购物车
  • TargetMol
    您的购物车当前为空

Anti-VEGFR1/FLT-1 Antibody (7V802)

Synonyms: VEGFR1, VEGF R1, FRT, Flt-1, FLT1, FLT
货号 TMAB-01956 一键复制产品信息
Rating icon 还可以

Anti-VEGFR1/FLT-1 Antibody (7V802) 是一种 Rabbit 抗体,靶向 VEGFR1/FLT-1。Anti-VEGFR1/FLT-1 Antibody (7V802) 可用于 IF, IHC-Fr, IHC-P, WB。

Anti-VEGFR1/FLT-1 Antibody (7V802)

一键复制产品信息
Rating icon 还可以
货号 TMAB-01956

别名 VEGFR1, VEGF R1, FRT, Flt-1, FLT1, FLT

Anti-VEGFR1/FLT-1 Antibody (7V802) 是一种 Rabbit 抗体,靶向 VEGFR1/FLT-1。Anti-VEGFR1/FLT-1 Antibody (7V802) 可用于 IF, IHC-Fr, IHC-P, WB。

Anti-VEGFR1/FLT-1 Antibody (7V802)
规格价格库存数量
25 μL
¥ 780
5日内发货
50 μL
¥ 1,390
5日内发货
100 μL
¥ 2,495
5日内发货
库存状态实时更新,以官网显示为准,现货产品可直接加购物车下单
大包装 & 定制
加入购物车

