购物车
  • TargetMol
    您的购物车当前为空

Anti-PI 3 Kinase p110 delta Antibody (6K824)

Synonyms: PtdIns-3-kinase subunit p110-delta, PtdIns-3-kinase subunit delta, PtdIns 3 kinase subunit p110 delta, PtdIns 3 kinase p110, PK3CD_HUMAN, PK3CD, PIK3R1, Pik3cd, PI3-kinase subunit delta, PI3K-delta, PI3Kdelta, PI3K, PI3 kinase p110 subunit delta, PI 3 Kinase p110 δ, PI 3 Kinase p110 d, Phosphoinositide 3 kinase, catalytic, delta polypeptide variant p37delta, Phosphoinositide 3 kinase catalytic delta polypeptide, Phosphoinositide 3 kinase C, Phosphoinositide 3 kinase B, Phosphatidylinositol-4, Phosphatidylinositol 45 bisphosphate 3 kinase catalytic subunit delta isoform, Phosphatidylinositol 4,5 bisphosphate 3 kinase, catalytic subunit delta, Phosphatidylinositol 4,5 bisphosphate 3 kinase 110 kDa catalytic subunit delta, Phosphatidylinositol 4 5 bisphosphate 3 kinase catalytic subunit delta isoform, Phosphatidylinositol 3 kinase catalytic delta polypeptide, p85-ALPHA, p110dp85a, p110delta, p110d, IMD14, GRB1, APDS, 5-bisphosphate 3-kinase catalytic subunit delta isoform, 5-bisphosphate 3-kinase 110 kDa catalytic subunit delta
货号 TMAC-03287 一键复制产品信息
Rating icon 还可以

Anti-PI 3 Kinase p110 delta Antibody (6K824) 是一种 Rabbit 抗体,靶向 PI 3 Kinase p110 delta。Anti-PI 3 Kinase p110 delta Antibody (6K824) 可用于 IHC,WB。

Anti-PI 3 Kinase p110 delta Antibody (6K824)

一键复制产品信息
Rating icon 还可以
货号 TMAC-03287

别名 PtdIns-3-kinase subunit p110-delta, PtdIns-3-kinase subunit delta, PtdIns 3 kinase subunit p110 delta, PtdIns 3 kinase p110, PK3CD_HUMAN, PK3CD, PIK3R1, Pik3cd, PI3-kinase subunit delta, PI3K-delta, PI3Kdelta, PI3K, PI3 kinase p110 subunit delta, PI 3 Kinase p110 δ, PI 3 Kinase p110 d, Phosphoinositide 3 kinase, catalytic, delta polypeptide variant p37delta, Phosphoinositide 3 kinase catalytic delta polypeptide, Phosphoinositide 3 kinase C, Phosphoinositide 3 kinase B, Phosphatidylinositol-4, Phosphatidylinositol 45 bisphosphate 3 kinase catalytic subunit delta isoform, Phosphatidylinositol 4,5 bisphosphate 3 kinase, catalytic subunit delta, Phosphatidylinositol 4,5 bisphosphate 3 kinase 110 kDa catalytic subunit delta, Phosphatidylinositol 4 5 bisphosphate 3 kinase catalytic subunit delta isoform, Phosphatidylinositol 3 kinase catalytic delta polypeptide, p85-ALPHA, p110dp85a, p110delta, p110d, IMD14, GRB1, APDS, 5-bisphosphate 3-kinase catalytic subunit delta isoform, 5-bisphosphate 3-kinase 110 kDa catalytic subunit delta

Anti-PI 3 Kinase p110 delta Antibody (6K824) 是一种 Rabbit 抗体,靶向 PI 3 Kinase p110 delta。Anti-PI 3 Kinase p110 delta Antibody (6K824) 可用于 IHC,WB。

Anti-PI 3 Kinase p110 delta Antibody (6K824)
规格价格库存数量
50 μL
¥ 1,495
5日内发货
100 μL
¥ 2,480
5日内发货
库存状态实时更新,以官网显示为准,现货产品可直接加购物车下单
大包装 & 定制
加入购物车

