购物车
  • TargetMol
    您的购物车当前为空

Anti-Zyxin Antibody (5W666)

Synonyms: Zyxin-2, Zyxin, ZYX
货号 TMAC-04321 一键复制产品信息
Rating icon 还可以

Anti-Zyxin Antibody (5W666) 是一种 Rabbit 抗体,靶向 Zyxin。Anti-Zyxin Antibody (5W666) 可用于 FCM,ICC/IF,IHC,IP,WB。

Anti-Zyxin Antibody (5W666)

一键复制产品信息
Rating icon 还可以
货号 TMAC-04321

别名 Zyxin-2, Zyxin, ZYX

Anti-Zyxin Antibody (5W666) 是一种 Rabbit 抗体,靶向 Zyxin。Anti-Zyxin Antibody (5W666) 可用于 FCM,ICC/IF,IHC,IP,WB。

Anti-Zyxin Antibody (5W666)
规格价格库存数量
50 μL
¥ 1,485
5日内发货
100 μL
¥ 2,480
5日内发货
库存状态实时更新,以官网显示为准,现货产品可直接加购物车下单
大包装 & 定制
加入购物车
TargetMol的所有产品仅用作科学研究或药证申报,不能被用于人体,我们不向个人提供产品和服务。请您遵守承诺用途,不得违反法律法规规定用于任何其他用途。
实验操作小课堂
常见问题解答
查看更多

资源下载:产品操作手册

产品介绍


生物活性
产品描述
Anti-Zyxin Antibody (5W666) is a Rabbit antibody targeting Zyxin. Anti-Zyxin Antibody (5W666) can be used in FCM,ICC/IF,IHC,IP,WB.
别名Zyxin-2, Zyxin, ZYX
Ig Type
IgG
克隆号
5W666
反应种属
Human,Mouse
验证活性
1. Western blot analysis of Zyxin on MCF-7 cell using anti-Zyxin antibody at 1/500 dilution.
2. Immunohistochemical analysis of paraffin-embedded human kidney tissue using anti-Zyxin antibody. Counter stained with hematoxylin.
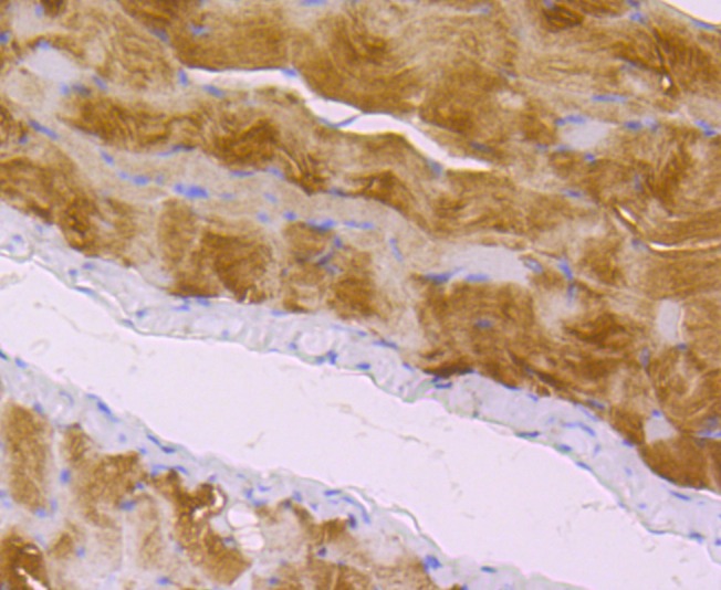
3. Immunohistochemical analysis of paraffin-embedded mouse smooth muscle tissue using anti-Zyxin antibody. Counter stained with hematoxylin.
4. ICC staining Zyxin in LOVO cells (green). The nuclear counter stain is DAPI (blue). Cells were fixed in paraformaldehyde, permeabilised with 0.25% Triton X100/PBS.
5. ICC staining Zyxin in PC-3M cells (green). The nuclear counter stain is DAPI (blue). Cells were fixed in paraformaldehyde, permeabilised with 0.25% Triton X100/PBS.
6. Flow cytometric analysis of Hela cells with Zyxin antibody at 1/100 dilution (red) compared with an unlabelled control (cells without incubation with primary antibody; black). Alexa Fluor 488-conjugated goat anti rabbit IgG was used as the secondary antibody.
verifiedActivityverifiedActivityverifiedActivityverifiedActivityverifiedActivityverifiedActivity
应用FCMICC/IFIHCIPWB
推荐剂量
WB: 1:500-1000; IHC: 1:50-200; ICC/IF: 1:50-200; FCM: 1:50-100
抗体种类
Monoclonal
宿主来源Rabbit
构建方式Recombinant Antibody
纯化方式ProA affinity purified
性状Liquid
缓冲液1*TBS (pH7.4), 1%BSA, 40%Glycerol. Preservative: 0.05% Sodium Azide.
研究背景Zyxin is a low abundance phosphoprotein localized to focal adhesion plaques and is thought to perform regulatory functions at these regions. The protein contains a number of proline-rich sequences as well as three LIM domains, zinc finger domains involved in protein binding. Zyxin interacts with several other proteins at cell adhesion sites, including members of the CRP (cysteine-rich protein) LIM domain containing protein family. The proline-rich domain of Zyxin associates with an SH3 domain of p95 Vav, but not with similar SH3 domains containing proteins such as GRB2 or PLCg. Zyxin has also been shown to interact with the focal adhesion protein VASP and may assist in the targeting of VASP to focal adhesions, microfilaments and membrane regions of high dynamic activity.
偶联与修饰
偶联
Unconjugated
抗原信息
免疫原
Recombinant Protein
Uniprot ID
化学信息
分子量Theoretical: 75/61/45 kDa.
储存&溶解度
储存方式Store at -20°C or -80°C for 12 months. Avoid repeated freeze-thaw cycles.
运输方式Shipping with blue ice.

计算器

  • 稀释 计算器
  • 配液 计算器

关键词

Related Tags: buy Anti-Zyxin Antibody (5W666) | purchase Anti-Zyxin Antibody (5W666) | Anti-Zyxin Antibody (5W666) cost | order Anti-Zyxin Antibody (5W666) | Anti-Zyxin Antibody (5W666) molecular weight