购物车
  • TargetMol
    您的购物车当前为空

Anti-Phospho-TBK1 (Ser172) Polyclonal Antibody

Synonyms: TBK1 (p-Ser172), TBK1 (p-S172), TBK 1, TANK-binding kinase 1, T2K, Serine/threonine-protein kinase TBK1, p-TBK1 (Ser172), p-TBK1 (S172), NF-kappa-B-activating kinase, NAK, EC 2.7.11.1
货号 TMAB-01521 一键复制产品信息
Rating icon 还可以

Anti-Phospho-TBK1 (Ser172) Polyclonal Antibody 是一种 Rabbit 抗体,靶向 Phospho-TBK1 (Ser172)。Anti-Phospho-TBK1 (Ser172) Polyclonal Antibody 可用于 IF,IHC-Fr,IHC-P,WB。

Anti-Phospho-TBK1 (Ser172) Polyclonal Antibody

一键复制产品信息
Rating icon 还可以
货号 TMAB-01521

别名 TBK1 (p-Ser172), TBK1 (p-S172), TBK 1, TANK-binding kinase 1, T2K, Serine/threonine-protein kinase TBK1, p-TBK1 (Ser172), p-TBK1 (S172), NF-kappa-B-activating kinase, NAK, EC 2.7.11.1

Anti-Phospho-TBK1 (Ser172) Polyclonal Antibody 是一种 Rabbit 抗体,靶向 Phospho-TBK1 (Ser172)。Anti-Phospho-TBK1 (Ser172) Polyclonal Antibody 可用于 IF,IHC-Fr,IHC-P,WB。

Anti-Phospho-TBK1 (Ser172) Polyclonal Antibody
规格价格库存数量
50 μL
¥ 1,170
5日内发货
100 μL
¥ 1,975
5日内发货
库存状态实时更新,以官网显示为准,现货产品可直接加购物车下单
大包装 & 定制
加入购物车

