购物车
  • TargetMol
    您的购物车当前为空

Anti-PKHD1 Antibody (4M854)

Synonyms: Tigmin, TIGM1, Polyductin, Polycystic kidney and hepatic disease 1 protein, PKHD1_HUMAN, PKHD 1, FPC, Fibrocystin, FCYT, ARPKD
货号 TMAC-03349 一键复制产品信息
Rating icon 还可以

Anti-PKHD1 Antibody (4M854) 是一种 Mouse 抗体,靶向 PKHD1。Anti-PKHD1 Antibody (4M854) 可用于 FCM,ICC,IHC,WB。

Anti-PKHD1 Antibody (4M854)

一键复制产品信息
Rating icon 还可以
货号 TMAC-03349

别名 Tigmin, TIGM1, Polyductin, Polycystic kidney and hepatic disease 1 protein, PKHD1_HUMAN, PKHD 1, FPC, Fibrocystin, FCYT, ARPKD

Anti-PKHD1 Antibody (4M854) 是一种 Mouse 抗体,靶向 PKHD1。Anti-PKHD1 Antibody (4M854) 可用于 FCM,ICC,IHC,WB。

Anti-PKHD1 Antibody (4M854)
规格价格库存数量
50 μL
¥ 1,980
5日内发货
100 μL
¥ 2,995
5日内发货
库存状态实时更新,以官网显示为准,现货产品可直接加购物车下单
大包装 & 定制
加入购物车
TargetMol的所有产品仅用作科学研究或药证申报,不能被用于人体,我们不向个人提供产品和服务。请您遵守承诺用途,不得违反法律法规规定用于任何其他用途。
实验操作小课堂
常见问题解答
查看更多

