购物车
  • 全部删除
  • TargetMol
    您的购物车当前为空

Anti-TGF alpha Antibody (1A764)

一键复制产品信息
Rating icon 还可以
产品编号 TMAC-04010
别名 转化生长因子

Anti-TGF alpha Antibody (1A764) 是一种 Rabbit 抗体,靶向 TGF alpha。Anti-TGF alpha Antibody (1A764) 可用于 ICC,IF,IHC,IP,WB。

Anti-TGF alpha Antibody (1A764)

Anti-TGF alpha Antibody (1A764)

一键复制产品信息
Rating icon 还可以
产品编号 TMAC-04010 别名 转化生长因子

Anti-TGF alpha Antibody (1A764) 是一种 Rabbit 抗体,靶向 TGF alpha。Anti-TGF alpha Antibody (1A764) 可用于 ICC,IF,IHC,IP,WB。

规格价格库存数量
50 μL
¥ 1,480
5日内发货
100 μL
¥ 2,495
5日内发货
大包装 & 定制
加入购物车
TargetMol 的所有产品仅用作科学研究或药证申报,不能被用于人体,我们不向个人提供产品和服务。请您遵守承诺用途,不得违反法律法规规定用于任何其他用途。
实验操作小课堂
常见问题解答
查看更多
联系我们获取更多批次信息
资源下载

产品介绍

生物活性
产品描述
Anti-TGF alpha Antibody (1A764) is a Rabbit antibody targeting TGF alpha. Anti-TGF alpha Antibody (1A764) can be used in ICC,IF,IHC,IP,WB.
别名转化生长因子
Ig Type
IgG
克隆号
1A764
交叉反应
Human
验证活性
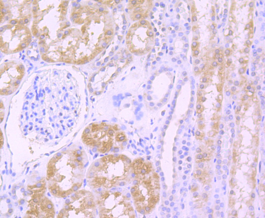
1. Immunohistochemical analysis of paraffin-embedded human kidney tissue using anti-TGF alpha antibody. Counter stained with hematoxylin.
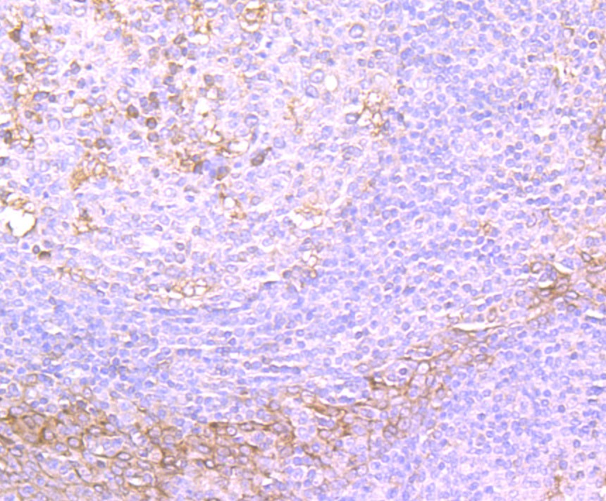
2. Immunohistochemical analysis of paraffin-embedded human tonsil tissue using anti-TGF alpha antibody. Counter stained with hematoxylin.
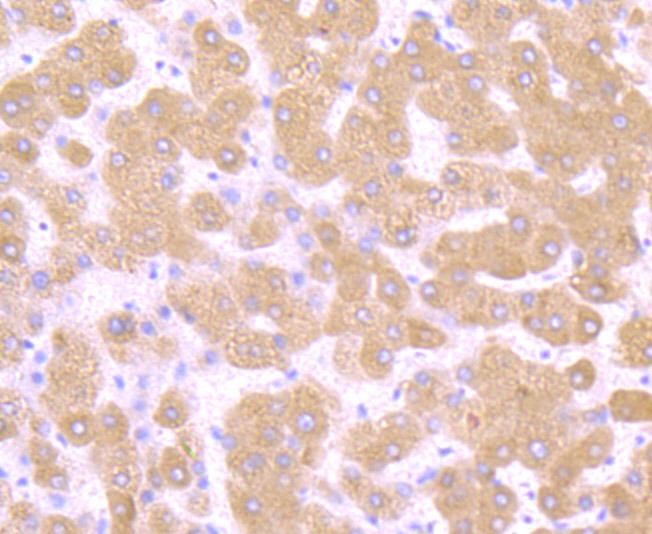
3. Immunohistochemical analysis of paraffin-embedded human liver tissue using anti-TGF alpha antibody. Counter stained with hematoxylin.
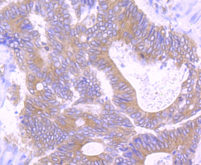
4. Immunohistochemical analysis of paraffin-embedded human colon cancer tissue using anti-TGF alpha antibody. Counter stained with hematoxylin.
5. ICC staining TGF alpha in A431 cells (green). The nuclear counter stain is DAPI (blue). Cells were fixed in paraformaldehyde, permeabilised with 0.25% Triton X100/PBS.
6. ICC staining TGF alpha in A549 cells (green). The nuclear counter stain is DAPI (blue). Cells were fixed in paraformaldehyde, permeabilised with 0.25% Triton X100/PBS.
7. ICC staining TGF alpha in PC-3M cells (green). The nuclear counter stain is DAPI (blue). Cells were fixed in paraformaldehyde, permeabilised with 0.25% Triton X100/PBS.
verifiedActivityverifiedActivityverifiedActivityverifiedActivityverifiedActivityverifiedActivityverifiedActivity
应用ICCIFIHCIPWB
推荐剂量
WB: 1:500; IHC: 1:50-200; ICC: 1:50-200
抗体种类
Monoclonal
宿主来源Rabbit
构建方式Recombinant Antibody
纯化方式ProA affinity purified
性状Liquid
缓冲液1*TBS (pH7.4), 1%BSA, 40%Glycerol. Preservative: 0.05% Sodium Azide.
研究背景Transforming growth factor-α (TGFα) is an acid- and heat-stable 50 amino acid protein originally found in rodents and humans. TGFα is 33% homologous at the amino acid level to epidermal growth factor (EGF). TGFα binds to the EGF receptor, mediates tyrosine phosphorylation of the receptor and promotes anchorage-independent growth of normal rat fibroblasts in soft agar in the presence of transforming growth factor-β. TGFα is secreted by a variety of transformed cells and tumors, embryonic cells and some normal adult cells. TGFα bioactivity has been found in the urine of cancer patients. It has been suggested that it may act as an autocrine growth factor for the induction or maintenance of malignancy.
偶联与修饰
偶联
Unconjugated
抗原信息
免疫原
Recombinant Protein
Uniprot ID
化学信息
分子量Theoretical: 17 kDa.
存储&运输
储存方式Store at -20°C or -80°C for 12 months. Avoid repeated freeze-thaw cycles.
运输方式Shipping with blue ice.

计算器

  • 稀释 计算器

评论列表

4个月前
5.0
Rating icon 很棒

评论内容

Related Tags: buy Anti-TGF alpha Antibody (1A764) | purchase Anti-TGF alpha Antibody (1A764) | Anti-TGF alpha Antibody (1A764) cost | order Anti-TGF alpha Antibody (1A764) | Anti-TGF alpha Antibody (1A764) molecular weight