购物车
  • 全部删除
  • TargetMol
    您的购物车当前为空

COX4I1 Mitochondrial Loading Control Antibody (5Z89)

Rating icon 还可以
产品编号 TMAB-00473
别名 mitochondrial, Cytochrome c oxidase subunit IV isoform 1 (COX IV-1), Cytochrome c oxidase subunit 4 isoform 1, mitochondrial, Cytochrome c oxidase polypeptide IV, COX4I1, COX4

COX4I1 Mitochondrial Loading Control Antibody (5Z89) 是一种 Mouse 抗体,靶向 COX4I1 Mitochondrial Loading Control。COX4I1 Mitochondrial Loading Control Antibody (5Z89) 可用于 IF,IHC-Fr,IHC-P。

COX4I1 Mitochondrial Loading Control Antibody (5Z89)

COX4I1 Mitochondrial Loading Control Antibody (5Z89)

一键复制产品信息
Rating icon 还可以
产品编号 TMAB-00473 别名 mitochondrial, Cytochrome c oxidase subunit IV isoform 1 (COX IV-1), Cytochrome c oxidase subunit 4 isoform 1, mitochondrial, Cytochrome c oxidase polypeptide IV, COX4I1, COX4

COX4I1 Mitochondrial Loading Control Antibody (5Z89) 是一种 Mouse 抗体,靶向 COX4I1 Mitochondrial Loading Control。COX4I1 Mitochondrial Loading Control Antibody (5Z89) 可用于 IF,IHC-Fr,IHC-P。

规格价格库存数量
50 μL
¥ 660
5日内发货
100 μL
¥ 965
5日内发货
500 μL
¥ 3,985
5日内发货
大包装 & 定制
加入购物车
TargetMol 的所有产品仅用作科学研究或药证申报,不能被用于人体,我们不向个人提供产品和服务。请您遵守承诺用途,不得违反法律法规规定用于任何其他用途。
实验操作小课堂
常见问题解答
查看更多
联系我们获取更多批次信息
资源下载