TargetMol的所有产品仅用作科学研究或药证申报,不能被用于人体,我们不向个人提供产品和服务。请您遵守承诺用途,不得违反法律法规规定用于任何其他用途。

实验操作小课堂
常见问题解答
查看更多

资源下载:产品操作手册

产品介绍


生物活性
产品描述
Anti-VEGFR1/FLT-1 Antibody (7V802) is a Rabbit antibody targeting VEGFR1/FLT-1. Anti-VEGFR1/FLT-1 Antibody (7V802) can be used in IF, IHC-Fr, IHC-P, WB.
别名
VEGFR1, VEGF R1, FRT, Flt-1, FLT1, FLT
Ig Type
IgG
克隆号
7V802
反应种属
Human,Mouse,Rat
验证活性
1. 25 μg total protein per Lane of various lysates probed with VEGFR1 monoclonal antibody, unconjugated (TMAB-01956) at 1:2000 dilution and 4°C overnight incubation. Followed by conjugated secondary antibody incubation at RT for 60 min.
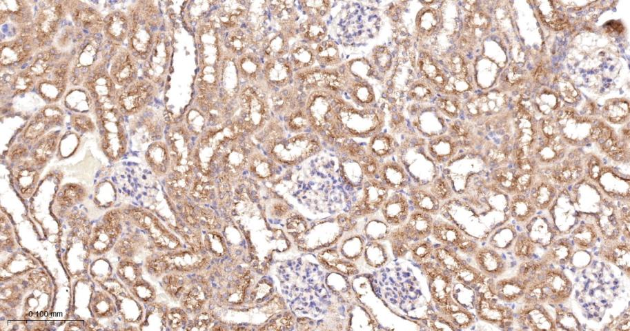
2. Paraformaldehyde-fixed, paraffin embedded Rat Kidney; Antigen retrieval by boiling in sodium citrate buffer (pH6.0) for 15 min; Antibody incubation with VEGFR1 Monoclonal Antibody, Unconjugated (TMAB-01956) at 1:200 overnight at 4°C, followed by conjugation to the SP Kit (Rabbit) and DAB staining.
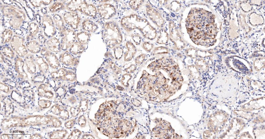
3. Paraformaldehyde-fixed, paraffin embedded Mouse Kidney; Antigen retrieval by boiling in sodium citrate buffer (pH6.0) for 15 min; Antibody incubation with VEGFR1 Monoclonal Antibody, Unconjugated (TMAB-01956) at 1:200 overnight at 4°C, followed by conjugation to the SP Kit (Rabbit) and DAB staining.
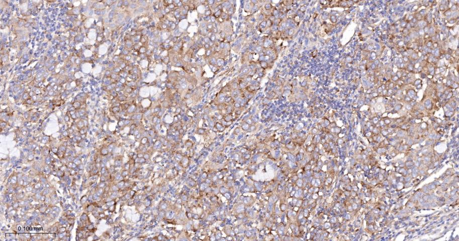
4. Paraformaldehyde-fixed, paraffin embedded Human Cervical Cancer; Antigen retrieval by boiling in sodium citrate buffer (pH6.0) for 15 min; Antibody incubation with VEGFR1 Monoclonal Antibody, Unconjugated (TMAB-01956) at 1:200 overnight at 4°C, followed by conjugation to the SP Kit (Rabbit) and DAB staining.
5. Paraformaldehyde-fixed, paraffin embedded Human Breast Cancer; Antigen retrieval by boiling in sodium citrate buffer (pH6.0) for 15 min; Antibody incubation with VEGFR1 Monoclonal Antibody, Unconjugated (TMAB-01956) at 1:200 overnight at 4°C, followed by conjugation to the SP Kit (Rabbit) and DAB staining.
6. Paraformaldehyde-fixed, paraffin embedded Rat Cerebrum; Antigen retrieval by boiling in sodium citrate buffer (pH6.0) for 15 min; Antibody incubation with VEGFR1 Monoclonal Antibody, Unconjugated (TMAB-01956) at 1:200 overnight at 4°C, followed by conjugation to the SP Kit (Rabbit) and DAB staining.
7. Paraformaldehyde-fixed, paraffin embedded Mouse Cerebrum; Antigen retrieval by boiling in sodium citrate buffer (pH6.0) for 15 min; Antibody incubation with VEGFR1 Monoclonal Antibody, Unconjugated (TMAB-01956) at 1:200 overnight at 4°C, followed by conjugation to the SP Kit (Rabbit) and DAB staining.
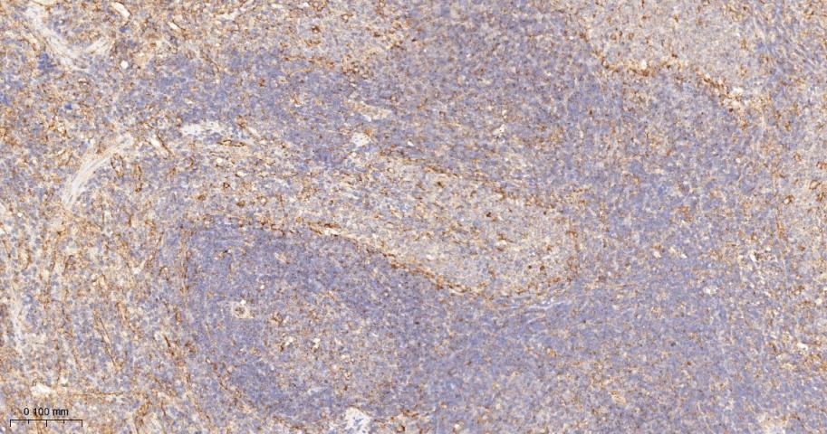
8. Paraformaldehyde-fixed, paraffin embedded Rat Spleen; Antigen retrieval by boiling in sodium citrate buffer (pH6.0) for 15 min; Antibody incubation with VEGFR1 Monoclonal Antibody, Unconjugated (TMAB-01956) at 1:200 overnight at 4°C, followed by conjugation to the SP Kit (Rabbit) and DAB staining.
9. Paraformaldehyde-fixed, paraffin embedded Mouse Spleen; Antigen retrieval by boiling in sodium citrate buffer (pH6.0) for 15 min; Antibody incubation with VEGFR1 Monoclonal Antibody, Unconjugated (TMAB-01956) at 1:200 overnight at 4°C, followed by conjugation to the SP Kit (Rabbit) and DAB staining.
