购物车
  • 全部删除
  • TargetMol
    您的购物车当前为空

GAPDH Loading Control Polyclonal Antibody 2

一键复制产品信息
Rating icon 还可以
产品编号 TMAB-00742
别名 HEL-S-162eP, glyceraldehyde-3-phosphate dehydrogenase, GAPD, G3PD

GAPDH Loading Control Polyclonal Antibody 2 是一种 Rabbit 抗体,靶向 GAPDH Loading Control。GAPDH Loading Control Polyclonal Antibody 2 可用于 ELISA,IF,IHC-Fr,IHC-P,WB。

GAPDH Loading Control Polyclonal Antibody 2

GAPDH Loading Control Polyclonal Antibody 2

一键复制产品信息
Rating icon 还可以
产品编号 TMAB-00742 别名 HEL-S-162eP, glyceraldehyde-3-phosphate dehydrogenase, GAPD, G3PD

GAPDH Loading Control Polyclonal Antibody 2 是一种 Rabbit 抗体,靶向 GAPDH Loading Control。GAPDH Loading Control Polyclonal Antibody 2 可用于 ELISA,IF,IHC-Fr,IHC-P,WB。

规格价格库存数量
50 μL
¥ 660
5日内发货
100 μL
¥ 975
5日内发货
500 μL
¥ 3,990
5日内发货
大包装 & 定制
加入购物车
TargetMol 的所有产品仅用作科学研究或药证申报,不能被用于人体,我们不向个人提供产品和服务。请您遵守承诺用途,不得违反法律法规规定用于任何其他用途。
实验操作小课堂
常见问题解答
查看更多
联系我们获取更多批次信息
资源下载

