购物车
  • 全部删除
  • TargetMol
    您的购物车当前为空

Anti-SIRT1 Antibody (1R605)

一键复制产品信息
Rating icon 还可以
产品编号 TMAC-03760
别名 sirtuin 1, SIR2L1

Anti-SIRT1 Antibody (1R605) 是一种 Rabbit 抗体,靶向 SIRT1。Anti-SIRT1 Antibody (1R605) 可用于 ICC/IF,IHC,IP,WB。

Anti-SIRT1 Antibody (1R605)

Anti-SIRT1 Antibody (1R605)

一键复制产品信息
Rating icon 还可以
产品编号 TMAC-03760 别名 sirtuin 1, SIR2L1

Anti-SIRT1 Antibody (1R605) 是一种 Rabbit 抗体,靶向 SIRT1。Anti-SIRT1 Antibody (1R605) 可用于 ICC/IF,IHC,IP,WB。

规格价格库存数量
50 μL
¥ 1,480
5日内发货
100 μL
¥ 2,485
5日内发货
大包装 & 定制
加入购物车
TargetMol 的所有产品仅用作科学研究或药证申报,不能被用于人体,我们不向个人提供产品和服务。请您遵守承诺用途,不得违反法律法规规定用于任何其他用途。
实验操作小课堂
常见问题解答
查看更多
联系我们获取更多批次信息
资源下载

产品介绍

生物活性
产品描述
Anti-SIRT1 Antibody (1R605) is a Rabbit antibody targeting SIRT1. Anti-SIRT1 Antibody (1R605) can be used in ICC/IF,IHC,IP,WB.
别名sirtuin 1, SIR2L1
Ig Type
IgG
克隆号
1R605
交叉反应
Human
验证活性
1. Western blot analysis of SIRT1 on Jurkat cells lysates using anti-SIRT1 antibody at 1/1,000 dilution.
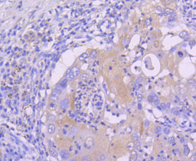
2. Immunohistochemical analysis of paraffin-embedded human lung cancer tissue using anti-SIRT1 antibody. Counter stained with hematoxylin.
3. ICC staining SIRT1 in Hela cells (green). The nuclear counter stain is DAPI (blue). Cells were fixed in paraformaldehyde, permeabilised with 0.25% Triton X100/PBS.
4. ICC staining SIRT1 in NIH/3T3 cells (green). The nuclear counter stain is DAPI (blue). Cells were fixed in paraformaldehyde, permeabilised with 0.25% Triton X100/PBS.
5. ICC staining SIRT1 in SH-SY-5Y cells (green). The nuclear counter stain is DAPI (blue). Cells were fixed in paraformaldehyde, permeabilised with 0.25% Triton X100/PBS.
verifiedActivityverifiedActivityverifiedActivityverifiedActivityverifiedActivity
应用ICC/IFIHCIPWB
推荐剂量
WB: 1:1000-5000; IHC: 1:50-200; ICC/IF: 1:50-200
抗体种类
Monoclonal
宿主来源Rabbit
构建方式Recombinant Antibody
纯化方式ProA affinity purified
性状Liquid
缓冲液1*TBS (pH7.4), 1%BSA, 40%Glycerol. Preservative: 0.05% Sodium Azide.
研究背景The silent information regulator (SIR2) family of genes are highly-conserved from prokaryotes to eukaryotes and are involved in diverse processes, including transcriptional regulation, cell cycle progression, DNA-damage repair and aging. In S. cerevisiae, Sir2p deacetylates histones in an NAD-dependent manner, which regulates silencing at the telomeric, rDNA and silent mating-type loci. Sir2p is the founding member of a large family, designated sirtuins, which contain a conserved catalytic domain. The human homologs, which include SIRT1-7, are divided into four main branches: SIRT1-3 are class I, SIRT4 is class II, SIRT5 is class III and SIRT6-7 are class IV. SIRT1 has the closest homology to the yeast Sir2p and is widely expressed in fetal and adult tissues. SIRT1 is highly expressed in heart, brain and skeletal muscle, with low expression in lung and placenta. SIRT1 regulates the p53-dependent DNA damage response pathway by binding to and deacetylating p53, specifically at Lys 382.
偶联与修饰
偶联
Unconjugated
抗原信息
免疫原
Recombinant Protein
Uniprot ID
化学信息
分子量Theoretical: 110 kDa.
存储&运输
储存方式Store at -20°C or -80°C for 12 months. Avoid repeated freeze-thaw cycles.
运输方式Shipping with blue ice.

计算器

  • 稀释 计算器

评论列表

4个月前
5.0
Rating icon 很棒

评论内容

Related Tags: buy Anti-SIRT1 Antibody (1R605) | purchase Anti-SIRT1 Antibody (1R605) | Anti-SIRT1 Antibody (1R605) cost | order Anti-SIRT1 Antibody (1R605) | Anti-SIRT1 Antibody (1R605) molecular weight