购物车
  • TargetMol
    您的购物车当前为空

Anti-PRMT1 Antibody (6O126)

Synonyms: S. cerevisiae like 2, R1B4, Protein arginine N-methyltransferase 1, Protein arginine N methyltransferase1, Protein arginine N methyltransferase 1, Protein arginine methyltransferase 1, PRMT1, PRMT 1, Mrmt1, Mrmt 1, IR1B4, IR1B 4, IR1 B4, Interferon receptor 1-bound protein 4, Interferon receptor 1bound protein 4, Interferon receptor 1 bound protein4, Interferon receptor 1 bound protein 4, Human mRNA for suppressor for yeast mutant complete cds, Human mRNA for suppressor for yeast mutant, HRMT1L2, HRMT1L 2, HRMT1 L2, HMT2, HMT1 hnRNP methyltransferase like 2 (S. cerevisiae), HMT1 hnRNP methyltransferase like 2, HMT1 hnRNP methyltransferase, HMT1 (hnRNP methyltransferase S. cerevisiae) like 2, HMT 2, Histone-arginine N-methyltransferase PRMT1, Heterogeneous nuclear ribonucleoproteins methyltransferase like2, Heterogeneous nuclear ribonucleoproteins methyltransferase like 2, Heterogeneous nuclear ribonucleoprotein methyltransferase 1 like 2, HCP1, HCP 1, ANM1_HUMAN, ANM1, ANM 1
货号 TMAC-03425 一键复制产品信息
Rating icon 还可以

Anti-PRMT1 Antibody (6O126) 是一种 Rabbit 抗体,靶向 PRMT1。Anti-PRMT1 Antibody (6O126) 可用于 ChIP,ICC/IF,IHC,WB。

Anti-PRMT1 Antibody (6O126)

一键复制产品信息
Rating icon 还可以
货号 TMAC-03425

别名 S. cerevisiae like 2, R1B4, Protein arginine N-methyltransferase 1, Protein arginine N methyltransferase1, Protein arginine N methyltransferase 1, Protein arginine methyltransferase 1, PRMT1, PRMT 1, Mrmt1, Mrmt 1, IR1B4, IR1B 4, IR1 B4, Interferon receptor 1-bound protein 4, Interferon receptor 1bound protein 4, Interferon receptor 1 bound protein4, Interferon receptor 1 bound protein 4, Human mRNA for suppressor for yeast mutant complete cds, Human mRNA for suppressor for yeast mutant, HRMT1L2, HRMT1L 2, HRMT1 L2, HMT2, HMT1 hnRNP methyltransferase like 2 (S. cerevisiae), HMT1 hnRNP methyltransferase like 2, HMT1 hnRNP methyltransferase, HMT1 (hnRNP methyltransferase S. cerevisiae) like 2, HMT 2, Histone-arginine N-methyltransferase PRMT1, Heterogeneous nuclear ribonucleoproteins methyltransferase like2, Heterogeneous nuclear ribonucleoproteins methyltransferase like 2, Heterogeneous nuclear ribonucleoprotein methyltransferase 1 like 2, HCP1, HCP 1, ANM1_HUMAN, ANM1, ANM 1

Anti-PRMT1 Antibody (6O126) 是一种 Rabbit 抗体,靶向 PRMT1。Anti-PRMT1 Antibody (6O126) 可用于 ChIP,ICC/IF,IHC,WB。

Anti-PRMT1 Antibody (6O126)
规格价格库存数量
50 μL
¥ 1,495
5日内发货
100 μL
¥ 2,480
5日内发货
库存状态实时更新,以官网显示为准,现货产品可直接加购物车下单
大包装 & 定制
加入购物车