产品介绍

生物活性
产品描述
COX4I1 Mitochondrial Loading Control Antibody (5Z89) is a Mouse antibody targeting COX4I1 Mitochondrial Loading Control. COX4I1 Mitochondrial Loading Control Antibody (5Z89) can be used in IF,IHC-Fr,IHC-P.
别名mitochondrial, Cytochrome c oxidase subunit IV isoform 1 (COX IV-1), Cytochrome c oxidase subunit 4 isoform 1, mitochondrial, Cytochrome c oxidase polypeptide IV, COX4I1, COX4
Ig Type
IgG
克隆号
5Z89
交叉反应
Human,Mouse,Rat
验证活性
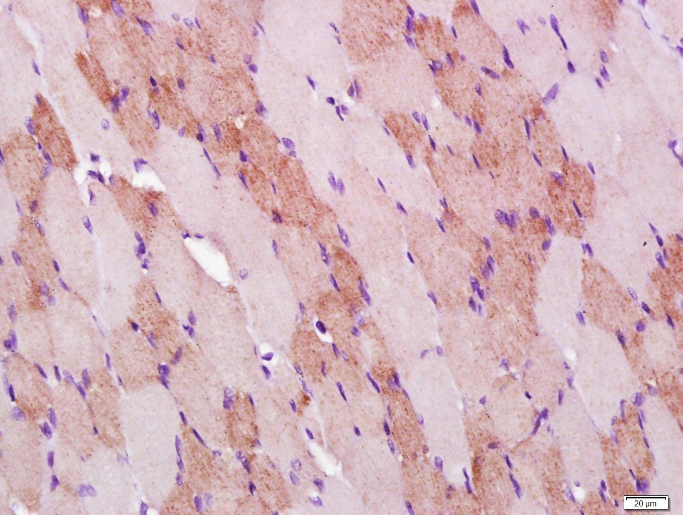
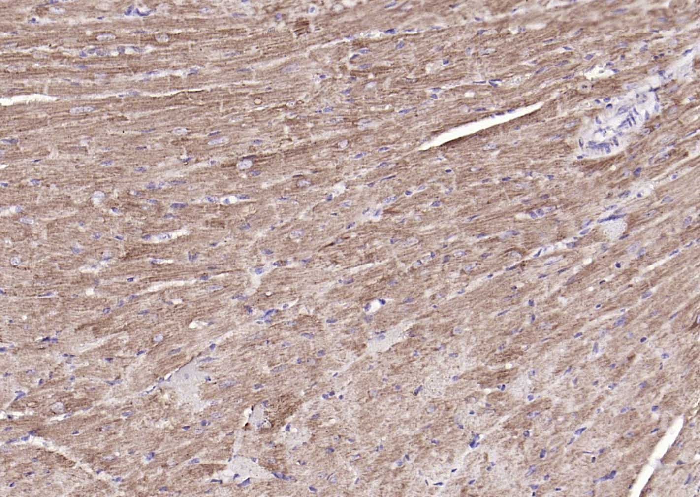
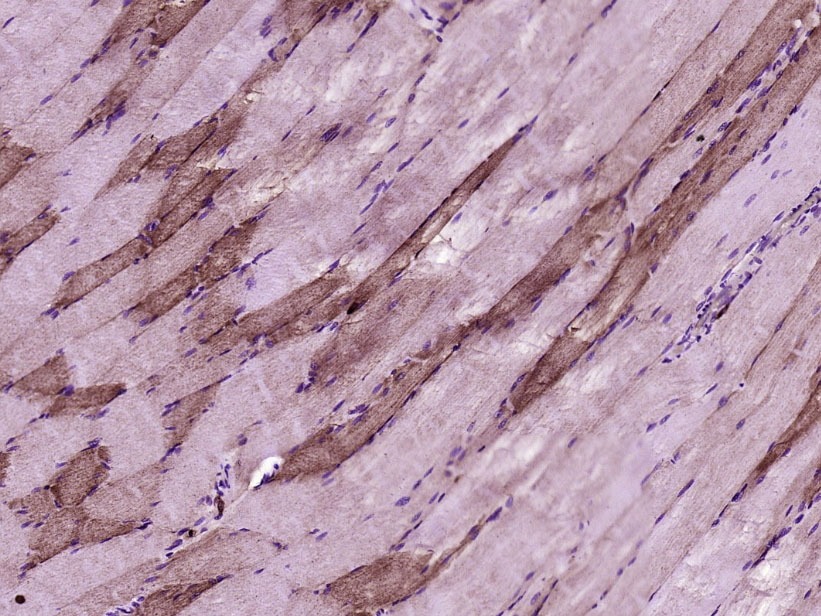
1. Paraformaldehyde-fixed, paraffin embedded (Rat skeletal muscle); Antigen retrieval by boiling in sodium citrate buffer (pH6.0) for 15 min; Block endogenous peroxidase by 3% hydrogen peroxide for 20 min; Blocking buffer (normal goat serum) at 37°C for 30 min; Antibody incubation with (COX4) Monoclonal Antibody, Unconjugated (TMAB-00473) at 1:500 overnight at 4°C, followed by a conjugated secondary for 20 min and DAB staining.
2. Paraformaldehyde-fixed, paraffin embedded (Rat skeletal muscle); Antigen retrieval by boiling in sodium citrate buffer (pH6.0) for 15 min; Block endogenous peroxidase by 3% hydrogen peroxide for 20 min; Blocking buffer (normal goat serum) at 37°C for 30 min; Antibody incubation with (COX4) Monoclonal Antibody, Unconjugated (TMAB-00473) at 1:400 overnight at 4°C, followed by a conjugated secondary for 20 min and DAB staining.
3. Paraformaldehyde-fixed, paraffin embedded (Rat skeletal muscle); Antigen retrieval by boiling in sodium citrate buffer (pH6.0) for 15 min; Block endogenous peroxidase by 3% hydrogen peroxide for 20 min; Blocking buffer (normal goat serum) at 37°C for 30 min; Antibody incubation with (COX4) Monoclonal Antibody, Unconjugated (TMAB-00473) at 1:400 overnight at 4°C, followed by a conjugated Goat Anti-Mouse IgG antibody for 90 minutes, and DAPI for nucleus staining.
4. Paraformaldehyde-fixed, paraffin embedded (Rat skeletal muscle); Antigen retrieval by boiling in sodium citrate buffer (pH6.0) for 15 min; Block endogenous peroxidase by 3% hydrogen peroxide for 20 min; Blocking buffer (normal goat serum) at 37°C for 30 min; Antibody incubation with (COX4) Monoclonal Antibody, Unconjugated (TMAB-00473) at 1:400 overnight at 4°C, followed by a conjugated Goat Anti-Mouse IgG antibody for 90 minutes, and DAPI for nucleus staining.
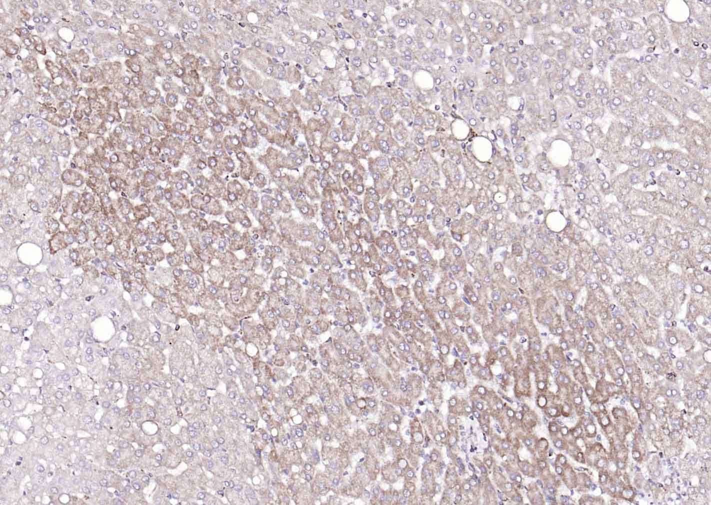
