购物车
  • 全部删除
  • TargetMol
    您的购物车当前为空

Anti-RAB5A Antibody (6H506)

一键复制产品信息
Rating icon 还可以
产品编号 TMAC-03484
别名 Ras-related protein Rab-5A, RAB5A, RAB5

Anti-RAB5A Antibody (6H506) 是一种 Rabbit 抗体,靶向 RAB5A。Anti-RAB5A Antibody (6H506) 可用于 IHC,WB。

Anti-RAB5A Antibody (6H506)

Anti-RAB5A Antibody (6H506)

一键复制产品信息
Rating icon 还可以
产品编号 TMAC-03484 别名 Ras-related protein Rab-5A, RAB5A, RAB5

Anti-RAB5A Antibody (6H506) 是一种 Rabbit 抗体,靶向 RAB5A。Anti-RAB5A Antibody (6H506) 可用于 IHC,WB。

规格价格库存数量
50 μL
¥ 1,485
5日内发货
100 μL
¥ 2,480
5日内发货
大包装 & 定制
加入购物车
TargetMol 的所有产品仅用作科学研究或药证申报,不能被用于人体,我们不向个人提供产品和服务。请您遵守承诺用途,不得违反法律法规规定用于任何其他用途。
实验操作小课堂
常见问题解答
查看更多
联系我们获取更多批次信息
资源下载

产品介绍

生物活性
产品描述
Anti-RAB5A Antibody (6H506) is a Rabbit antibody targeting RAB5A. Anti-RAB5A Antibody (6H506) can be used in IHC,WB.
别名Ras-related protein Rab-5A, RAB5A, RAB5
Ig Type
IgG
克隆号
6H506
交叉反应
Human,Mouse,Rat
验证活性
1. Western blot analysis of Rab5 on different lysates using anti-Rab5 antibody at 1/1,000 dilution. Positive control: Lane 1: Hela, Lane 2: MCF-7.
2. Immunohistochemical analysis of paraffin-embedded mouse brain tissue using anti-Rab5 antibody. Counter stained with hematoxylin.
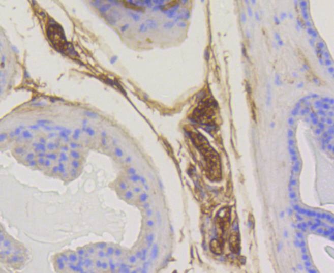
3. Immunohistochemical analysis of paraffin-embedded mouse prostate tissue using anti-Rab5 antibody. Counter stained with hematoxylin.
verifiedActivityverifiedActivityverifiedActivity
应用IHCWB
推荐剂量
WB: 1:1000; IHC: 1:50-200
抗体种类
Monoclonal
宿主来源Rabbit
构建方式Recombinant Antibody
纯化方式ProA affinity purified
性状Liquid
缓冲液1*TBS (pH7.4), 1%BSA, 40%Glycerol. Preservative: 0.05% Sodium Azide.
研究背景The Ras-related superfamily of guanine nucleotide binding proteins, which includes the R-Ras, Rap, Ral/Rec and Rho/Rab subfamilies, exhibit 30-60% homology with Ras p21. Accumulating data suggests an important role for Rab proteins, either in endocytosis or in biosynthetic protein transport. The transport of newly synthesized proteins from the endoplasmic reticulum to various stacks of the Golgi complex and to secretory vesicles involves at each stage the movement of carrier vesicles, a process that appears to involve Rab protein function. The possibility that Rab proteins might also direct the exocytosis from secretory vesicles to the plasma membrane is supported by the observation that in yeast, the Sec4 protein, which is 40% homologous to Rab proteins, is associated with secretory vesicles. At least eight members of the Rab subfamily have been identified, each of which is found at a particular stage of a membrane transport pathway.
偶联与修饰
偶联
Unconjugated
抗原信息
免疫原
Recombinant Protein
Uniprot ID
化学信息
分子量Theoretical: 24 kDa.
存储&运输
储存方式Store at -20°C or -80°C for 12 months. Avoid repeated freeze-thaw cycles.
运输方式Shipping with blue ice.

计算器

  • 稀释 计算器

关键词

评论列表

4个月前
5.0
Rating icon 很棒

评论内容

Related Tags: buy Anti-RAB5A Antibody (6H506) | purchase Anti-RAB5A Antibody (6H506) | Anti-RAB5A Antibody (6H506) cost | order Anti-RAB5A Antibody (6H506) | Anti-RAB5A Antibody (6H506) molecular weight