产品介绍

生物活性
产品描述
GAPDH Loading Control Polyclonal Antibody 2 is a Rabbit antibody targeting GAPDH Loading Control. GAPDH Loading Control Polyclonal Antibody 2 can be used in ELISA,IF,IHC-Fr,IHC-P,WB.
别名HEL-S-162eP, glyceraldehyde-3-phosphate dehydrogenase, GAPD, G3PD
Ig Type
IgG
交叉反应
Human,Mouse,Rat,Hamster
验证活性
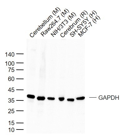
1. Sample:
Lane 1: Cerebellum (Mouse) Lysate
Lane 2: Raw264.7 (Mouse) Cell Lysate
Lane 3: NIH/3T3 (Mouse) Cell Lysate
Lane 4: Cerebrum (Rat) Lysate
Lane 5: SH-SY5Y (Human) Cell Lysate
Lane 6: MCF-7 (Human) Cell Lysate
Primary: Anti-GAPDH (TMAB-00742) at 1/10000 dilution
Secondary: IRDye800CW Goat Anti-Rabbit IgG at 1/20000 dilution
Predicted band size: 38 kDa
Observed band size: 38 kDa
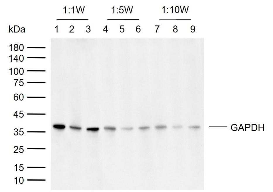
2. Sample:
Lane 1,4,7: Mouse Cerebellum tissue lysates
Lane 2,5,8: Rat Cerebellum tissue lysates
Lane 3,6,9: Human SH-SY5Y cell lysates
Primary: Anti-GAPDH (TMAB-00742) at 1/10000~1/100000 dilution
Secondary: IRDye800CW Goat Anti-Rabbit IgG at 1/20000 dilution
Predicted band size: 38 kDa
Observed band size: 36 kDa
3. Paraformaldehyde-fixed, paraffin embedded Mouse Testicles; Antigen retrieval by boiling in sodium citrate buffer (pH6.0) for 15 min; Antibody incubation with GAPDH Polyclonal Antibody, Unconjugated (TMAB-00742) at 1:200 overnight at 4°C, followed by conjugation to the SP Kit (Rabbit) and DAB staining.
4. Paraformaldehyde-fixed, paraffin embedded Rat Testicles; Antigen retrieval by boiling in sodium citrate buffer (pH6.0) for 15 min; Antibody incubation with GAPDH Polyclonal Antibody, Unconjugated (TMAB-00742) at 1:200 overnight at 4°C, followed by conjugation to the SP Kit (Rabbit) and DAB staining.
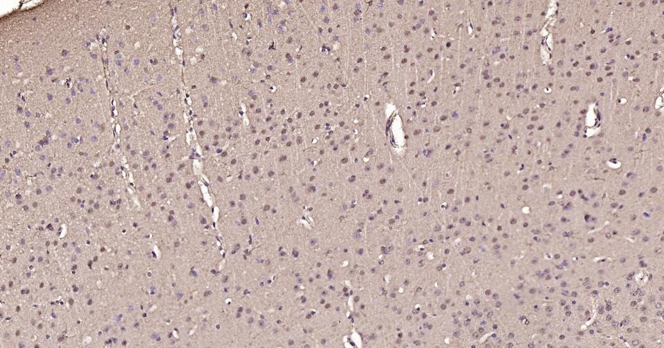
5. Paraformaldehyde-fixed, paraffin embedded Mouse Cerebrum; Antigen retrieval by boiling in sodium citrate buffer (pH6.0) for 15 min; Antibody incubation with GAPDH Polyclonal Antibody, Unconjugated (TMAB-00742) at 1:200 overnight at 4°C, followed by conjugation to the SP Kit (Rabbit) and DAB staining.
6. Paraformaldehyde-fixed, paraffin embedded Rat Cerebrum; Antigen retrieval by boiling in sodium citrate buffer (pH6.0) for 15 min; Antibody incubation with GAPDH Polyclonal Antibody, Unconjugated (TMAB-00742) at 1:200 overnight at 4°C, followed by conjugation to the SP Kit (Rabbit) and DAB staining.
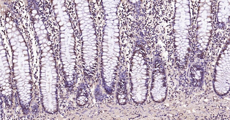
7. Paraformaldehyde-fixed, paraffin embedded Rat Colon; Antigen retrieval by boiling in sodium citrate buffer (pH6.0) for 15 min; Antibody incubation with GAPDH Polyclonal Antibody, Unconjugated (TMAB-00742) at 1:200 overnight at 4°C, followed by conjugation to the SP Kit (Rabbit) and DAB staining.
8. Paraformaldehyde-fixed, paraffin embedded Human Colon; Antigen retrieval by boiling in sodium citrate buffer (pH6.0) for 15 min; Antibody incubation with GAPDH Polyclonal Antibody, Unconjugated (TMAB-00742) at 1:200 overnight at 4°C, followed by conjugation to the SP Kit (Rabbit) and DAB staining.
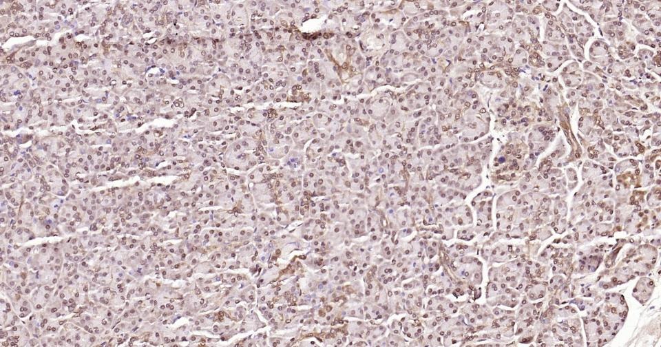
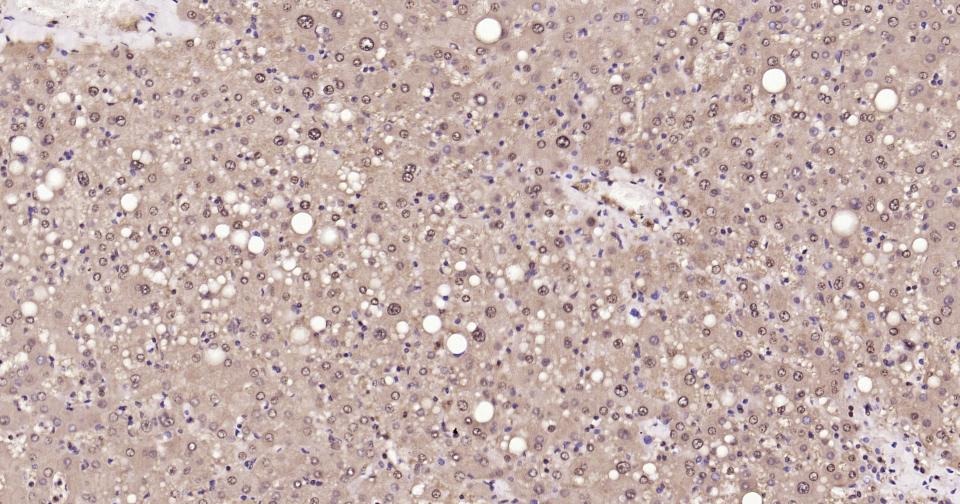
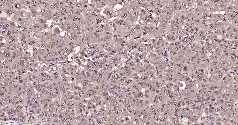
9. Paraformaldehyde-fixed, paraffin embedded Human Liver Cancer; Antigen retrieval by boiling in sodium citrate buffer (pH6.0) for 15 min; Antibody incubation with GAPDH Polyclonal Antibody, Unconjugated (TMAB-00742) at 1:200 overnight at 4°C, followed by conjugation to the SP Kit (Rabbit) and DAB staining.
