购物车
  • TargetMol
    您的购物车当前为空

Anti-SENP1 Antibody (8Q886)

Synonyms: Sentrin-specific protease 1, Sentrin/SUMO-specific protease SENP1, SENP 1
货号 TMAC-03707 一键复制产品信息
Rating icon 还可以

Anti-SENP1 Antibody (8Q886) 是一种 Rabbit 抗体,靶向 SENP1。Anti-SENP1 Antibody (8Q886) 可用于 FCM,ICC,IF,IHC,WB。

Anti-SENP1 Antibody (8Q886)

一键复制产品信息
Rating icon 还可以
货号 TMAC-03707

别名 Sentrin-specific protease 1, Sentrin/SUMO-specific protease SENP1, SENP 1

Anti-SENP1 Antibody (8Q886) 是一种 Rabbit 抗体,靶向 SENP1。Anti-SENP1 Antibody (8Q886) 可用于 FCM,ICC,IF,IHC,WB。

Anti-SENP1 Antibody (8Q886)
规格价格库存数量
50 μL
¥ 1,495
5日内发货
100 μL
¥ 2,495
5日内发货
库存状态实时更新,以官网显示为准,现货产品可直接加购物车下单
大包装 & 定制
加入购物车

TargetMol的所有产品仅用作科学研究或药证申报,不能被用于人体,我们不向个人提供产品和服务。请您遵守承诺用途,不得违反法律法规规定用于任何其他用途。

实验操作小课堂
常见问题解答
查看更多

资源下载:产品操作手册

产品介绍


生物活性
产品描述
Anti-SENP1 Antibody (8Q886) is a Rabbit antibody targeting SENP1. Anti-SENP1 Antibody (8Q886) can be used in FCM,ICC,IF,IHC,WB.
别名
Sentrin-specific protease 1, Sentrin/SUMO-specific protease SENP1, SENP 1
Ig Type
IgG
克隆号
8Q886
反应种属
Human
验证活性
1. Western blot analysis of SENP1 on K562 cell using anti-SENP1 antibody at 1/1,000 dilution.
2. Immunohistochemical analysis of paraffin-embedded human liver tissue using anti-SENP1 antibody. Counter stained with hematoxylin.
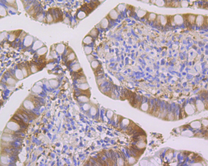
3. Immunohistochemical analysis of paraffin-embedded human small Intestine tissue using anti-SENP1 antibody. Counter stained with hematoxylin.
4. ICC staining SENP1 in LOVO cells (green). The nuclear counter stain is DAPI (blue). Cells were fixed in paraformaldehyde, permeabilised with 0.25% Triton X100/PBS.
5. ICC staining SENP1 in SH-SY-5Y cells (green). The nuclear counter stain is DAPI (blue). Cells were fixed in paraformaldehyde, permeabilised with 0.25% Triton X100/PBS.
6. ICC staining SENP1 in SiHa cells (green). The nuclear counter stain is DAPI (blue). Cells were fixed in paraformaldehyde, permeabilised with 0.25% Triton X100/PBS.
7. Flow cytometric analysis of Daudi cells with SENP1 antibody at 1/100 dilution (purple) compared with an unlabelled control (cells without incubation with primary antibody; yellow). Alexa Fluor 488-conjugated goat anti-rabbit IgG was used as the secondary antibody.
verifiedActivityverifiedActivityverifiedActivityverifiedActivityverifiedActivityverifiedActivityverifiedActivity
应用FCMICCIFIHCWB
推荐剂量
WB: 1:500-2000; IHC: 1:50-200; ICC: 1:50-200; FCM: 1:50-100
抗体种类
Monoclonal
宿主来源Rabbit
构建方式Recombinant Antibody
纯化方式ProA affinity purified
性状Liquid
缓冲液1*TBS (pH7.4), 1%BSA, 40%Glycerol. Preservative: 0.05% Sodium Azide.
研究背景Protease that catalyzes two essential functions in the SUMO pathway. The first is the hydrolysis of an alpha-linked peptide bond at the C-terminal end of the small ubiquitin-like modifier (SUMO) propeptides, SUMO1, SUMO2 and SUMO3 leading to the mature form of the proteins. The second is the deconjugation of SUMO1, SUMO2 and SUMO3 from targeted proteins, by cleaving an epsilon-linked peptide bond between the C-terminal glycine of the mature SUMO and the lysine epsilon-amino group of the target protein. Deconjugates SUMO1 from HIPK2. Deconjugates SUMO1 from HDAC1 and BHLHE40/DEC1, which decreases its transcriptional repression activity. Deconjugates SUMO1 from CLOCK, which decreases its transcriptional activation activity. Deconjugates SUMO2 from MTA1. Desumoylates CCAR2 which decreases its interaction with SIRT1. Deconjugates SUMO1 from GPS2.
偶联与修饰
偶联
Unconjugated
抗原信息
免疫原
Recombinant Protein: human SENP1 aa 300-500
抗原种属
human
Uniprot ID
化学信息
分子量Theoretical: 73 kDa.
储存&溶解度
储存方式Store at -20°C or -80°C for 12 months. Avoid repeated freeze-thaw cycles.
运输方式Shipping with blue ice.

计算器

  • 稀释 计算器
  • 配液 计算器
Related Tags: buy Anti-SENP1 Antibody (8Q886) | purchase Anti-SENP1 Antibody (8Q886) | Anti-SENP1 Antibody (8Q886) cost | order Anti-SENP1 Antibody (8Q886) | Anti-SENP1 Antibody (8Q886) molecular weight