TargetMol的所有产品仅用作科学研究或药证申报,不能被用于人体,我们不向个人提供产品和服务。请您遵守承诺用途,不得违反法律法规规定用于任何其他用途。

实验操作小课堂
常见问题解答
查看更多

资源下载:产品操作手册

产品介绍


生物活性
产品描述
Anti-Phospho-TBK1 (Ser172) Polyclonal Antibody is a Rabbit antibody targeting Phospho-TBK1 (Ser172). Anti-Phospho-TBK1 (Ser172) Polyclonal Antibody can be used in IF,IHC-Fr,IHC-P,WB.
别名
TBK1 (p-Ser172), TBK1 (p-S172), TBK 1, TANK-binding kinase 1, T2K, Serine/threonine-protein kinase TBK1, p-TBK1 (Ser172), p-TBK1 (S172), NF-kappa-B-activating kinase, NAK, EC 2.7.11.1
Ig Type
IgG
反应种属
Rat,Mouse,Human
验证活性
1. Sample:
Lane 1: Human Raji cell lysates
Lane 2: Human HeLa cell lysates
Primary: Anti-Phospho-TBK1 (Ser172) (TMAB-01521) at 1/1000 dilution
Secondary: IRDye800CW Goat Anti-Rabbit IgG at 1/20000 dilution
Predicted band size: 84 kDa
Observed band size: 84 kDa
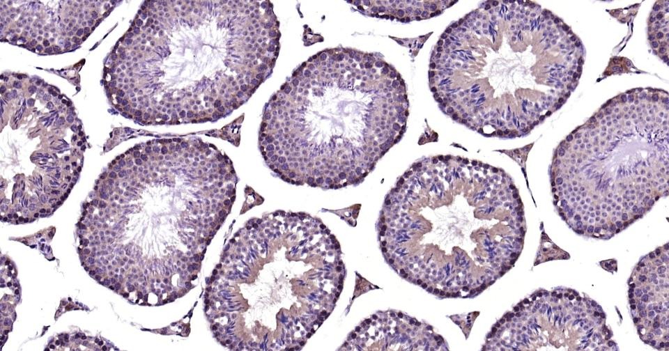
2. Paraformaldehyde-fixed, paraffin embedded Mouse Testicles; Antigen retrieval by boiling in sodium citrate buffer (pH6.0) for 15 min; Antibody incubation with Phospho-TBK1 (Ser172) Polyclonal Antibody, Unconjugated (TMAB-01521) at 1:200 overnight at 4°C, followed by conjugation to the SP Kit (Rabbit) and DAB staining.
3. Paraformaldehyde-fixed, paraffin embedded Rat Liver; Antigen retrieval by boiling in sodium citrate buffer (pH6.0) for 15 min; Antibody incubation with Phospho-TBK1 (Ser172) Polyclonal Antibody, Unconjugated (TMAB-01521) at 1:200 overnight at 4°C, followed by conjugation to the SP Kit (Rabbit) and DAB staining.
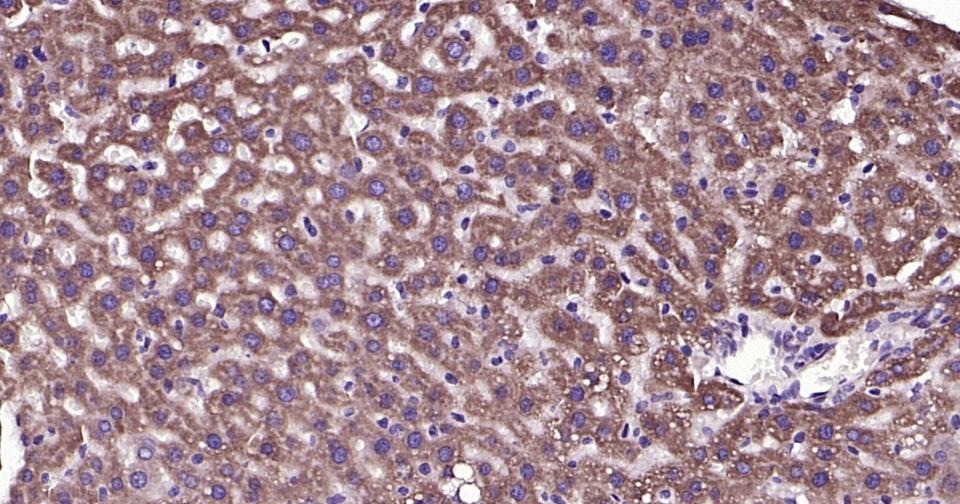
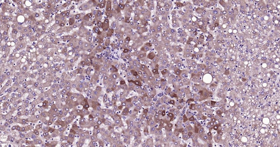
4. Paraformaldehyde-fixed, paraffin embedded Human Liver; Antigen retrieval by boiling in sodium citrate buffer (pH6.0) for 15 min; Antibody incubation with Phospho-TBK1 (Ser172) Polyclonal Antibody, Unconjugated (TMAB-01521) at 1:200 overnight at 4°C, followed by conjugation to the SP Kit (Rabbit) and DAB staining.
5. Paraformaldehyde-fixed, paraffin embedded Human Liver Cancer; Antigen retrieval by boiling in sodium citrate buffer (pH6.0) for 15 min; Antibody incubation with Phospho-TBK1 (Ser172) Polyclonal Antibody, Unconjugated (TMAB-01521) at 1:200 overnight at 4°C, followed by conjugation to the SP Kit (Rabbit) and DAB staining.
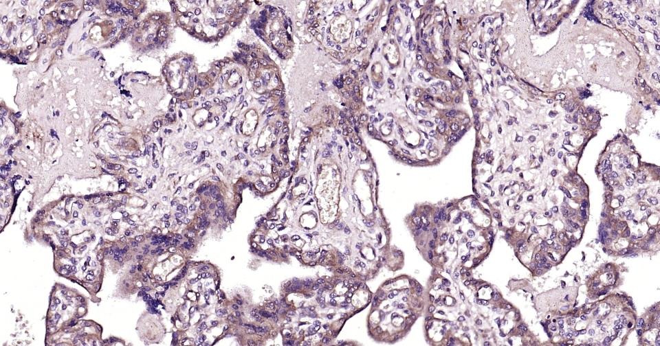
6. Paraformaldehyde-fixed, paraffin embedded Human Placenta; Antigen retrieval by boiling in sodium citrate buffer (pH6.0) for 15 min; Antibody incubation with Phospho-TBK1 (Ser172) Polyclonal Antibody, Unconjugated (TMAB-01521) at 1:200 overnight at 4°C, followed by conjugation to the SP Kit (Rabbit) and DAB staining.