资源下载:产品操作手册

产品介绍


生物活性
产品描述
Anti-PKHD1 Antibody (4M854) is a Mouse antibody targeting PKHD1. Anti-PKHD1 Antibody (4M854) can be used in FCM,ICC,IHC,WB.
别名Tigmin, TIGM1, Polyductin, Polycystic kidney and hepatic disease 1 protein, PKHD1_HUMAN, PKHD 1, FPC, Fibrocystin, FCYT, ARPKD
克隆号
4M854
反应种属
Human
验证活性
1. Western blot analysis of PKHD1 on mouse PKHD1 recombinant protein using anti-PKHD1 antibody at 1/1,000 dilution.
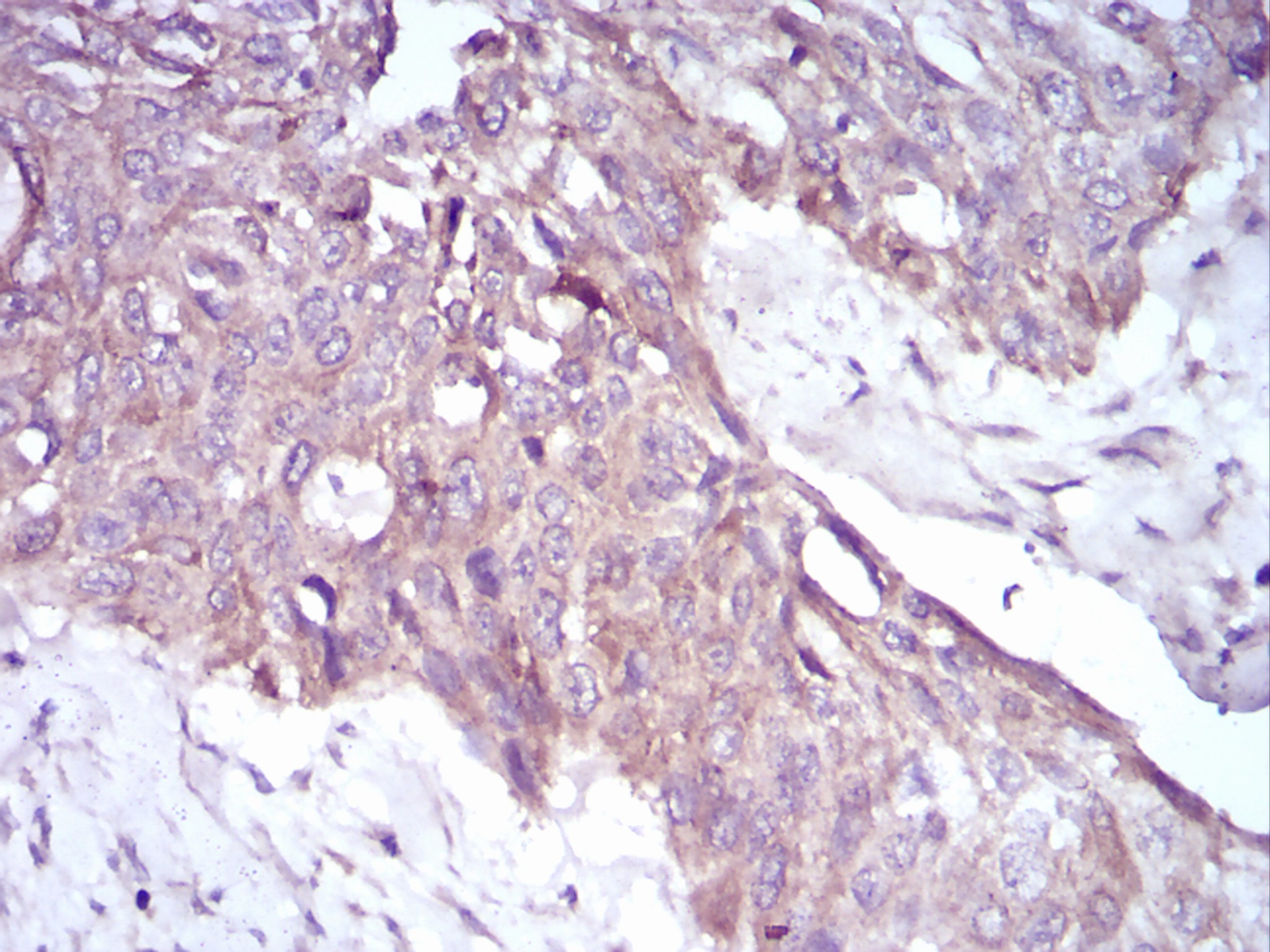
2. Immunohistochemical analysis of paraffin-embedded human esophageal cancer tissue using anti-PKHD1 antibody. Counter stained with hematoxylin.
3. ICC staining PKHD1 (green) and Actin filaments (red) in A431 cells. The nuclear counter stain is DAPI (blue). Cells were fixed in paraformaldehyde, permeabilised with 0.25% Triton X100/PBS.
4. Flow cytometric analysis of Hela cells with PKHD1 antibody at 1/100 dilution (green) compared with an unlabelled control (cells without incubation with primary antibody; red).
verifiedActivityverifiedActivityverifiedActivityverifiedActivity
应用FCMICCIHCWB
推荐剂量
WB: 1:500-2000; IHC: 1:50-200; ICC: 1:50-200; FCM: 1:50-100
抗体种类
Monoclonal
宿主来源Mouse
构建方式Hybridoma Monoclonal Antibody
纯化方式ProA affinity purified
性状Liquid
缓冲液1*TBS (pH7.4), 1%BSA, 40%Glycerol. Preservative: 0.05% Sodium Azide.
研究背景May be required for correct bipolar cell division through the regulation of centrosome duplication and mitotic spindle assembly. May be a receptor protein that acts in collecting-duct and biliary differentiation. Defects in PKHD1 are the cause of polycystic kidney disease autosomal recessive (ARPKD). ARPKD is a severe form of polycystic kidney disease affecting the kidneys and the hepatic biliary tract. The clinical spectrum is widely variable, with most cases presenting during infancy. The fetal phenotypic features classically include enlarged and echogenic kidneys, as well as oligohydramnios secondary to a poor urine output. Up to 50% of the affected neonates die shortly after birth, as a result of severe pulmonary hypoplasia and secondary respiratory insufficiency. In the subset that survives the perinatal period, morbidity and mortality are mainly related to severe systemic hypertension, renal insufficiency, and portal hypertension due to portal-tract fibrosis.
偶联与修饰
偶联
Unconjugated
抗原信息
免疫原
Recombinant Protein
Uniprot ID
化学信息
分子量Theoretical: 445 kDa.
储存&溶解度
储存方式Store at -20°C or -80°C for 12 months. Avoid repeated freeze-thaw cycles.
运输方式Shipping with blue ice.

计算器

  • 稀释 计算器
  • 配液 计算器
Related Tags: buy Anti-PKHD1 Antibody (4M854) | purchase Anti-PKHD1 Antibody (4M854) | Anti-PKHD1 Antibody (4M854) cost | order Anti-PKHD1 Antibody (4M854) | Anti-PKHD1 Antibody (4M854) molecular weight