10. Paraformaldehyde-fixed, paraffin embedded Mouse Uterus; Antigen retrieval by boiling in sodium citrate buffer (pH6.0) for 15 min; Antibody incubation with VEGFR1 Monoclonal Antibody, Unconjugated (TMAB-01956) at 1:200 overnight at 4°C, followed by conjugation to the SP Kit (Rabbit) and DAB staining.
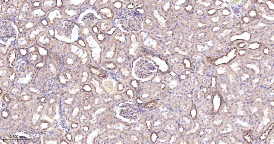
11. Paraformaldehyde-fixed, paraffin embedded Human Kidney; Antigen retrieval by boiling in sodium citrate buffer (pH6.0) for 15 min; Antibody incubation with VEGFR1 Monoclonal Antibody, Unconjugated (TMAB-01956) at 1:200 overnight at 4°C, followed by conjugation to the SP Kit (Rabbit) and DAB staining.
verifiedActivityverifiedActivityverifiedActivityverifiedActivityverifiedActivityverifiedActivityverifiedActivityverifiedActivityverifiedActivityverifiedActivityverifiedActivity
应用IFIHC-FrIHC-PWB
推荐剂量
IF=1:100-500; IHC-Fr=1:100-500; IHC-P=1:100-500; WB=1:500-2000
抗体种类
Monoclonal
宿主来源Rabbit
亚细胞定位Isoform 1: Cell membrane; Single-pass type I membrane protein. Endosome. Note=Autophosphorylation promotes ubiquitination and endocytosis;Isoform 2: Secreted;Isoform 3: Secreted;Isoform 4: Secreted;Isoform 5: Cytoplasm (Potential);Isoform 6: Cytoplasm (Potential);Isoform 7: Cytoplasm (Potential).
组织特异性Detected in normal lung, but also in placenta,liver, kidney, heart and brain tissues. Specifically expressed in most of the vascular endothelial cells, and also expressed in peripheral blood monocytes. Isoform 2 is strongly expressed in placenta. Isoform
构建方式Recombinant Antibody
纯化方式Protein A purified
性状Liquid
缓冲液0.01M TBS (pH7.4) with 1% BSA, 0.02% Proclin300 and 50% Glycerol.
浓度1 mg/mL
研究背景VEGF Receptor 1 (also known as FLT) belongs to the src gene family and shows tyrosine protein kinase activity that is important for the control of cell proliferation and differentiation. The protein acts as a receptor for VEGF, VEGFB and PGF. An alternatively spliced form of the gene produces a soluble protein (sFlt1) which binds vascular endothelial growth factor (VEGF) with high affinity. sFlt1 has a higher affinity for VEGF indicating that it may function as an inhibitor in the VEGF response. VEGF Receptor 1 is specifically expressed in most vascular endothelial cells and peripheral blood monocytes.
抗原信息
免疫原
A synthesized peptide: human VEGF Receptor 1
抗原种属
Human
基因名称
FLT1
基因ID
蛋白名称
Vascular endothelial growth factor receptor 1
Uniprot ID
研究领域
Response to hypoxia,VEGF,Angiogenic growth factors,Growth factors,Endothelial Cell Markers,VEGF Receptors,Endothelium,Hypoxia,Cancer,VEGF,Tyrosine Kinases
功能
Following activation by double-stranded RNA in the presence of ATP, the kinase becomes autophosphorylated and can catalyze the phosphorylation of the translation initiation factor EIF2S1, which leads to an inhibition of the initiation of protein synthesis. Double-stranded RNA is generated during the course of a viral infection.
化学信息
分子量Theoretical: 147 kDa. Actual: 190 kDa.
储存&溶解度
储存方式Store at -20°C or -80°C for 12 months. Avoid repeated freeze-thaw cycles.
运输方式Shipping with blue ice.

计算器

  • 稀释 计算器
  • 配液 计算器
Related Tags: buy Anti-VEGFR1/FLT-1 Antibody (7V802) | purchase Anti-VEGFR1/FLT-1 Antibody (7V802) | Anti-VEGFR1/FLT-1 Antibody (7V802) cost | order Anti-VEGFR1/FLT-1 Antibody (7V802) | Anti-VEGFR1/FLT-1 Antibody (7V802) molecular weight