购物车
  • 全部删除
  • TargetMol
    您的购物车当前为空

Anti-Tyrosinase/TYR Antibody (5B146)

一键复制产品信息
Rating icon 还可以
产品编号 TMAC-04175
别名 Tyrosinase, TYR, Tumor rejection antigen AB, SK29-AB, Monophenol monooxygenase, LB24-AB

Anti-Tyrosinase/TYR Antibody (5B146) 是一种 Rabbit 抗体,靶向 Tyrosinase/TYR。Anti-Tyrosinase/TYR Antibody (5B146) 可用于 ICC/IF,IHC,WB。

Anti-Tyrosinase/TYR Antibody (5B146)

Anti-Tyrosinase/TYR Antibody (5B146)

一键复制产品信息
Rating icon 还可以
产品编号 TMAC-04175 别名 Tyrosinase, TYR, Tumor rejection antigen AB, SK29-AB, Monophenol monooxygenase, LB24-AB

Anti-Tyrosinase/TYR Antibody (5B146) 是一种 Rabbit 抗体,靶向 Tyrosinase/TYR。Anti-Tyrosinase/TYR Antibody (5B146) 可用于 ICC/IF,IHC,WB。

规格价格库存数量
50 μL
¥ 1,480
5日内发货
100 μL
¥ 2,490
5日内发货
大包装 & 定制
加入购物车
TargetMol 的所有产品仅用作科学研究或药证申报,不能被用于人体,我们不向个人提供产品和服务。请您遵守承诺用途,不得违反法律法规规定用于任何其他用途。
实验操作小课堂
常见问题解答
查看更多
联系我们获取更多批次信息
资源下载

产品介绍

生物活性
产品描述
Anti-Tyrosinase/TYR Antibody (5B146) is a Rabbit antibody targeting Tyrosinase/TYR. Anti-Tyrosinase/TYR Antibody (5B146) can be used in ICC/IF,IHC,WB.
别名Tyrosinase, TYR, Tumor rejection antigen AB, SK29-AB, Monophenol monooxygenase, LB24-AB
Ig Type
IgG
克隆号
5B146
交叉反应
Human
验证活性
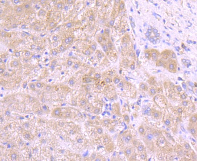
1. Immunohistochemical analysis of paraffin-embedded human liver tissue using anti-Tyrosinase antibody. Counter stained with hematoxylin.
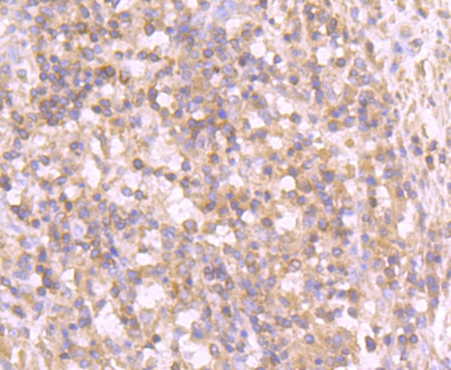
2. Immunohistochemical analysis of paraffin-embedded human stomach cancer tissue using anti-Tyrosinase antibody. Counter stained with hematoxylin.
3. ICC staining Tyrosinase in A431 cells (red). The nuclear counter stain is DAPI (blue). Cells were fixed in paraformaldehyde, permeabilised with 0.25% Triton X100/PBS.
4. ICC staining Tyrosinase in B16F1 cells (red). The nuclear counter stain is DAPI (blue). Cells were fixed in paraformaldehyde, permeabilised with 0.25% Triton X100/PBS.
5. ICC staining Tyrosinase in MCF-7 cells (red). The nuclear counter stain is DAPI (blue). Cells were fixed in paraformaldehyde, permeabilised with 0.25% Triton X100/PBS.
verifiedActivityverifiedActivityverifiedActivityverifiedActivityverifiedActivity
应用ICC/IFIHCWB
推荐剂量
WB: 1:500-1000; IHC: 1:50-200; ICC/IF: 1:100-500
抗体种类
Monoclonal
宿主来源Rabbit
构建方式Recombinant Antibody
纯化方式ProA affinity purified
性状Liquid
缓冲液1*TBS (pH7.4), 1%BSA, 40%Glycerol. Preservative: 0.05% Sodium Azide.
研究背景This is a copper-containing oxidase that functions in the formation of pigments such as melanins and other polyphenolic compounds. Catalyzes the initial and rate limiting step in the cascade of reactions leading to melanin production from tyrosine. In addition to hydroxylating tyrosine to DOPA (3,4-dihydroxyphenylalanine), also catalyzes the oxidation of DOPA to DOPA-quinone, and possibly the oxidation of DHI (5,6-dihydroxyindole) to indole-5,6 quinone. Defects in TYR are the cause of albinism oculocutaneous type 1B (OCA1B) [MIM:606952]; also known as albinism yellow mutant type. An autosomal recessive disorder in which the biosynthesis of melanin pigment is reduced in skin, hair, and eyes. It is characterized by partial lack of tyrosinase activity.
偶联与修饰
偶联
Unconjugated
抗原信息
免疫原
Recombinant Protein
Uniprot ID
化学信息
分子量Theoretical: 80 kDa.
存储&运输
储存方式Store at -20°C or -80°C for 12 months. Avoid repeated freeze-thaw cycles.
运输方式Shipping with blue ice.

计算器

  • 稀释 计算器

评论列表

4个月前
5.0
Rating icon 很棒

评论内容

Related Tags: buy Anti-Tyrosinase/TYR Antibody (5B146) | purchase Anti-Tyrosinase/TYR Antibody (5B146) | Anti-Tyrosinase/TYR Antibody (5B146) cost | order Anti-Tyrosinase/TYR Antibody (5B146) | Anti-Tyrosinase/TYR Antibody (5B146) molecular weight