购物车
  • 全部删除
  • TargetMol
    您的购物车当前为空

Anti-PSIP1 Antibody (7I174)

一键复制产品信息
Rating icon 还可以
产品编号 TMAC-03452
别名 Transcriptional coactivator p75/p52, PSIP2, PSIP1, PC4 and SFRS1-interacting protein, Lens epithelium-derived growth factor, LEDGF, DFS70, Dense fine speckles 70 kDa protein (DFS 70), CLL-associated antigen KW-7

Anti-PSIP1 Antibody (7I174) 是一种 Mouse 抗体,靶向 PSIP1。Anti-PSIP1 Antibody (7I174) 可用于 ICC,IHC,WB。

Anti-PSIP1 Antibody (7I174)

Anti-PSIP1 Antibody (7I174)

一键复制产品信息
Rating icon 还可以
产品编号 TMAC-03452 别名 Transcriptional coactivator p75/p52, PSIP2, PSIP1, PC4 and SFRS1-interacting protein, Lens epithelium-derived growth factor, LEDGF, DFS70, Dense fine speckles 70 kDa protein (DFS 70), CLL-associated antigen KW-7

Anti-PSIP1 Antibody (7I174) 是一种 Mouse 抗体,靶向 PSIP1。Anti-PSIP1 Antibody (7I174) 可用于 ICC,IHC,WB。

规格价格库存数量
50 μL
¥ 1,995
5日内发货
100 μL
¥ 2,995
5日内发货
大包装 & 定制
加入购物车
TargetMol 的所有产品仅用作科学研究或药证申报,不能被用于人体,我们不向个人提供产品和服务。请您遵守承诺用途,不得违反法律法规规定用于任何其他用途。
实验操作小课堂
常见问题解答
查看更多
联系我们获取更多批次信息
资源下载

产品介绍

生物活性
产品描述
Anti-PSIP1 Antibody (7I174) is a Mouse antibody targeting PSIP1. Anti-PSIP1 Antibody (7I174) can be used in ICC,IHC,WB.
别名Transcriptional coactivator p75/p52, PSIP2, PSIP1, PC4 and SFRS1-interacting protein, Lens epithelium-derived growth factor, LEDGF, DFS70, Dense fine speckles 70 kDa protein (DFS 70), CLL-associated antigen KW-7
克隆号
7I174
交叉反应
Human,Monkey,Rat
验证活性
1. Western blot analysis of PSIP1 on different cell lysates using anti-PSIP1 antibody at 1/1,000 dilution. Positive control: Lane 1: HepG2, Lane 2: Jurkat, Lane 3: K562, Lane 4: Cos7, Lane 5: PC-12, Lane 6: Hela, Lane 7: NIH/3T3.
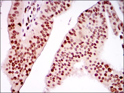
2. Immunohistochemical analysis of paraffin-embedded human lung cancer tissue using anti-PSIP1 antibody. Counter stained with hematoxylin.
3. Immunohistochemical analysis of paraffin-embedded brain tissue using anti-PSIP1 antibody. Counter stained with hematoxylin.
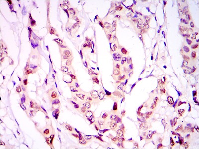
4. Immunohistochemical analysis of paraffin-embedded human breast cancer tissue using anti-PSIP1 antibody. Counter stained with hematoxylin.
5. Immunohistochemical analysis of paraffin-embedded human ovarian cancer tissue using anti-PSIP1 antibody. Counter stained with hematoxylin.
6. ICC staining PSIP1 (green) and actin filaments (red) in NIH/3T3 cells. Cells were fixed in paraformaldehyde, permeabilised with 0.25% Triton X100/PBS.
verifiedActivityverifiedActivityverifiedActivityverifiedActivityverifiedActivityverifiedActivity
应用ICCIHCWB
推荐剂量
WB: 1:500-1000; IHC: 1:100-500; ICC: 1:100-500
抗体种类
Monoclonal
宿主来源Mouse
构建方式Hybridoma Monoclonal Antibody
纯化方式ProA affinity purified
性状Liquid
缓冲液1*TBS (pH7.4), 1%BSA, Preservative: 0.05% Sodium Azide.
研究背景PSIP1 (PC4 and SFRS1 interacting protein 1), also known as CLL-associated antigen KW-7, PSIP2, LEDGF (lens epithelium-derived growth factor), PAIP, DFS70 (dense fine speckles 70 kDa protein) or transcriptional coactivator p75/p52, is a 530 amino acid nuclear protein that associates with chromatin throughout the cell cycle. Functioning as a transcriptional coactivator that complexes with the human immunodeficiency virus type 1 (HIV-1) integrase, PSIP1 is essential for the nuclear localization and chromosomal association of viral proteins. As the primary integrase-to-chromatin tethering factor for HIV-1, PSIP1 is responsible for the cellular trafficking of lentiviral integrases. During apoptosis, PSIP1 is cleaved at three sites by caspase-3 and caspase-7, contributing to the pathogenesis of atopic disorders.
偶联与修饰
偶联
Unconjugated
抗原信息
免疫原
Recombinant Protein
Uniprot ID
化学信息
分子量Theoretical: 75 kDa.
存储&运输
储存方式Store at -20°C or -80°C for 12 months. Avoid repeated freeze-thaw cycles.
运输方式Shipping with blue ice.

计算器

  • 稀释 计算器

关键词

评论列表

4个月前
5.0
Rating icon 很棒

评论内容

Related Tags: buy Anti-PSIP1 Antibody (7I174) | purchase Anti-PSIP1 Antibody (7I174) | Anti-PSIP1 Antibody (7I174) cost | order Anti-PSIP1 Antibody (7I174) | Anti-PSIP1 Antibody (7I174) molecular weight