5. Paraformaldehyde-fixed, paraffin embedded (rat liver); Antigen retrieval by boiling in sodium citrate buffer (pH6.0) for 15 min; Block endogenous peroxidase by 3% hydrogen peroxide for 20 min; Blocking buffer (normal goat serum) at 37°C for 30 min; Incubation with (COX4I1 (Mitochondrial Loading Control)) Monoclonal Antibody, Unconjugated (TMAB-00473) at 1:200 overnight at 4°C, followed by operating according to SP Kit (Mouse) instructionsand DAB staining.
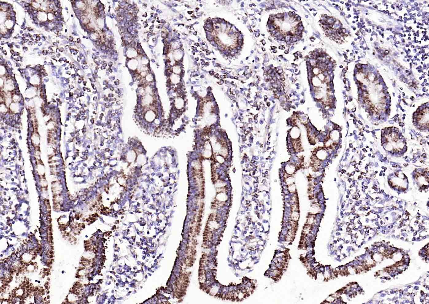
6. Paraformaldehyde-fixed, paraffin embedded (Human duodenum); Antigen retrieval by boiling in sodium citrate buffer (pH6.0) for 15 min; Block endogenous peroxidase by 3% hydrogen peroxide for 20 min; Blocking buffer (normal goat serum) at 37°C for 30 min; Incubation with (COX4I1 (Mitochondrial Loading Control)) Monoclonal Antibody, Unconjugated (TMAB-00473) at 1:200 overnight at 4°C, followed by operating according to SP Kit (Mouse) instructionsand DAB staining.
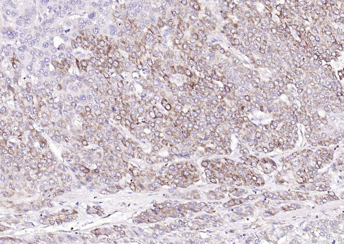
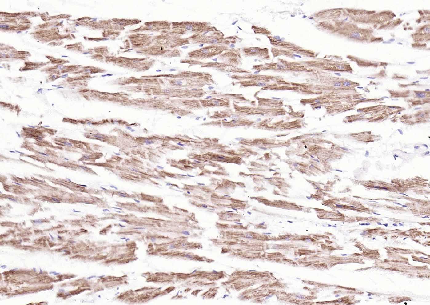
7. Paraformaldehyde-fixed, paraffin embedded (Human heart); Antigen retrieval by boiling in sodium citrate buffer (pH6.0) for 15 min; Block endogenous peroxidase by 3% hydrogen peroxide for 20 min; Blocking buffer (normal goat serum) at 37°C for 30 min; Incubation with (COX4I1 (Mitochondrial Loading Control)) Monoclonal Antibody, Unconjugated (TMAB-00473) at 1:200 overnight at 4°C, followed by operating according to SP Kit (Mouse) instructionsand DAB staining.
8. Paraformaldehyde-fixed, paraffin embedded (mouse heart); Antigen retrieval by boiling in sodium citrate buffer (pH6.0) for 15 min; Block endogenous peroxidase by 3% hydrogen peroxide for 20 min; Blocking buffer (normal goat serum) at 37°C for 30 min; Incubation with (COX4I1 (Mitochondrial Loading Control)) Monoclonal Antibody, Unconjugated (TMAB-00473) at 1:100 overnight at 4°C, followed by operating according to SP Kit (Mouse) instructionsand DAB staining.
9. Paraformaldehyde-fixed, paraffin embedded (rat heart); Antigen retrieval by boiling in sodium citrate buffer (pH6.0) for 15 min; Block endogenous peroxidase by 3% hydrogen peroxide for 20 min; Blocking buffer (normal goat serum) at 37°C for 30 min; Incubation with (COX4I1 (Mitochondrial Loading Control)) Monoclonal Antibody, Unconjugated (TMAB-00473) at 1:100 overnight at 4°C, followed by operating according to SP Kit (Mouse) instructionsand DAB staining.