TargetMol的所有产品仅用作科学研究或药证申报,不能被用于人体,我们不向个人提供产品和服务。请您遵守承诺用途,不得违反法律法规规定用于任何其他用途。

实验操作小课堂
常见问题解答
查看更多

资源下载:产品操作手册

产品介绍


生物活性
产品描述
Anti-PRMT1 Antibody (6O126) is a Rabbit antibody targeting PRMT1. Anti-PRMT1 Antibody (6O126) can be used in ChIP,ICC/IF,IHC,WB.
别名
S. cerevisiae like 2, R1B4, Protein arginine N-methyltransferase 1, Protein arginine N methyltransferase1, Protein arginine N methyltransferase 1, Protein arginine methyltransferase 1, PRMT1, PRMT 1, Mrmt1, Mrmt 1, IR1B4, IR1B 4, IR1 B4, Interferon receptor 1-bound protein 4, Interferon receptor 1bound protein 4, Interferon receptor 1 bound protein4, Interferon receptor 1 bound protein 4, Human mRNA for suppressor for yeast mutant complete cds, Human mRNA for suppressor for yeast mutant, HRMT1L2, HRMT1L 2, HRMT1 L2, HMT2, HMT1 hnRNP methyltransferase like 2 (S. cerevisiae), HMT1 hnRNP methyltransferase like 2, HMT1 hnRNP methyltransferase, HMT1 (hnRNP methyltransferase S. cerevisiae) like 2, HMT 2, Histone-arginine N-methyltransferase PRMT1, Heterogeneous nuclear ribonucleoproteins methyltransferase like2, Heterogeneous nuclear ribonucleoproteins methyltransferase like 2, Heterogeneous nuclear ribonucleoprotein methyltransferase 1 like 2, HCP1, HCP 1, ANM1_HUMAN, ANM1, ANM 1
Ig Type
IgG
克隆号
6O126
反应种属
Human,Mouse,Rat
验证活性
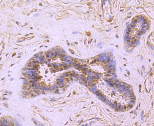
1. Immunohistochemical analysis of paraffin-embedded human breast cancer tissue using anti-PRMT1 antibody. Counter stained with hematoxylin.
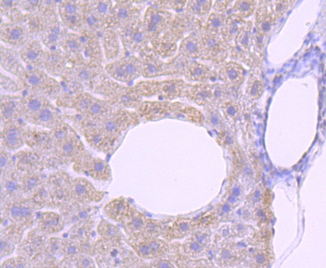
2. Immunohistochemical analysis of paraffin-embedded mouse liver tissue using anti-PRMT1 antibody. Counter stained with hematoxylin.
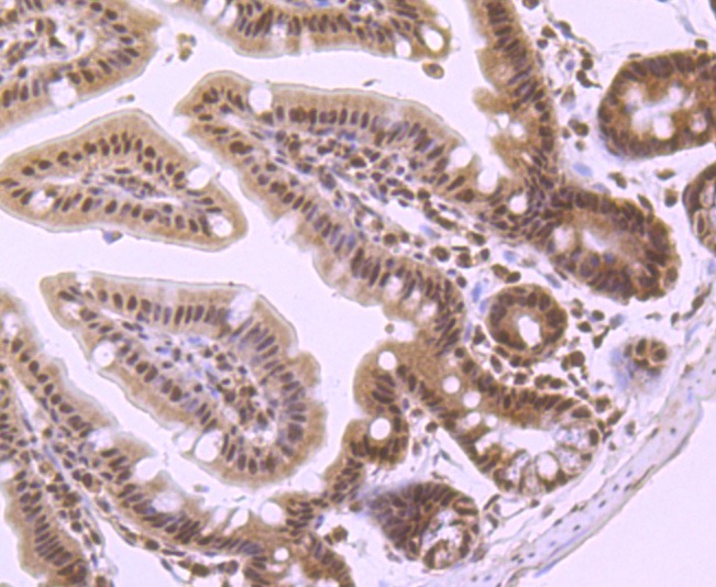
3. Immunohistochemical analysis of paraffin-embedded mouse colon tissue using anti-PRMT1 antibody. Counter stained with hematoxylin.
4. ICC staining PRMT1 in D3 cells (red). The nuclear counter stain is DAPI (blue). Cells were fixed in paraformaldehyde, permeabilised with 0.25% Triton X100/PBS.
5. ICC staining PRMT1 in NIH-3T3 cells (red). The nuclear counter stain is DAPI (blue). Cells were fixed in paraformaldehyde, permeabilised with 0.25% Triton X100/PBS.
6. ICC staining PRMT1 in Hela cells (red). The nuclear counter stain is DAPI (blue). Cells were fixed in paraformaldehyde, permeabilised with 0.25% Triton X100/PBS.
7. ICC staining PRMT1 in HepG2 cells (green). The nuclear counter stain is DAPI (blue). Cells were fixed in paraformaldehyde, permeabilised with 0.25% Triton X100/PBS.
8. ICC staining PRMT1 in SW480 cells (green). The nuclear counter stain is DAPI (blue). Cells were fixed in paraformaldehyde, permeabilised with 0.25% Triton X100/PBS.
verifiedActivityverifiedActivityverifiedActivityverifiedActivityverifiedActivityverifiedActivityverifiedActivityverifiedActivity
应用ChIPICC/IFIHCWB
推荐剂量
WB: 1:500-1000; IHC: 1:50-200; ICC/IF: 1:100-500
抗体种类
Monoclonal
宿主来源Rabbit
构建方式Recombinant Antibody
纯化方式ProA affinity purified
性状Liquid
缓冲液1*TBS (pH7.4), 1%BSA, 40%Glycerol. Preservative: 0.05% Sodium Azide.
研究背景A class of proteins termed type 1 protein arginine N-methyltransferase (PRMT) enzymes contribute to posttranslational modification of RNA-binding proteins, but differ in substrate specificities, oligomerization properties and subcellular localization. PRMT1, the predominant form in mammalian cells, is located in the nucleus, while PRMT3 is present in the cytoplasm. At the carboxy-terminus, interleukin enhancer-binding factor 3 (ILF3) binds PRMT1, thereby regulating PRMT1 activitiy. Alternative mRNA splicing of the PRMT gene results in three isoforms of PRMT1 that differ in their amino-terminus regions. All three splice variants of PRMT1 are enzymatically active. PRMT3 recognizes and binds to RNA-associated substrates with a zinc-finger domain in its amino-terminus. The zinc-liganded form of this domain is required for the enzyme to recognize RNA-associated substrates.
偶联与修饰
偶联
Unconjugated
抗原信息
免疫原
Recombinant Protein
Uniprot ID
化学信息
分子量Theoretical: 42 kDa.
储存&溶解度
储存方式Store at -20°C or -80°C for 12 months. Avoid repeated freeze-thaw cycles.
运输方式Shipping with blue ice.

计算器

  • 稀释 计算器
  • 配液 计算器
Related Tags: buy Anti-PRMT1 Antibody (6O126) | purchase Anti-PRMT1 Antibody (6O126) | Anti-PRMT1 Antibody (6O126) cost | order Anti-PRMT1 Antibody (6O126) | Anti-PRMT1 Antibody (6O126) molecular weight