verifiedActivityverifiedActivityverifiedActivityverifiedActivityverifiedActivityverifiedActivity
应用IFIHC-FrIHC-PWB
推荐剂量
WB: 1:500-2000; IHC-P: 1:100-500; IHC-Fr: 1:100-500; IF: 1:100-500
抗体种类
Polyclonal
宿主来源Rabbit
亚细胞定位Nucleus.
组织特异性Ubiquitous with higher expression in testis.
构建方式Polyclonal Antibody
纯化方式Protein A purified
性状Liquid
缓冲液0.01M TBS (pH7.4) with 1% BSA, 0.02% Proclin300 and 50% Glycerol.
浓度1 mg/mL
研究背景The NF-kappa-B (NFKB) complex of proteins is inhibited by I-kappa-B (IKB) proteins, which inactivate NFKB by trapping it in the cytoplasm. Phosphorylation of serine residues on the IKB proteins by IKB kinases marks them for destruction via the ubiquitination pathway, thereby allowing activation and nuclear translocation of the NFKB complex. The protein encoded by this gene is similar to IKB kinases and can mediate NFKB activation in response to certain growth factors. [provided by RefSeq, Oct 2010]
抗原信息
免疫原
KLH conjugated Synthesised phosphopeptide: human TBK1 around the phosphorylation site of Ser172
抗原种属
Human
基因名称
TBK1
基因ID
蛋白名称
Serine/threonine-protein kinase TBK1
Uniprot ID
研究领域
NFkB pathway,Other Kinases,NFkB Pathway
功能
Serine/threonine protein involved in the signaling cascade converging to the activation of the transcription factor NF-kappa-B. May function as an IKK kinase, playing an essential role in the transcription of a subset of TNF-alpha-induced genes. Also mediates production of RANTES/CCL5 and interferon-beta/IFNB1. Has a pivotal role in the innate immune response. Phosphorylates Borna disease virus (BDV) P protein. Phosphorylates and activates IRF3 and IRF7 and allows their nuclear localization. This leads to production of alpha/beta interferons and the development of a cellular antiviral state. It also seems to be a central factor in the induction of the antiviral interferon response. Inhibition of its interaction with IRF3, due to HCV NS3 binding or BDV P protein seems to be one mechanism of inhibition of the innate immune responses of hepatitis C virus (HCV) infection or Borna disease virus infection respectively.
化学信息
分子量Theoretical: 84 kDa. Actual: 84 kDa.
储存&溶解度
储存方式Store at -20°C or -80°C for 12 months. Avoid repeated freeze-thaw cycles.
运输方式Shipping with blue ice.

计算器

  • 稀释 计算器
  • 配液 计算器
Related Tags: buy Anti-Phospho-TBK1 (Ser172) Polyclonal Antibody | purchase Anti-Phospho-TBK1 (Ser172) Polyclonal Antibody | Anti-Phospho-TBK1 (Ser172) Polyclonal Antibody cost | order Anti-Phospho-TBK1 (Ser172) Polyclonal Antibody | Anti-Phospho-TBK1 (Ser172) Polyclonal Antibody molecular weight