10. Paraformaldehyde-fixed, paraffin embedded (human heart); Antigen retrieval by boiling in sodium citrate buffer (pH6.0) for 15 min; Block endogenous peroxidase by 3% hydrogen peroxide for 20 min; Blocking buffer (normal goat serum) at 37°C for 30 min; Incubation with (COX4I1 (Mitochondrial Loading Control)) Monoclonal Antibody, Unconjugated (TMAB-00473) at 1:100 overnight at 4°C, followed by operating according to SP Kit (Mouse) instructionsand DAB staining.
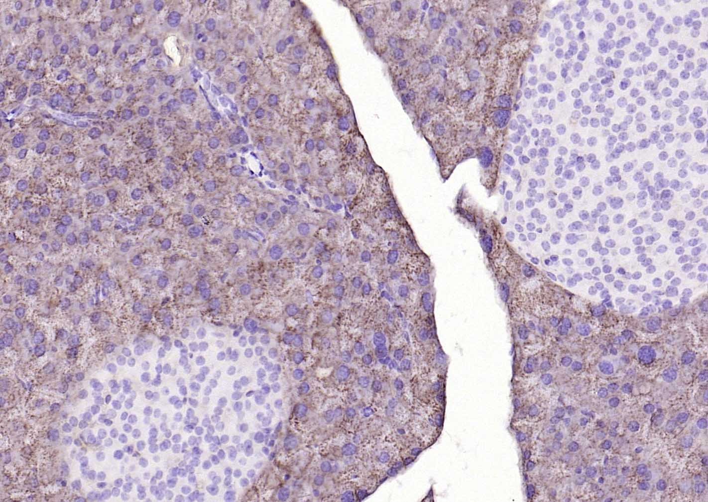
11. Paraformaldehyde-fixed, paraffin embedded (mouse pancreas); Antigen retrieval by boiling in sodium citrate buffer (pH6.0) for 15 min; Block endogenous peroxidase by 3% hydrogen peroxide for 20 min; Blocking buffer (normal goat serum) at 37°C for 30 min; Incubation with (COX4I1 (Mitochondrial Loading Control)) Monoclonal Antibody, Unconjugated (TMAB-00473) at 1:100 overnight at 4°C, followed by operating according to SP Kit (Mouse) instructionsand DAB staining.
12. Paraformaldehyde-fixed, paraffin embedded (rat pancreas); Antigen retrieval by boiling in sodium citrate buffer (pH6.0) for 15 min; Block endogenous peroxidase by 3% hydrogen peroxide for 20 min; Blocking buffer (normal goat serum) at 37°C for 30 min; Incubation with (COX4I1 (Mitochondrial Loading Control)) Monoclonal Antibody, Unconjugated (TMAB-00473) at 1:100 overnight at 4°C, followed by operating according to SP Kit (Mouse) instructionsand DAB staining.
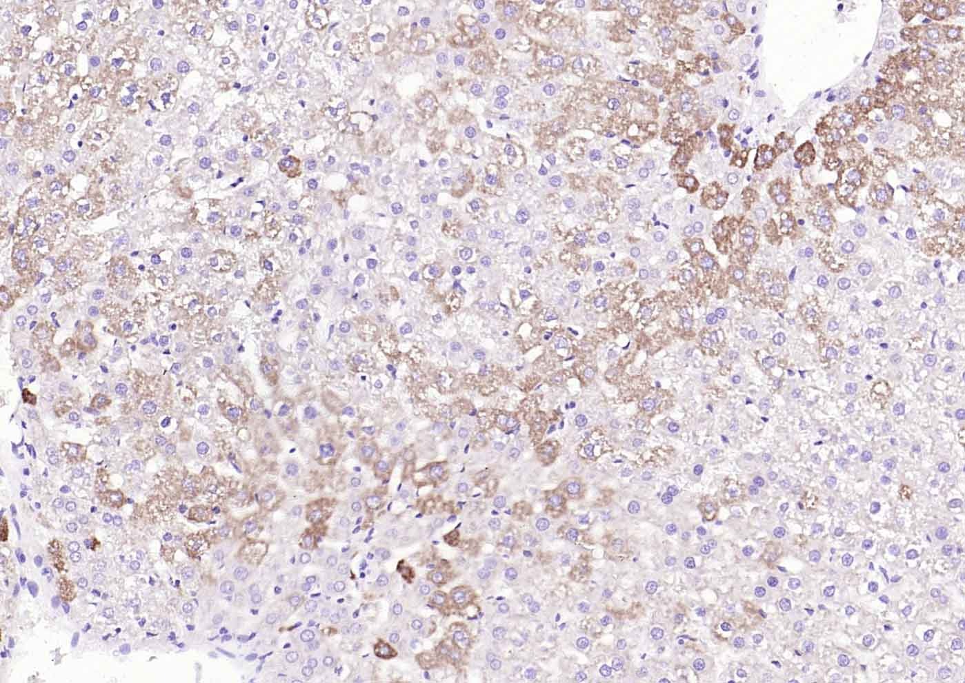
13. Paraformaldehyde-fixed, paraffin embedded (human liver); Antigen retrieval by boiling in sodium citrate buffer (pH6.0) for 15 min; Block endogenous peroxidase by 3% hydrogen peroxide for 20 min; Blocking buffer (normal goat serum) at 37°C for 30 min; Incubation with (COX4I1 (Mitochondrial Loading Control)) Monoclonal Antibody, Unconjugated (TMAB-00473) at 1:100 overnight at 4°C, followed by operating according to SP Kit (Mouse) instructionsand DAB staining.
14. Paraformaldehyde-fixed, paraffin embedded (human liver carcinoma); Antigen retrieval by boiling in sodium citrate buffer (pH6.0) for 15 min; Block endogenous peroxidase by 3% hydrogen peroxide for 20 min; Blocking buffer (normal goat serum) at 37°C for 30 min; Incubation with (COX4I1 (Mitochondrial Loading Control)) Monoclonal Antibody, Unconjugated (TMAB-00473) at 1:100 overnight at 4°C, followed by operating according to SP Kit (Mouse) instructionsand DAB staining.
