购物车
  • TargetMol
    您的购物车当前为空

Anti-USP10 Antibody (1T260)

Synonyms: USP 10, UBPO, UBP10_HUMAN, Ubiquitin-specific-processing protease 10, Ubiquitin thiolesterase 10, Ubiquitin thioesterase 10, Ubiquitin specific protease 10, Ubiquitin specific processing protease 10, Ubiquitin specific peptidase 10, Ubiquitin carboxyl-terminal hydrolase 10, Ubiquitin carboxyl terminal hydrolase 10, MGC2621, MGC124997, KIAA0190, Deubiquitinating enzyme 10
货号 TMAC-04201 一键复制产品信息
Rating icon 还可以

Anti-USP10 Antibody (1T260) 是一种 Rabbit 抗体,靶向 USP10。Anti-USP10 Antibody (1T260) 可用于 ICC/IF,IHC,IP,WB。

Anti-USP10 Antibody (1T260)

一键复制产品信息
Rating icon 还可以
货号 TMAC-04201

别名 USP 10, UBPO, UBP10_HUMAN, Ubiquitin-specific-processing protease 10, Ubiquitin thiolesterase 10, Ubiquitin thioesterase 10, Ubiquitin specific protease 10, Ubiquitin specific processing protease 10, Ubiquitin specific peptidase 10, Ubiquitin carboxyl-terminal hydrolase 10, Ubiquitin carboxyl terminal hydrolase 10, MGC2621, MGC124997, KIAA0190, Deubiquitinating enzyme 10

Anti-USP10 Antibody (1T260) 是一种 Rabbit 抗体,靶向 USP10。Anti-USP10 Antibody (1T260) 可用于 ICC/IF,IHC,IP,WB。

Anti-USP10 Antibody (1T260)
规格价格库存数量
50 μL
¥ 1,490
5日内发货
100 μL
¥ 2,495
5日内发货
库存状态实时更新,以官网显示为准,现货产品可直接加购物车下单
大包装 & 定制
加入购物车

TargetMol的所有产品仅用作科学研究或药证申报,不能被用于人体,我们不向个人提供产品和服务。请您遵守承诺用途,不得违反法律法规规定用于任何其他用途。

实验操作小课堂
常见问题解答
查看更多

资源下载:产品操作手册

产品介绍


生物活性
产品描述
Anti-USP10 Antibody (1T260) is a Rabbit antibody targeting USP10. Anti-USP10 Antibody (1T260) can be used in ICC/IF,IHC,IP,WB.
别名
USP 10, UBPO, UBP10_HUMAN, Ubiquitin-specific-processing protease 10, Ubiquitin thiolesterase 10, Ubiquitin thioesterase 10, Ubiquitin specific protease 10, Ubiquitin specific processing protease 10, Ubiquitin specific peptidase 10, Ubiquitin carboxyl-terminal hydrolase 10, Ubiquitin carboxyl terminal hydrolase 10, MGC2621, MGC124997, KIAA0190, Deubiquitinating enzyme 10
Ig Type
IgG
克隆号
1T260
反应种属
Human
验证活性
1. Western blot analysis of USP10 on SiHa (1) and A549 (2) cell lysate using anti-USP10 antibody at 1/500 dilution.
2. Immunohistochemical analysis of paraffin-embedded human liver tissue using anti-USP10 antibody. Counter stained with hematoxylin.
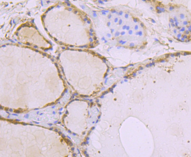
3. Immunohistochemical analysis of paraffin-embedded human thyroid grand tissue using anti-USP10 antibody. Counter stained with hematoxylin.
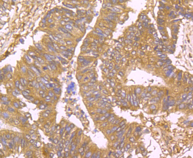
4. Immunohistochemical analysis of paraffin-embedded human colon cancer tissue using anti-USP10 antibody. Counter stained with hematoxylin.
5. Immunohistochemical analysis of paraffin-embedded human spleen tissue using anti-USP10 antibody. Counter stained with hematoxylin.
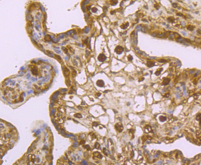
6. Immunohistochemical analysis of paraffin-embedded human placenta tissue using anti-USP10 antibody. Counter stained with hematoxylin.
7. ICC staining USP10 in Hela cells (green). The nuclear counter stain is DAPI (blue). Cells were fixed in paraformaldehyde, permeabilised with 0.25% Triton X100/PBS.
8. ICC staining USP10 in LOVO cells (green). The nuclear counter stain is DAPI (blue). Cells were fixed in paraformaldehyde, permeabilised with 0.25% Triton X100/PBS.
9. ICC staining USP10 in MCF-7 cells (green). The nuclear counter stain is DAPI (blue). Cells were fixed in paraformaldehyde, permeabilised with 0.25% Triton X100/PBS.
verifiedActivityverifiedActivityverifiedActivityverifiedActivityverifiedActivityverifiedActivityverifiedActivityverifiedActivityverifiedActivity
应用ICC/IFIHCIPWB
推荐剂量
WB: 1:500-2000; IHC: 1:50-200; ICC/IF: 1:50-200
抗体种类
Monoclonal
宿主来源Rabbit
构建方式Recombinant Antibody
纯化方式ProA affinity purified
性状Liquid
缓冲液1*TBS (pH7.4), 1%BSA, 40%Glycerol. Preservative: 0.05% Sodium Azide.
研究背景The ubiquitin (Ub) pathway involves three sequential enzymatic steps that facilitate the conjugation of Ub and Ub-like molecules to specific protein substrates. Through the use of a wide range of enzymes that can add or remove ubiquitin, the Ub pathway controls many intracellular processes such as signal transduction, transcriptional activation and cell cycle progression. USP10 (ubiquitin specific peptidase 10), also known as UBPO, is a 798 amino acid protein that belongs to the ubiquitin-specific protease family of cysteine proteases. Expressed in a variety of tissues, USP10 functions to catalyze the cleavage of ubiquitin from ubiquitin-conjugated protein substrates, possibly playing a role in the activity of the DNA-bound androgen receptor complex.
偶联与修饰
偶联
Unconjugated
抗原信息
免疫原
Recombinant Protein
Uniprot ID
化学信息
分子量Theoretical: 110 kDa.
储存&溶解度
储存方式Store at -20°C or -80°C for 12 months. Avoid repeated freeze-thaw cycles.
运输方式Shipping with blue ice.

计算器

  • 稀释 计算器
  • 配液 计算器
Related Tags: buy Anti-USP10 Antibody (1T260) | purchase Anti-USP10 Antibody (1T260) | Anti-USP10 Antibody (1T260) cost | order Anti-USP10 Antibody (1T260) | Anti-USP10 Antibody (1T260) molecular weight