购物车
  • 全部删除
  • TargetMol
    您的购物车当前为空

Anti-TGN46 Antibody (3J458)

一键复制产品信息
Rating icon 还可以
产品编号 TMAC-04022
别名 Trans-Golgi network protein 2, Trans-Golgi network integral membrane protein 2, Trans-Golgi network glycoprotein 51, Trans-Golgi network glycoprotein 48, Trans-Golgi network glycoprotein 46

Anti-TGN46 Antibody (3J458) 是一种 Rabbit 抗体,靶向 TGN46。Anti-TGN46 Antibody (3J458) 可用于 IHC,IP,WB。

Anti-TGN46 Antibody (3J458)

Anti-TGN46 Antibody (3J458)

一键复制产品信息
Rating icon 还可以
产品编号 TMAC-04022 别名 Trans-Golgi network protein 2, Trans-Golgi network integral membrane protein 2, Trans-Golgi network glycoprotein 51, Trans-Golgi network glycoprotein 48, Trans-Golgi network glycoprotein 46

Anti-TGN46 Antibody (3J458) 是一种 Rabbit 抗体,靶向 TGN46。Anti-TGN46 Antibody (3J458) 可用于 IHC,IP,WB。

规格价格库存数量
50 μL
¥ 1,480
5日内发货
100 μL
¥ 2,480
5日内发货
大包装 & 定制
加入购物车
TargetMol 的所有产品仅用作科学研究或药证申报,不能被用于人体,我们不向个人提供产品和服务。请您遵守承诺用途,不得违反法律法规规定用于任何其他用途。
实验操作小课堂
常见问题解答
查看更多
联系我们获取更多批次信息
资源下载

产品介绍

生物活性
产品描述
Anti-TGN46 Antibody (3J458) is a Rabbit antibody targeting TGN46. Anti-TGN46 Antibody (3J458) can be used in IHC,IP,WB.
别名Trans-Golgi network protein 2, Trans-Golgi network integral membrane protein 2, Trans-Golgi network glycoprotein 51, Trans-Golgi network glycoprotein 48, Trans-Golgi network glycoprotein 46
Ig Type
IgG
克隆号
3J458
交叉反应
Human
验证活性
1. Western blot analysis of TGN46 on NIH/3T3 cells lysates using anti-TGN46 antibody at 1/1,000 dilution.
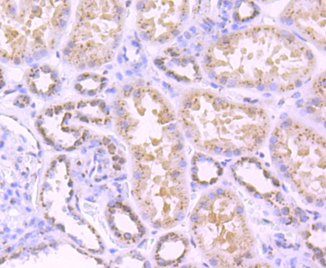
2. Immunohistochemical analysis of paraffin-embedded human kidney tissue using anti-TGN46 antibody. Counter stained with hematoxylin.
verifiedActivityverifiedActivity
应用IHCIPWB
推荐剂量
WB: 1:1000-2000; IHC: 1:50-200; IP: 1:50-100
抗体种类
Monoclonal
宿主来源Rabbit
构建方式Recombinant Antibody
纯化方式ProA affinity purified
性状Liquid
缓冲液1*TBS (pH7.4), 1%BSA, 40%Glycerol. Preservative: 0.05% Sodium Azide.
研究背景TGN38 (trans-Golgi network protein 2) is a type I integral membrane protein that constitutively cycles between the TGN and plasma membrane where it partitions nascent proteins into carrier vesicles for transport to appropriate destinations in the cell. The cytosolic domain of TGN38 interacts with AP2 Clathrin adaptor complexes via the tyrosine-containing motif (SDYQRL) to direct internalization from the plasma membrane. N- and O-linked oligosaccharide chains attach to the core TGN38 protein to produce a protein present in brain, lung and kidney.
偶联与修饰
偶联
Unconjugated
抗原信息
免疫原
Recombinant Protein
Uniprot ID
化学信息
分子量Theoretical: 95 kDa.
存储&运输
储存方式Store at -20°C or -80°C for 12 months. Avoid repeated freeze-thaw cycles.
运输方式Shipping with blue ice.

计算器

  • 稀释 计算器

评论列表

4个月前
5.0
Rating icon 很棒

评论内容

Related Tags: buy Anti-TGN46 Antibody (3J458) | purchase Anti-TGN46 Antibody (3J458) | Anti-TGN46 Antibody (3J458) cost | order Anti-TGN46 Antibody (3J458) | Anti-TGN46 Antibody (3J458) molecular weight