10. Paraformaldehyde-fixed, paraffin embedded Human Liver; Antigen retrieval by boiling in sodium citrate buffer (pH6.0) for 15 min; Antibody incubation with GAPDH Polyclonal Antibody, Unconjugated (TMAB-00742) at 1:200 overnight at 4°C, followed by conjugation to the SP Kit (Rabbit) and DAB staining.
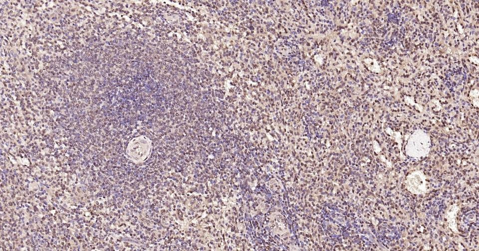
11. Paraformaldehyde-fixed, paraffin embedded Human Spleen; Antigen retrieval by boiling in sodium citrate buffer (pH6.0) for 15 min; Antibody incubation with GAPDH Polyclonal Antibody, Unconjugated (TMAB-00742) at 1:200 overnight at 4°C, followed by conjugation to the SP Kit (Rabbit) and DAB staining.
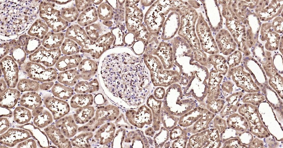
12. Paraformaldehyde-fixed, paraffin embedded Human Kidney; Antigen retrieval by boiling in sodium citrate buffer (pH6.0) for 15 min; Antibody incubation with GAPDH Polyclonal Antibody, Unconjugated (TMAB-00742) at 1:200 overnight at 4°C, followed by conjugation to the SP Kit (Rabbit) and DAB staining.
13. Paraformaldehyde-fixed, paraffin embedded Human Breast Cancer; Antigen retrieval by boiling in sodium citrate buffer (pH6.0) for 15 min; Antibody incubation with GAPDH Polyclonal Antibody, Unconjugated (TMAB-00742) at 1:200 overnight at 4°C, followed by conjugation to the SP Kit (Rabbit) and DAB staining.
14. Paraformaldehyde-fixed, paraffin embedded Human Pancreas; Antigen retrieval by boiling in sodium citrate buffer (pH6.0) for 15 min; Antibody incubation with GAPDH Polyclonal Antibody, Unconjugated (TMAB-00742) at 1:200 overnight at 4°C, followed by conjugation to the SP Kit (Rabbit) and DAB staining.
15. Paraformaldehyde-fixed, paraffin embedded Human Colon; Antigen retrieval by boiling in sodium citrate buffer (pH6.0) for 15 min; Antibody incubation with GAPDH Polyclonal Antibody, Unconjugated (TMAB-00742) at 1:200 overnight at 4°C. Followed by conjugated Goat Anti-Rabbit IgG antibody (red), DAPI (blue) was used to stain the cell nucleus.
16. Paraformaldehyde-fixed, paraffin embedded Rat Kidney; Antigen retrieval by boiling in sodium citrate buffer (pH6.0) for 15 min; Antibody incubation with GAPDH Polyclonal Antibody, Unconjugated (TMAB-00742) at 1:100 overnight at 4°C. Followed by conjugated Goat Anti-Rabbit IgG antibody (red), DAPI (blue) was used to stain the cell nucleus.
17. Paraformaldehyde-fixed, paraffin embedded Mouse Kidney; Antigen retrieval by boiling in sodium citrate buffer (pH6.0) for 15 min; Antibody incubation with GAPDH Polyclonal Antibody, Unconjugated (TMAB-00742) at 1:100 overnight at 4°C. Followed by conjugated Goat Anti-Rabbit IgG antibody (red), DAPI (blue) was used to stain the cell nucleus.
18. Paraformaldehyde-fixed, paraffin embedded Human Kidney; Antigen retrieval by boiling in sodium citrate buffer (pH6.0) for 15 min; Antibody incubation with GAPDH Polyclonal Antibody, Unconjugated (TMAB-00742) at 1:100 overnight at 4°C. Followed by conjugated Goat Anti-Rabbit IgG antibody (red), DAPI (blue) was used to stain the cell nucleus.
verifiedActivityverifiedActivityverifiedActivityverifiedActivityverifiedActivityverifiedActivityverifiedActivityverifiedActivityverifiedActivityverifiedActivityverifiedActivityverifiedActivityverifiedActivityverifiedActivityverifiedActivityverifiedActivityverifiedActivityverifiedActivity
应用ELISAIFIHC-FrIHC-PWB
推荐剂量
WB: 1:5000-50000; IHC-P: 1:100-500; IHC-Fr: 1:100-500; IF: 1:100-500; ELISA: 1:5000-10000
抗体种类
Polyclonal
宿主来源Rabbit
亚细胞定位Cytoplasm, cytosol. Nucleus. Cytoplasm, perinuclear region. Membrane. Note=Translocates to the nucleus following S-nitrosylation and interaction with SIAH1, which contains a nuclear localization signal. Postnuclear and Perinuclear regions.
