购物车
  • 全部删除
  • TargetMol
    您的购物车当前为空

Anti-VAMP1 Antibody (9I639)

一键复制产品信息
Rating icon 还可以
产品编号 TMAC-04215
别名 Vesicle-associated membrane protein 1, Vesicle associated membrane protein 1 synaptobrevin 1, Vesicle associated membrane protein 1, VAMP1_HUMAN, VAMP 1, Synaptobrevin-1, Synaptobrevin1, Synaptobrevin 1, SYB1, SYB 1, DKFZp686H12131

Anti-VAMP1 Antibody (9I639) 是一种 Rabbit 抗体,靶向 VAMP1。Anti-VAMP1 Antibody (9I639) 可用于 ICC,IF,IHC,WB。

Anti-VAMP1 Antibody (9I639)

Anti-VAMP1 Antibody (9I639)

一键复制产品信息
Rating icon 还可以
产品编号 TMAC-04215 别名 Vesicle-associated membrane protein 1, Vesicle associated membrane protein 1 synaptobrevin 1, Vesicle associated membrane protein 1, VAMP1_HUMAN, VAMP 1, Synaptobrevin-1, Synaptobrevin1, Synaptobrevin 1, SYB1, SYB 1, DKFZp686H12131

Anti-VAMP1 Antibody (9I639) 是一种 Rabbit 抗体,靶向 VAMP1。Anti-VAMP1 Antibody (9I639) 可用于 ICC,IF,IHC,WB。

规格价格库存数量
50 μL
¥ 1,490
5日内发货
100 μL
¥ 2,480
5日内发货
大包装 & 定制
加入购物车
TargetMol 的所有产品仅用作科学研究或药证申报,不能被用于人体,我们不向个人提供产品和服务。请您遵守承诺用途,不得违反法律法规规定用于任何其他用途。
实验操作小课堂
常见问题解答
查看更多
联系我们获取更多批次信息
资源下载

产品介绍

生物活性
产品描述
Anti-VAMP1 Antibody (9I639) is a Rabbit antibody targeting VAMP1. Anti-VAMP1 Antibody (9I639) can be used in ICC,IF,IHC,WB.
别名Vesicle-associated membrane protein 1, Vesicle associated membrane protein 1 synaptobrevin 1, Vesicle associated membrane protein 1, VAMP1_HUMAN, VAMP 1, Synaptobrevin-1, Synaptobrevin1, Synaptobrevin 1, SYB1, SYB 1, DKFZp686H12131
Ig Type
IgG
克隆号
9I639
交叉反应
Human,Mouse,Rat
验证活性
1. Western blot analysis of VAMP1 on different tissue lysates using anti-VAMP1 antibody at 1/2,000 dilution. Positive control: Lane 1: Mouse cerebellum, Lane 2: Rat brain.
2. Immunohistochemical analysis of paraffin-embedded human prostate cancer tissue using anti-VAMP1 antibody. Counter stained with hematoxylin.
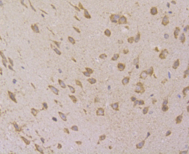
3. Immunohistochemical analysis of paraffin-embedded mouse brain tissue using anti-VAMP1 antibody. Counter stained with hematoxylin.
4. ICC staining VAMP1 in 293T cells (green). The nuclear counter stain is DAPI (blue). Cells were fixed in paraformaldehyde, permeabilised with 0.25% Triton X100/PBS.
5. ICC staining VAMP1 in Hela cells (green). The nuclear counter stain is DAPI (blue). Cells were fixed in paraformaldehyde, permeabilised with 0.25% Triton X100/PBS.
6. ICC staining VAMP1 in SH-SY-5Y cells (green). The nuclear counter stain is DAPI (blue). Cells were fixed in paraformaldehyde, permeabilised with 0.25% Triton X100/PBS.
verifiedActivityverifiedActivityverifiedActivityverifiedActivityverifiedActivityverifiedActivity
应用ICCIFIHCWB
推荐剂量
WB: 1:500-2000; IHC: 1:50-200; ICC:IF: 1:50-200
抗体种类
Monoclonal
宿主来源Rabbit
构建方式Recombinant Antibody
纯化方式ProA affinity purified
性状Liquid
缓冲液1*TBS (pH7.4), 1%BSA, 40%Glycerol. Preservative: 0.05% Sodium Azide.
研究背景Synaptobrevins/VAMPs, syntaxins, and the 25-kD synaptosomal-associated protein SNAP25 are the main components of a protein complex involved in the docking and/or fusion of synaptic vesicles with the presynaptic membrane. VAMP1 is a member of the vesicle-associated membrane protein (VAMP)/synaptobrevin family. Multiple alternative splice variants that encode proteins with alternative carboxy ends have been described, but the full-length nature of some variants has not been defined.
偶联与修饰
偶联
Unconjugated
抗原信息
免疫原
Recombinant Protein: Full length of human VAMP1
抗原种属
human
Uniprot ID
化学信息
分子量Theoretical: 13 kDa.
存储&运输
储存方式Store at -20°C or -80°C for 12 months. Avoid repeated freeze-thaw cycles.
运输方式Shipping with blue ice.

计算器

  • 稀释 计算器

评论列表

4个月前
5.0
Rating icon 很棒

评论内容

Related Tags: buy Anti-VAMP1 Antibody (9I639) | purchase Anti-VAMP1 Antibody (9I639) | Anti-VAMP1 Antibody (9I639) cost | order Anti-VAMP1 Antibody (9I639) | Anti-VAMP1 Antibody (9I639) molecular weight