购物车
  • TargetMol
    您的购物车当前为空

Anti-RB1 Antibody (6K434)

Synonyms: Retinoblastoma-associated protein, Retinoblastoma, RB1, RB transcriptional corepressor 1, RB, pRb (Rb), pRb, PPP1R130, pp110, p110-RB1, p105-Rb, OSRC
货号 TMAC-03548 一键复制产品信息
Rating icon 还可以

Anti-RB1 Antibody (6K434) 是一种 Rabbit 抗体,靶向 RB1。Anti-RB1 Antibody (6K434) 可用于 ICC/IF,IHC,IP,WB。

Anti-RB1 Antibody (6K434)

一键复制产品信息
Rating icon 还可以
货号 TMAC-03548

别名 Retinoblastoma-associated protein, Retinoblastoma, RB1, RB transcriptional corepressor 1, RB, pRb (Rb), pRb, PPP1R130, pp110, p110-RB1, p105-Rb, OSRC

Anti-RB1 Antibody (6K434) 是一种 Rabbit 抗体,靶向 RB1。Anti-RB1 Antibody (6K434) 可用于 ICC/IF,IHC,IP,WB。

Anti-RB1 Antibody (6K434)
规格价格库存数量
50 μL
¥ 2,000
5日内发货
100 μL
¥ 3,200
5日内发货
库存状态实时更新,以官网显示为准,现货产品可直接加购物车下单
大包装 & 定制
加入购物车

TargetMol的所有产品仅用作科学研究或药证申报,不能被用于人体,我们不向个人提供产品和服务。请您遵守承诺用途,不得违反法律法规规定用于任何其他用途。

实验操作小课堂
常见问题解答
查看更多

资源下载:产品操作手册

产品介绍


生物活性
产品描述
Anti-RB1 Antibody (6K434) is a Rabbit antibody targeting RB1. Anti-RB1 Antibody (6K434) can be used in ICC/IF,IHC,IP,WB.
别名
Retinoblastoma-associated protein, Retinoblastoma, RB1, RB transcriptional corepressor 1, RB, pRb (Rb), pRb, PPP1R130, pp110, p110-RB1, p105-Rb, OSRC
Ig Type
IgG
克隆号
6K434
反应种属
Human,Mouse
验证活性
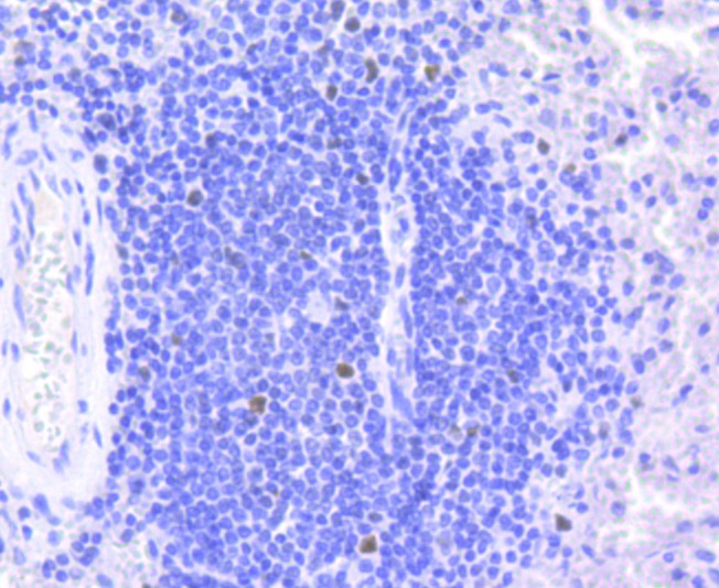
1. Immunohistochemical analysis of paraffin-embedded human spleen tissue using anti-Rb antibody. Counter stained with hematoxylin.
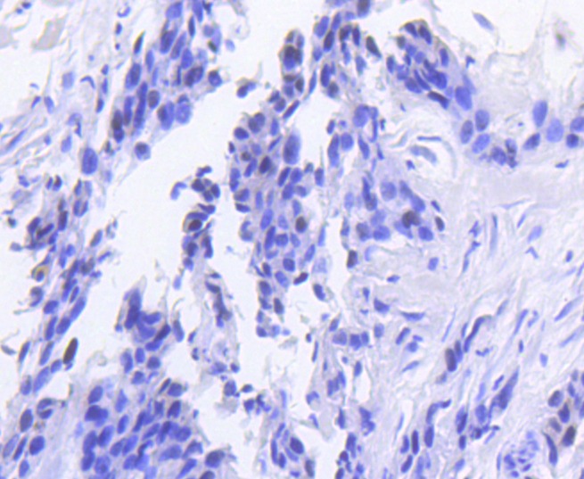
2. Immunohistochemical analysis of paraffin-embedded human breast carcinoma tissue using anti-Rb antibody. Counter stained with hematoxylin.
verifiedActivityverifiedActivity
应用ICC/IFIHCIPWB
推荐剂量
WB: 1:500-1000; IHC: 1:50-200; ICC/IF: 1:50-200
抗体种类
Monoclonal
宿主来源Rabbit
构建方式Recombinant Antibody
纯化方式ProA affinity purified
性状Liquid
缓冲液1*TBS (pH7.4), 1%BSA, 40%Glycerol. Preservative: 0.05% Sodium Azide.
研究背景Pediatric cancer retinoblastoma and the formation of other human tumors can be attributed to mutations in the retinoblastoma tumor suppressor gene. The retinoblastoma tumor suppressor gene product, known as Rb or pRb, regulates differentiation, apoptosis and cell cycle control by coordinating the cell cycle, at G1/S, with transcriptional machinery that includes the heterodimeric E2F family. During G1, cyclin D (D1, D2, D3)-dependent kinase-mediated phosphorylation of Rb at Ser 795 marks the conversion of Rb from a transcriptionally repressive, hypophosphorylated state to an inactive, phosphorylated state, which may be sustained through mitosis by differential phosphorylation of up to 16 putative serine or threonine residues, including Ser 249/Thr 252, Thr 373, Thr 356, Ser 780, Ser 807/Ser 811 and Thr 821/Thr 826. Hypophosphorylated Rb represses the transcription of genes controlling cell cycle through direct protein-protein interactions, by binding and inactivating the promoters of transcription factors, and through recruitment of histone deacetylase, which deacetylates promoter regions and enhances nucleosome formation, thereby masking transcription enhancing cis elements.
偶联与修饰
偶联
Unconjugated
抗原信息
免疫原
Recombinant Protein
Uniprot ID
化学信息
分子量Theoretical: 105 kDa.
储存&溶解度
储存方式Store at -20°C or -80°C for 12 months. Avoid repeated freeze-thaw cycles.
运输方式Shipping with blue ice.

计算器

  • 稀释 计算器
  • 配液 计算器
Related Tags: buy Anti-RB1 Antibody (6K434) | purchase Anti-RB1 Antibody (6K434) | Anti-RB1 Antibody (6K434) cost | order Anti-RB1 Antibody (6K434) | Anti-RB1 Antibody (6K434) molecular weight