购物车
  • TargetMol
    您的购物车当前为空

Anti-SUMO3 Antibody (9E189)

Synonyms: Ubiquitin-Like Protein SMT3B, SUMO-3, SUMO3, SUMO-2, SMT3H1, SMT3B, SMT3 Homolog 1, Small Ubiquitin-Related Modifier 3
货号 TMAC-03913 一键复制产品信息
Rating icon 还可以

Anti-SUMO3 Antibody (9E189) 是一种 Rabbit 抗体,靶向 SUMO3。Anti-SUMO3 Antibody (9E189) 可用于 ICC/IF,IHC,WB。

Anti-SUMO3 Antibody (9E189)

一键复制产品信息
Rating icon 还可以
货号 TMAC-03913

别名 Ubiquitin-Like Protein SMT3B, SUMO-3, SUMO3, SUMO-2, SMT3H1, SMT3B, SMT3 Homolog 1, Small Ubiquitin-Related Modifier 3

Anti-SUMO3 Antibody (9E189) 是一种 Rabbit 抗体,靶向 SUMO3。Anti-SUMO3 Antibody (9E189) 可用于 ICC/IF,IHC,WB。

Anti-SUMO3 Antibody (9E189)
规格价格库存数量
50 μL
¥ 1,490
5日内发货
100 μL
¥ 2,490
5日内发货
库存状态实时更新,以官网显示为准,现货产品可直接加购物车下单
大包装 & 定制
加入购物车