构建方式Polyclonal Antibody
纯化方式Protein A purified
性状Liquid
缓冲液0.01M TBS (pH7.4) with 1% BSA, 0.02% Proclin300 and 50% Glycerol.
浓度1 mg/mL
研究背景oading Control Glyceraldehyde 3 phosphate dehydrogenase (GAPDH) is well known as one of the key enzymes involved in glycolysis. As well as functioning as a glycolytic enzyme in cytoplasm, recent evidence suggests that mammalian GAPDH is also involved in a great number of intracellular proceses such as membrane fusion, microtubule bundling, phosphotransferase activity, nuclear RNA export, DNA replication, and DNA repair. During the last decade a lot of data appeared concerning the role of GAPDH in different pathologies including prostate cancer progression, programmed neuronal cell death, age related neuronal diseases, such as Alzheimer's and Huntington's disease. GAPDH is expressed in all cells. It is constitutively expressed in almost all tissues at high levels. There are however some physiological factors such as hypoxia and diabetes that increase GAPDH expression in certain cell types. GAPDH molecule is composed of four 36kDa subunits.
抗原信息
免疫原
Recombinant Protein: human GAPDH full length protein
抗原种属
Human
基因名称
GAPDH
基因ID
蛋白名称
Glyceraldehyde-3-phosphate dehydrogenase
Uniprot ID
研究领域
Energy Metabolism,Huntington's disease,Alzheimer's disease,Neurodegenerative disease,Cancer,Energy Metabolism,Carbohydrate metabolism,GAPDH,Metabolism of carbohydrates
功能
Has both glyceraldehyde-3-phosphate dehydrogenase and nitrosylase activities, thereby playing a role in glycolysis and nuclear functions, respectively (PubMed:3170585, PubMed:11724794).Glyceraldehyde-3-phosphate dehydrogenase is a key enzyme in glycolysis that catalyzes the first step of the pathway by converting D-glyceraldehyde 3-phosphate (G3P) into 3-phospho-D-glyceroyl phosphate (PubMed:3170585, PubMed:11724794).Modulates the organization and assembly of the cytoskeleton (By similarity).Facilitates the CHP1-dependent microtubule and membrane associations through its ability to stimulate the binding of CHP1 to microtubules (By similarity).Component of the GAIT (gamma interferon-activated inhibitor of translation) complex which mediates interferon-gamma-induced transcript-selective translation inhibition in inflammation processes (PubMed:23071094).Upon interferon-gamma treatment assembles into the GAIT complex which binds to stem loop-containing GAIT elements in the 3'-UTR of diverse inflammatory mRNAs (such as ceruplasmin) and suppresses their translation (PubMed:23071094).Also plays a role in innate immunity by promoting TNF-induced NF-kappa-B activation and type I interferon production, via interaction with TRAF2 and TRAF3, respectively (PubMed:23332158, PubMed:27387501).Participates in nuclear events including transcription, RNA transport, DNA replication and apoptosis (By similarity).Nuclear functions are probably due to the nitrosylase activity that mediates cysteine S-nitrosylation of nuclear target proteins such as SIRT1, HDAC2 and PRKDC (By similarity).
化学信息
分子量Theoretical: 38 kDa.
存储&运输
储存方式Store at -20°C or -80°C for 12 months. Avoid repeated freeze-thaw cycles.
运输方式Shipping with blue ice.

计算器

  • 稀释 计算器

评论列表

4个月前
5.0
Rating icon 很棒

评论内容

Related Tags: buy GAPDH Loading Control Polyclonal Antibody 2 | purchase GAPDH Loading Control Polyclonal Antibody 2 | GAPDH Loading Control Polyclonal Antibody 2 cost | order GAPDH Loading Control Polyclonal Antibody 2 | GAPDH Loading Control Polyclonal Antibody 2 molecular weight