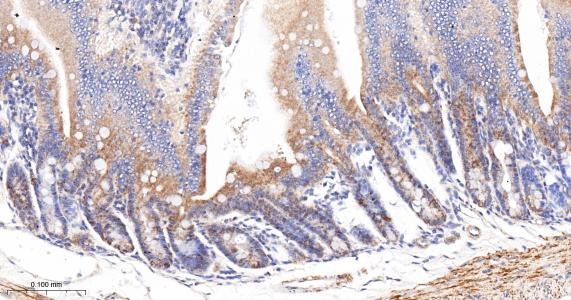
5. Paraformaldehyde-fixed, paraffin embedded Mouse Duodenum; Antigen retrieval by boiling in sodium citrate buffer (pH6.0) for 15 min; Antibody incubation ACSL4 Monoclonal Antibody, Unconjugated (TMAB-00043) at 1:200 overnight at 4°C, followed by conjugation to the secondary antibody and DAB staining.
6. Paraformaldehyde-fixed, paraffin embedded Human Duodenum; Antigen retrieval by boiling in sodium citrate buffer (pH6.0) for 15 min; Antibody incubation ACSL4 Monoclonal Antibody, Unconjugated (TMAB-00043) at 1:200 overnight at 4°C, followed by conjugation to the secondary antibody and DAB staining.
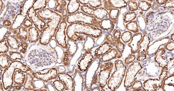
7. Paraformaldehyde-fixed, paraffin embedded Rat Kidney; Antigen retrieval by boiling in sodium citrate buffer (pH6.0) for 15 min; Antibody incubation ACSL4 Monoclonal Antibody, Unconjugated (TMAB-00043) at 1:200 overnight at 4°C, followed by conjugation to the secondary antibody and DAB staining.
8. Paraformaldehyde-fixed, paraffin embedded Human Kidney; Antigen retrieval by boiling in sodium citrate buffer (pH6.0) for 15 min; Antibody incubation ACSL4 Monoclonal Antibody, Unconjugated (TMAB-00043) at 1:200 overnight at 4°C, followed by conjugation to the secondary antibody and DAB staining.
9. Paraformaldehyde-fixed, paraffin embedded Rat Cerebellum; Antigen retrieval by boiling in sodium citrate buffer (pH6.0) for 15 min; Antibody incubation ACSL4 Monoclonal Antibody, Unconjugated (TMAB-00043) at 1:200 overnight at 4°C, followed by conjugation to the secondary antibody and DAB staining.
10. Paraformaldehyde-fixed, paraffin embedded Human Liver Cancer; Antigen retrieval by boiling in sodium citrate buffer (pH6.0) for 15 min; Antibody incubation ACSL4 Monoclonal Antibody, Unconjugated (TMAB-00043) at 1:200 overnight at 4°C, followed by conjugation to the secondary antibody and DAB staining.
verifiedActivityverifiedActivityverifiedActivityverifiedActivityverifiedActivityverifiedActivityverifiedActivityverifiedActivityverifiedActivityverifiedActivity
应用IFIHC-FrIHC-PIPWB
推荐剂量
WB: 1:500-2000; IHC-P: 1:100-500; IHC-Fr: 1:100-500; IF: 1:100-500; IP: 1:20-50
抗体种类
Monoclonal
宿主来源Rabbit
亚细胞定位Mitochondrion outer membrane. Peroxisome membrane. Microsome membrane. Endoplasmic reticulum membrane.
构建方式Recombinant Antibody
纯化方式Protein A purified
性状Liquid
缓冲液10mM phosphate buffered saline(pH 7.4) with 150mM sodium chloride, 0.05% BSA, 0.02% sodium azide and 50% glycerol.
研究背景Catalyzes the conversion of long-chain fatty acids to their active form acyl-CoA for both synthesis of cellular lipids, and degradation via beta-oxidation. Preferentially activates arachidonate and eicosapentaenoate as substrates.
抗原信息
免疫原
A synthesized peptide: human ACSL4
抗原种属
Human
基因名称
ACSL4
基因ID
蛋白名称
Long-chain-fatty-acid--CoA ligase 4
Uniprot ID
研究领域
Lipid metabolism,Lipid Signaling
功能
Activation of long-chain fatty acids for both synthesis of cellular lipids, and degradation via beta-oxidation. Preferentially uses arachidonate and eicosapentaenoate as substrates.
化学信息
分子量Theoretical: 79 kDa. Actual: 79 kDa.
存储&运输
储存方式Store at 2°C-8°C for 1 month. Store at -20°C or -80°C for 12 months. Avoid repeated freeze-thaw cycles.
运输方式Shipping with blue ice.

计算器

  • 稀释 计算器

关键词

评论列表

4个月前
5.0
Rating icon 很棒

评论内容

Related Tags: buy Anti-ACSL4 Antibody (6H118) | purchase Anti-ACSL4 Antibody (6H118) | Anti-ACSL4 Antibody (6H118) cost | order Anti-ACSL4 Antibody (6H118) | Anti-ACSL4 Antibody (6H118) molecular weight