TargetMol的所有产品仅用作科学研究或药证申报,不能被用于人体,我们不向个人提供产品和服务。请您遵守承诺用途,不得违反法律法规规定用于任何其他用途。

实验操作小课堂
常见问题解答
查看更多

资源下载:产品操作手册

产品介绍


生物活性
产品描述
Anti-SUMO3 Antibody (9E189) is a Rabbit antibody targeting SUMO3. Anti-SUMO3 Antibody (9E189) can be used in ICC/IF,IHC,WB.
别名
Ubiquitin-Like Protein SMT3B, SUMO-3, SUMO3, SUMO-2, SMT3H1, SMT3B, SMT3 Homolog 1, Small Ubiquitin-Related Modifier 3
Ig Type
IgG
克隆号
9E189
反应种属
Human,Mouse,Rat
验证活性
1. Western blot analysis of Sumo 2+3 on SW480 cells lysates using anti- Sumo 2+3 antibody at 1/1,000 dilution.
2. Immunohistochemical analysis of paraffin-embedded mouse lung tissue using anti- Sumo 2+3 antibody. Counter stained with hematoxylin.
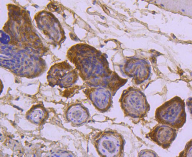
3. Immunohistochemical analysis of paraffin-embedded mouse skin tissue using anti- Sumo 2+3 antibody. Counter stained with hematoxylin.
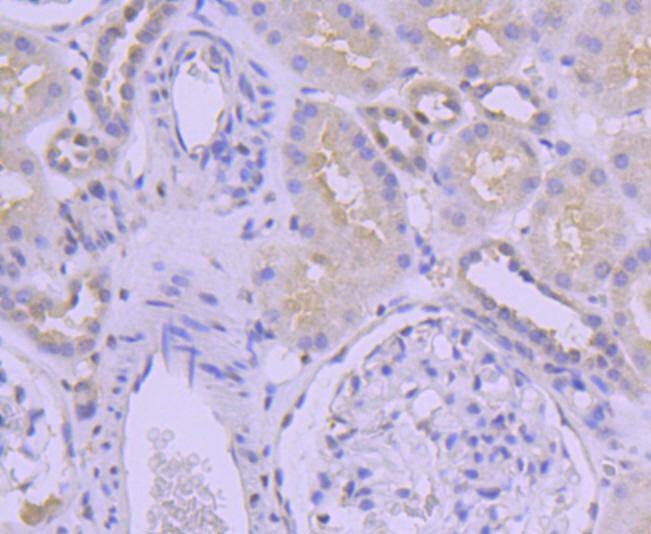
4. Immunohistochemical analysis of paraffin-embedded human kidney tissue using anti- Sumo 2+3 antibody. Counter stained with hematoxylin.
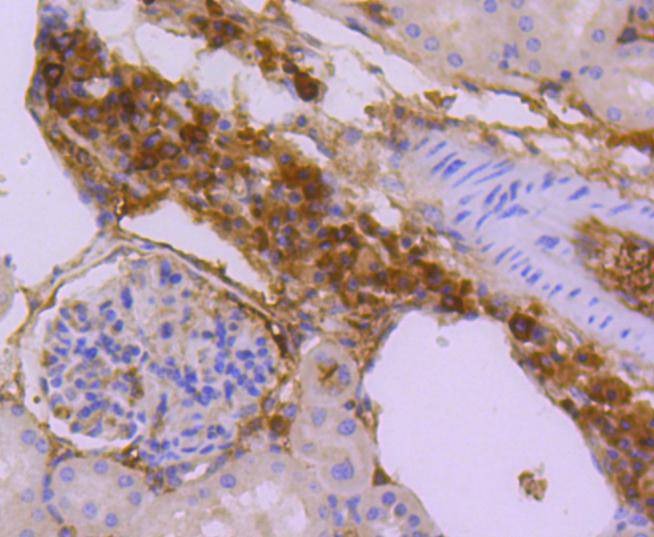
5. Immunohistochemical analysis of paraffin-embedded mouse kidney tissue using anti- Sumo 2+3 antibody. Counter stained with hematoxylin.
6. ICC staining Sumo 2+3 in Hela cells (green). The nuclear counter stain is DAPI (blue). Cells were fixed in paraformaldehyde, permeabilised with 0.25% Triton X100/PBS.
7. ICC staining Sumo 2+3 in A549 cells (green). The nuclear counter stain is DAPI (blue). Cells were fixed in paraformaldehyde, permeabilised with 0.25% Triton X100/PBS.
8. ICC staining Sumo 2+3 in RH-35 cells (green). The nuclear counter stain is DAPI (blue). Cells were fixed in paraformaldehyde, permeabilised with 0.25% Triton X100/PBS.
verifiedActivityverifiedActivityverifiedActivityverifiedActivityverifiedActivityverifiedActivityverifiedActivityverifiedActivity
应用ICC/IFIHCWB
推荐剂量
WB: 1:1000; IHC: 1:50-200; ICC/IF: 1:50-200
抗体种类
Monoclonal
宿主来源Rabbit
构建方式Recombinant Antibody
纯化方式ProA affinity purified
性状Liquid
缓冲液1*TBS (pH7.4), 1%BSA, 40%Glycerol. Preservative: 0.05% Sodium Azide.
研究背景The small ubiquitin-related modifier (SUMO) proteins, which include SUMO-1, SUMO-2 and SUMO-3, belong to the ubiquitin-like protein family. Like ubiquitin, the SUMO proteins are synthesized as precursor proteins that undergo processing before conjugation to target proteins. Also, both utilize the E1, E2, and E3 cascade enzymes for conjugation. However, SUMO and ubiquitin differ with respect to targeting. Ubiquitination predominantly targets proteins for degradation, whereas sumoylation targets proteins to a variety of cellular processing, including nuclear transport, transcriptional regulation, apoptosis and protein stability. The unconjugated SUMO-1, SUMO-2 and SUMO-3 proteins localize to the nuclear membrane, nuclear bodies and cytoplasm, respectively. SUMO-1 utilizes Ubc9 for conjugation to several target proteins, which include IkBa, MDM2, p53, PML and Ran GAP1. SUMO-2 and SUMO-3 contribute to a greater percentage of protein modification than does SUMO-1, and unlike SUMO-1, they can form polymeric chains. In addition, SUMO-3 regulates b-Amyloid generation and may be critical in the onset or progression of Alzheimer's disease.
偶联与修饰
偶联
Unconjugated
抗原信息
免疫原
Recombinant Protein
Uniprot ID
化学信息
分子量Theoretical: 12 kDa.
储存&溶解度
储存方式Store at -20°C or -80°C for 12 months. Avoid repeated freeze-thaw cycles.
运输方式Shipping with blue ice.

计算器

  • 稀释 计算器
  • 配液 计算器
Related Tags: buy Anti-SUMO3 Antibody (9E189) | purchase Anti-SUMO3 Antibody (9E189) | Anti-SUMO3 Antibody (9E189) cost | order Anti-SUMO3 Antibody (9E189) | Anti-SUMO3 Antibody (9E189) molecular weight