购物车
  • 全部删除
  • TargetMol
    您的购物车当前为空

Anti-Vinculin Antibody (3Q495)

一键复制产品信息
Rating icon 还可以
产品编号 TMAC-04263
别名 vinculin, MVCL, MV, HEL114, CMH15, CMD1W

Anti-Vinculin Antibody (3Q495) 是一种 Rabbit 抗体,靶向 Vinculin。Anti-Vinculin Antibody (3Q495) 可用于 ICC/IF,IHC,WB。

Anti-Vinculin Antibody (3Q495)

Anti-Vinculin Antibody (3Q495)

一键复制产品信息
Rating icon 还可以
产品编号 TMAC-04263 别名 vinculin, MVCL, MV, HEL114, CMH15, CMD1W

Anti-Vinculin Antibody (3Q495) 是一种 Rabbit 抗体,靶向 Vinculin。Anti-Vinculin Antibody (3Q495) 可用于 ICC/IF,IHC,WB。

规格价格库存数量
50 μL
¥ 1,480
5日内发货
100 μL
¥ 2,495
5日内发货
大包装 & 定制
加入购物车
TargetMol 的所有产品仅用作科学研究或药证申报,不能被用于人体,我们不向个人提供产品和服务。请您遵守承诺用途,不得违反法律法规规定用于任何其他用途。
实验操作小课堂
常见问题解答
查看更多
联系我们获取更多批次信息
资源下载

产品介绍

生物活性
产品描述
Anti-Vinculin Antibody (3Q495) is a Rabbit antibody targeting Vinculin. Anti-Vinculin Antibody (3Q495) can be used in ICC/IF,IHC,WB.
别名vinculin, MVCL, MV, HEL114, CMH15, CMD1W
Ig Type
IgG
克隆号
3Q495
交叉反应
Human,Mouse,Rat
验证活性
1. Western blot analysis of Vinculin on different lysates with Vinculin antibody at 1/20,000 dilution. Lane 1: HepG2 cell lysate (15 μg/Lane), Lane 2: HeLa cell lysate (15 μg/Lane), Lane 3: NIH/3T3 cell lysate (15 μg/Lane), Lane 4: C6 cell lysate (15 μg/Lane), Lane 5: Mouse spleen tissue lysate (20 μg/Lane), Lane 6: Rat kidney tissue lysate (20 μg/Lane), Predicted band size: 124 kDa, Observed band size: 124 kDa, Exposure time: 1 minute 21 seconds; 4-20% SDS-PAGE gel.
2. Immunocytochemistry analysis of HeLa cells labeling Vinculin with Vinculin antibody at 1/1,000 dilution.
3. Flow cytometric analysis of HeLa cells labeling Vinculin.
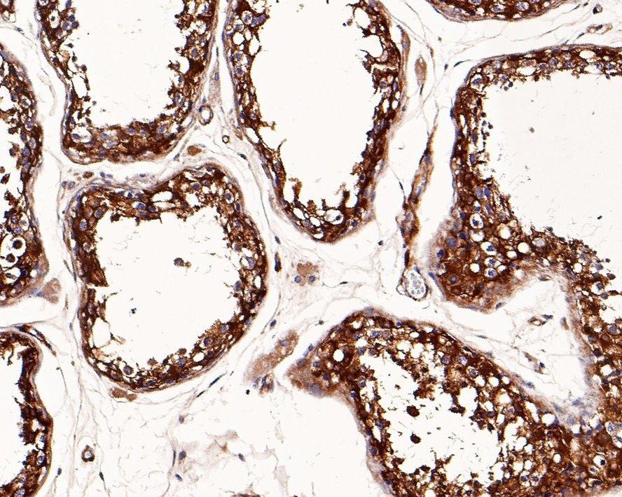
4. Immunohistochemical analysis of paraffin-embedded human testis tissue with Vinculin antibody at 1/200 dilution.
5. Immunohistochemical analysis of paraffin-embedded mouse testis tissue with Vinculin antibody at 1/20,000 dilution.
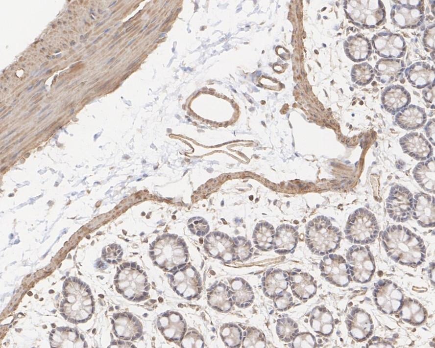
6. Immunohistochemical analysis of paraffin-embedded rat colon tissue with Vinculin antibody at 1/20,000 dilution.
7. Immunocytochemistry analysis of NIH/3T3 cells labeling Vinculin with Vinculin antibody at 1/250 dilution.
8. Immunocytochemistry analysis of C6 cells labeling Vinculin with Vinculin antibody at 1/250 dilution.
verifiedActivityverifiedActivityverifiedActivityverifiedActivityverifiedActivityverifiedActivityverifiedActivityverifiedActivity
应用ICC/IFIHCWB
推荐剂量
WB: 1:5000-20000; ICC/IF-Cell 1:200-1000; ICC/IF-Tissue 1:50-4000; IHC-P 1:200-20000
抗体种类
Monoclonal
宿主来源Rabbit
构建方式Recombinant Antibody
纯化方式ProA affinity purified
性状Liquid
缓冲液1*TBS (pH7.4), 0.05% BSA, 40% Glycerol. Preservative: 0.05% Sodium Azide.
研究背景Focal adhesions are identified as areas within the plasma membrane of tissue culture cells that adhere tightly to the underlying substrate. In vivo, these regions are involved in the adhesion of cells to the extracellular matrix. Paxillin and vinculin are cytoskeletal, focal adhesion proteins that are components of a protein complex which links the Actin network to the plasma membrane. Vinculin binding sites have been identified on other cytoskeletal proteins, including Talin and α-actinin. In addition, vinculin, Talin and α-actinin each contain Actin binding sites. Expression of vinculin and Talin have been shown to be affected by the level of Actin expression. α-Actinin has been shown to link Actin to integrins in the plasma membrane through interactions with the vinculin and Talin complex or by a direct interaction with integrin.
偶联与修饰
偶联
Unconjugated
抗原信息
免疫原
A synthesized peptide: within human Vinculin
抗原种属
human
Uniprot ID
化学信息
分子量Theoretical: 124 kDa.
存储&运输
储存方式Store at -20°C or -80°C for 12 months (Store at 4℃ after thawing). Avoid repeated freeze-thaw cycles.
运输方式Shipping with blue ice.

计算器

  • 稀释 计算器

关键词

评论列表

4个月前
5.0
Rating icon 很棒

评论内容

Related Tags: buy Anti-Vinculin Antibody (3Q495) | purchase Anti-Vinculin Antibody (3Q495) | Anti-Vinculin Antibody (3Q495) cost | order Anti-Vinculin Antibody (3Q495) | Anti-Vinculin Antibody (3Q495) molecular weight