TargetMol的所有产品仅用作科学研究或药证申报,不能被用于人体,我们不向个人提供产品和服务。请您遵守承诺用途,不得违反法律法规规定用于任何其他用途。

实验操作小课堂
常见问题解答
查看更多

资源下载:产品操作手册

产品介绍


生物活性
产品描述
Anti-PI 3 Kinase p110 delta Antibody (6K824) is a Rabbit antibody targeting PI 3 Kinase p110 delta. Anti-PI 3 Kinase p110 delta Antibody (6K824) can be used in IHC,WB.
别名
PtdIns-3-kinase subunit p110-delta, PtdIns-3-kinase subunit delta, PtdIns 3 kinase subunit p110 delta, PtdIns 3 kinase p110, PK3CD_HUMAN, PK3CD, PIK3R1, Pik3cd, PI3-kinase subunit delta, PI3K-delta, PI3Kdelta, PI3K, PI3 kinase p110 subunit delta, PI 3 Kinase p110 δ, PI 3 Kinase p110 d, Phosphoinositide 3 kinase, catalytic, delta polypeptide variant p37delta, Phosphoinositide 3 kinase catalytic delta polypeptide, Phosphoinositide 3 kinase C, Phosphoinositide 3 kinase B, Phosphatidylinositol-4, Phosphatidylinositol 45 bisphosphate 3 kinase catalytic subunit delta isoform, Phosphatidylinositol 4,5 bisphosphate 3 kinase, catalytic subunit delta, Phosphatidylinositol 4,5 bisphosphate 3 kinase 110 kDa catalytic subunit delta, Phosphatidylinositol 4 5 bisphosphate 3 kinase catalytic subunit delta isoform, Phosphatidylinositol 3 kinase catalytic delta polypeptide, p85-ALPHA, p110dp85a, p110delta, p110d, IMD14, GRB1, APDS, 5-bisphosphate 3-kinase catalytic subunit delta isoform, 5-bisphosphate 3-kinase 110 kDa catalytic subunit delta
Ig Type
IgG
克隆号
6K824
反应种属
Human,Mouse,Rat
验证活性
1. Western blot analysis of PI 3 Kinase p110 delta on mouse spleen tissue lysate using anti-PI 3 Kinase p110 delta antibody at 1/1,000 dilution.
2. Immunohistochemical analysis of paraffin-embedded human tonsil tissue using anti-PI 3 Kinase p110 delta antibody. Counter stained with hematoxylin.
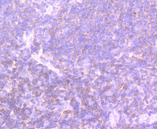
3. Immunohistochemical analysis of paraffin-embedded human spleen tissue using anti-PI 3 Kinase p110 delta antibody. Counter stained with hematoxylin.
verifiedActivityverifiedActivityverifiedActivity
应用IHCWB
推荐剂量
WB: 1:500; IHC: 1:50-200
抗体种类
Monoclonal
宿主来源Rabbit
构建方式Recombinant Antibody
纯化方式ProA affinity purified
性状Liquid
缓冲液1*TBS (pH7.4), 1%BSA, 40%Glycerol. Preservative: 0.05% Sodium Azide.
研究背景Phosphatidylinositol 3-kinase (PI 3-kinase) is composed of p85 and p110 subunits. p85 lacks PI 3-kinase activity and acts as an adapter, coupling p110 to activated protein tyrosine kinase. Two forms of p85 have been described (p85α and p85β), each possessing one SH3 and two SH2 domains. Various p110 forms have been identified. p110α and p110β interact with p85α, and p110α has also been shown to interact with p85β in vitro. It has been shown to bind p85α and β, but it apparently does not phosphorylate these subunits. p110δ has the capacity to autophosphorylate and results in the nearly complete inactivation of the lipid kinase activity. Interestingly, p110γ does not interact with the p85 subunits and has been shown to be activated by α and βγ heterotrimeric G proteins. Two p110δ isoforms have been identified and are widely expressed. Isoform 1 is expressed predominantly in leukocytes while isoform 2 is expressed in normal thymus, lung and spleen tissues.
偶联与修饰
偶联
Unconjugated
抗原信息
免疫原
Recombinant Protein
Uniprot ID
化学信息
分子量Theoretical: 110 kDa.
储存&溶解度
储存方式Store at -20°C or -80°C for 12 months. Avoid repeated freeze-thaw cycles.
运输方式Shipping with blue ice.

计算器

  • 稀释 计算器
  • 配液 计算器
Related Tags: buy Anti-PI 3 Kinase p110 delta Antibody (6K824) | purchase Anti-PI 3 Kinase p110 delta Antibody (6K824) | Anti-PI 3 Kinase p110 delta Antibody (6K824) cost | order Anti-PI 3 Kinase p110 delta Antibody (6K824) | Anti-PI 3 Kinase p110 delta Antibody (6K824) molecular weight