verifiedActivityverifiedActivityverifiedActivityverifiedActivityverifiedActivityverifiedActivityverifiedActivityverifiedActivityverifiedActivityverifiedActivityverifiedActivityverifiedActivityverifiedActivityverifiedActivity
应用IFIHC-FrIHC-P
推荐剂量
IHC-P: 1:100-500; IHC-Fr: 1:100-500; IF: 1:200-800
抗体种类
Monoclonal
宿主来源Mouse
亚细胞定位Mitochondrion inner membrane.
组织特异性Ubiquitous.
构建方式Hybridoma Monoclonal Antibody
纯化方式Protein G purified
性状Liquid
缓冲液0.01M TBS (pH7.4) with 1% BSA, 0.02% Proclin300 and 50% Glycerol.
浓度1 mg/mL
研究背景Cytochrome c oxidase (COX) is the terminal enzyme of the mitochondrial respiratory chain. It is a multi-subunit enzyme complex that couples the transfer of electrons from cytochrome c to molecular oxygen and contributes to a proton electrochemical gradient across the inner mitochondrial membrane. The complex consists of 13 mitochondrial- and nuclear-encoded subunits. The mitochondrially-encoded subunits perform the electron transfer and proton pumping activities. The functions of the nuclear-encoded subunits are unknown but they may play a role in the regulation and assembly of the complex. This gene encodes the nuclear-encoded subunit IV isoform 1 of the human mitochondrial respiratory chain enzyme. It is located at the 3' of the NOC4 (neighbor of COX4) gene in a head-to-head orientation, and shares a promoter with it. [provided by RefSeq, Jul 2008]
抗原信息
免疫原
Recombinant Protein: human COX4
抗原种属
Human
基因名称
COX4I1
基因ID
蛋白名称
Cytochrome c oxidase subunit 4 isoform 1, mitochondrial
Uniprot ID
研究领域
Integration of energy metabolism,COX IV - Mitochondrial,Integration of energy,Mitochondrial markers,Complex IV,Mitochondrial,Mitochondria
功能
This protein is one of the nuclear-coded polypeptide chains of cytochrome c oxidase, the terminal oxidase in mitochondrial electron transport.
化学信息
分子量Theoretical: 17 kDa.
存储&运输
储存方式Store at -20°C or -80°C for 12 months. Avoid repeated freeze-thaw cycles.
运输方式Shipping with blue ice.

计算器

  • 稀释 计算器

关键词

评论列表

4个月前
5.0
Rating icon 很棒

评论内容

Related Tags: buy COX4I1 Mitochondrial Loading Control Antibody (5Z89) | purchase COX4I1 Mitochondrial Loading Control Antibody (5Z89) | COX4I1 Mitochondrial Loading Control Antibody (5Z89) cost | order COX4I1 Mitochondrial Loading Control Antibody (5Z89) | COX4I1 Mitochondrial Loading Control Antibody (5Z89) molecular weight