购物车
  • 全部删除
  • TargetMol
    您的购物车当前为空

Anti-RING2 Antibody (5I450)

一键复制产品信息
Rating icon 还可以
产品编号 TMAC-03608
别名 Rnf2, RNF 2, RING2_HUMAN, RING1b, RING finger protein BAP-1, RING finger protein BAP1, RING finger protein BAP 1, RING finger protein 2, RING finger protein 1B, RING 2, RING 1B, Protein DinG, Polycomb M33 interacting protein Ring1B, Polycomb M33 interacting protein Ring 1B, OTTHUMP00000060668, Huntingtin-interacting protein 2-interacting protein 3, Huntingtin interacting protein 2 interacting protein 3, HIPI3, HIPI 3, HIP2-interacting protein 3, HIP2 interacting protein 3, E3 ubiquitin-protein ligase RING2, E3 ubiquitin protein ligase RING2, E3 ubiquitin protein ligase RING 2, DinG protein, DING, BAP1, BAP 1

Anti-RING2 Antibody (5I450) 是一种 Rabbit 抗体,靶向 RING2。Anti-RING2 Antibody (5I450) 可用于 IHC,WB。

Anti-RING2 Antibody (5I450)

Anti-RING2 Antibody (5I450)

一键复制产品信息
Rating icon 还可以
产品编号 TMAC-03608 别名 Rnf2, RNF 2, RING2_HUMAN, RING1b, RING finger protein BAP-1, RING finger protein BAP1, RING finger protein BAP 1, RING finger protein 2, RING finger protein 1B, RING 2, RING 1B, Protein DinG, Polycomb M33 interacting protein Ring1B, Polycomb M33 interacting protein Ring 1B, OTTHUMP00000060668, Huntingtin-interacting protein 2-interacting protein 3, Huntingtin interacting protein 2 interacting protein 3, HIPI3, HIPI 3, HIP2-interacting protein 3, HIP2 interacting protein 3, E3 ubiquitin-protein ligase RING2, E3 ubiquitin protein ligase RING2, E3 ubiquitin protein ligase RING 2, DinG protein, DING, BAP1, BAP 1

Anti-RING2 Antibody (5I450) 是一种 Rabbit 抗体,靶向 RING2。Anti-RING2 Antibody (5I450) 可用于 IHC,WB。

规格价格库存数量
50 μL
¥ 1,490
5日内发货
100 μL
¥ 2,485
5日内发货
大包装 & 定制
加入购物车
TargetMol 的所有产品仅用作科学研究或药证申报,不能被用于人体,我们不向个人提供产品和服务。请您遵守承诺用途,不得违反法律法规规定用于任何其他用途。
实验操作小课堂
常见问题解答
查看更多
联系我们获取更多批次信息
资源下载

产品介绍

生物活性
产品描述
Anti-RING2 Antibody (5I450) is a Rabbit antibody targeting RING2. Anti-RING2 Antibody (5I450) can be used in IHC,WB.
别名Rnf2, RNF 2, RING2_HUMAN, RING1b, RING finger protein BAP-1, RING finger protein BAP1, RING finger protein BAP 1, RING finger protein 2, RING finger protein 1B, RING 2, RING 1B, Protein DinG, Polycomb M33 interacting protein Ring1B, Polycomb M33 interacting protein Ring 1B, OTTHUMP00000060668, Huntingtin-interacting protein 2-interacting protein 3, Huntingtin interacting protein 2 interacting protein 3, HIPI3, HIPI 3, HIP2-interacting protein 3, HIP2 interacting protein 3, E3 ubiquitin-protein ligase RING2, E3 ubiquitin protein ligase RING2, E3 ubiquitin protein ligase RING 2, DinG protein, DING, BAP1, BAP 1
Ig Type
IgG
克隆号
5I450
交叉反应
Human,Mouse,Rat
验证活性
1. Western blot analysis of RING2 on k562 cell using anti-RING2 antibody at 1/500 dilution.
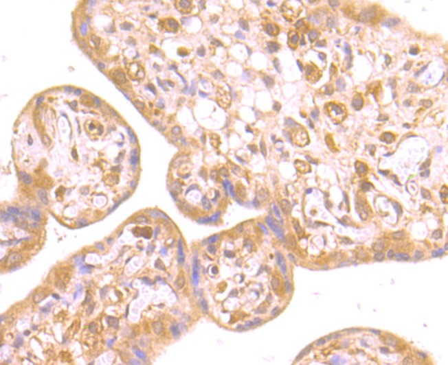
2. Immunohistochemical analysis of paraffin-embedded human placenta tissue using anti-RING2 antibody. Counter stained with hematoxylin.
verifiedActivityverifiedActivity
应用IHCWB
推荐剂量
WB: 1:500-1000; IHC: 1:50-200
抗体种类
Monoclonal
宿主来源Rabbit
构建方式Recombinant Antibody
纯化方式ProA affinity purified
性状Liquid
缓冲液1*TBS (pH7.4), 1%BSA, 40%Glycerol. Preservative: 0.05% Sodium Azide.
研究背景E3 ubiquitin-protein ligase that mediates monoubiquitination of 'Lys-119' of histone H2A (H2AK119Ub), thereby playing a central role in histone code and gene regulation. H2AK119Ub gives a specific tag for epigenetic transcriptional repression and participates in X chromosome inactivation of female mammals. May be involved in the initiation of both imprinted and random X inactivation. Essential component of a Polycomb group (PcG) multiprotein PRC1-like complex, a complex class required to maintain the transcriptionally repressive state of many genes, including Hox genes, throughout development. PcG PRC1 complex acts via chromatin remodeling and modification of histones, rendering chromatin heritably changed in its expressibility. E3 ubiquitin-protein ligase activity is enhanced by BMI1/PCGF4. Acts as the main E3 ubiquitin ligase on histone H2A of the PRC1 complex, while RING1 may rather act as a modulator of RNF2/RING2 activity (Probable).
偶联与修饰
偶联
Unconjugated
抗原信息
免疫原
Recombinant Protein
Uniprot ID
化学信息
分子量Theoretical: 38 kDa.
存储&运输
储存方式Store at -20°C or -80°C for 12 months. Avoid repeated freeze-thaw cycles.
运输方式Shipping with blue ice.

计算器

  • 稀释 计算器

评论列表

4个月前
5.0
Rating icon 很棒

评论内容

Related Tags: buy Anti-RING2 Antibody (5I450) | purchase Anti-RING2 Antibody (5I450) | Anti-RING2 Antibody (5I450) cost | order Anti-RING2 Antibody (5I450) | Anti-RING2 Antibody (5I450) molecular weight